Skip to main content

ARG2 Antibody - BSA Free

Novus Biologicals, part of Bio-Techne | Catalog # NBP1-86189

Novus Biologicals, part of Bio-Techne
Catalog #
Availability
Size / Price
Qty
Loading...
NBP1-86189-25ul
NBP1-86189

Key Product Details

Species Reactivity

Human

Applications

Immunohistochemistry, Immunohistochemistry-Paraffin

Label

Unconjugated

Antibody Source

Polyclonal Rabbit IgG

Format

BSA Free

Concentration

Concentrations vary lot to lot. See vial label for concentration. If unlisted please contact technical services.

Product Specifications

Immunogen

This antibody was developed against Recombinant Protein corresponding to amino acids: MSLRGSLSRLLQTRVHSILKKSVHSVAVIGAPFSQGQKRKGVEHGPAAIREAGLMKRLSSLGCHLKDFGDLSFTPVPKDDLYNNLIVNPRSVGLANQELAEVVSRAVSDGYSCVTLGGDHSLAIGTISGHARHCPDLCVVWVDAHAD

Reactivity Notes

Immunogen displays the following percentage of sequence identity for non-tested species: Mouse (80%), Rat (81%). Reactivity reported in scientific literature (PMID: 23183942)

Clonality

Polyclonal

Host

Rabbit

Isotype

IgG

Theoretical MW

39 kDa.
Disclaimer note: The observed molecular weight of the protein may vary from the listed predicted molecular weight due to post translational modifications, post translation cleavages, relative charges, and other experimental factors.

Description

Novus Biologicals Rabbit ARG2 Antibody - BSA Free (NBP1-86189) is a polyclonal antibody validated for use in IHC. Anti-ARG2 Antibody: Cited in 3 publications. All Novus Biologicals antibodies are covered by our 100% guarantee.

Scientific Data Images for ARG2 Antibody - BSA Free

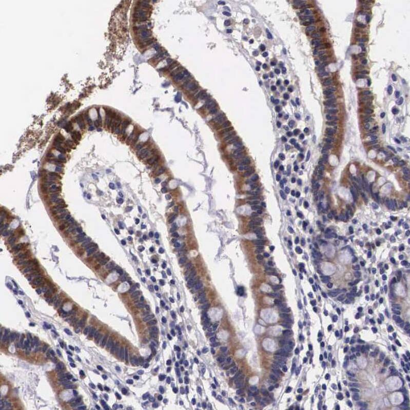
ARG2 Antibody - BSA Free Immunohistochemistry-Paraffin: ARG2 Antibody - BSA Free [NBP1-86189]

Immunohistochemistry-Paraffin: ARG2 Antibody - BSA Free [NBP1-86189]

Immunohistochemistry analysis in human prostate and fallopian tube tissues using HPA000663 antibody. Corresponding ARG2 RNA-seq data are presented for the same tissues.
Immunohistochemistry-Paraffin: ARG2 Antibody [NBP1-86189]

Immunohistochemistry-Paraffin: ARG2 Antibody [NBP1-86189]

Immunohistochemistry-Paraffin: ARG2 Antibody [NBP1-86189] - Staining of human prostate shows high expression.
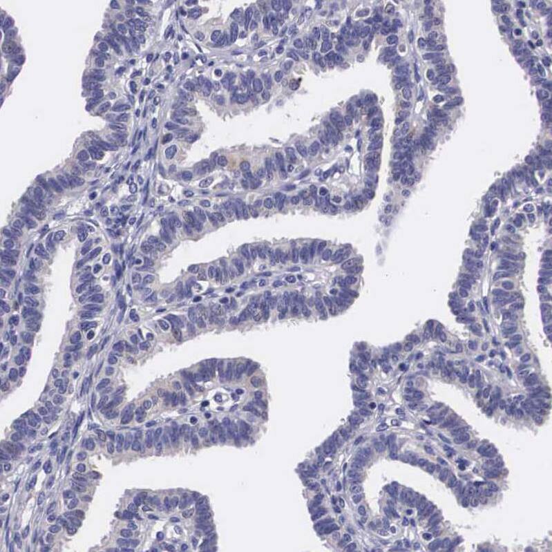
ARG2 Antibody - BSA Free Immunohistochemistry-Paraffin: ARG2 Antibody - BSA Free [NBP1-86189]

Immunohistochemistry-Paraffin: ARG2 Antibody - BSA Free [NBP1-86189]

Staining of human fallopian tube shows no positivity in glandular cells as expected.

Applications for ARG2 Antibody - BSA Free

Application
Recommended Usage

Immunohistochemistry

1:200 - 1:500

Immunohistochemistry-Paraffin

1:200 - 1:500
Application Notes
For IHC-Paraffin, HIER pH 6 retrieval is recommended.

Formulation, Preparation, and Storage

Purification

Affinity purified

Formulation

PBS (pH 7.2) and 40% Glycerol

Format

BSA Free

Preservative

0.02% Sodium Azide

Concentration

Concentrations vary lot to lot. See vial label for concentration. If unlisted please contact technical services.

Shipping

The product is shipped with polar packs. Upon receipt, store it immediately at the temperature recommended below.

Stability & Storage

Store at 4C short term. Aliquot and store at -20C long term. Avoid freeze-thaw cycles.

Background: Arginase 2/ARG2

Arginase catalyzes the hydrolysis of arginine to ornithine and urea. At least two isoforms of mammalian arginase exists (types I and II) which differ in their tissue distribution, subcellular localization, immunologic crossreactivity and physiologic function. The type II isoform encoded by this gene, is located in the mitochondria and expressed in extra-hepatic tissues, especially kidney. The physiologic role of this isoform is poorly understood; it is thought to play a role in nitric oxide and polyamine metabolism. Transcript variants of the type II gene resulting from the use of alternative polyadenylation sites have been described. [provided by RefSeq]

Long Name

Kidney-Type Arginase

Alternate Names

ARG2, Arginase-2, Type II Arginase

Entrez Gene IDs

384 (Human)

Gene Symbol

ARG2

UniProt

Additional Arginase 2/ARG2 Products

Product Documents for ARG2 Antibody - BSA Free

Certificate of Analysis

To download a Certificate of Analysis, please enter a lot number in the search box below.

Product Specific Notices for ARG2 Antibody - BSA Free

This product is for research use only and is not approved for use in humans or in clinical diagnosis. Primary Antibodies are guaranteed for 1 year from date of receipt.

Loading...
Loading...
Loading...
Loading...