APOL6 Antibody
Novus Biologicals, part of Bio-Techne | Catalog # NBP1-36935
Key Product Details
Species Reactivity
Human
Applications
Immunohistochemistry, Immunohistochemistry-Paraffin, Western Blot, Peptide ELISA
Label
Unconjugated
Antibody Source
Polyclonal Goat IgG
Concentration
0.5 mg/ml
Product Specifications
Immunogen
Peptide with sequence QRDEDDAPLCED corresponding to internal region (near N-Terminus) according to NP_085144.1.
Clonality
Polyclonal
Host
Goat
Isotype
IgG
Theoretical MW
44 kDa.
Disclaimer note: The observed molecular weight of the protein may vary from the listed predicted molecular weight due to post translational modifications, post translation cleavages, relative charges, and other experimental factors.
Disclaimer note: The observed molecular weight of the protein may vary from the listed predicted molecular weight due to post translational modifications, post translation cleavages, relative charges, and other experimental factors.
Description
Novus Biologicals Goat APOL6 Antibody (NBP1-36935) is a polyclonal antibody validated for use in IHC, WB and ELISA. Anti-APOL6 Antibody: Cited in 1 publication. All Novus Biologicals antibodies are covered by our 100% guarantee.
Scientific Data Images for APOL6 Antibody
Western Blot: APOL6 Antibody [NBP1-36935]
Western Blot: APOL6 Antibody [NBP1-36935] - (1ug/ml) Staining of Human Kidney lysate (35ug protein in RIPA buffer). Primary incubation was 1 hour. Detected by chemiluminescence.Immunohistochemistry-Paraffin: APOL6 Antibody [NBP1-36935]
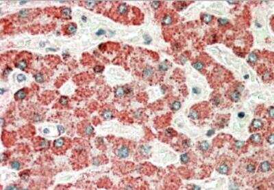
Immunohistochemistry-Paraffin: APOL6 Antibody [NBP1-36935] - Analysis in human Liver shows textured cytoplasm staining in hepatocytes.Applications for APOL6 Antibody
Application
Recommended Usage
Immunohistochemistry
5 - 10 ug/ml
Immunohistochemistry-Paraffin
5 - 10 ug/ml
Peptide ELISA
Detection limit 1:8000
Western Blot
1 - 3 ug/ml
Application Notes
WB: Approx. 38 kDa band observed in human kidney lysates (calculated MW of 38.1 kDa band according to NP_085144.1). IHC-P: Human liver shows textured cytoplasm staining in hepatocytes.
Formulation, Preparation, and Storage
Purification
Immunogen affinity purified
Formulation
Tris saline (20 mM Tris pH 7.3, 150 mM NaCl), 0.5% BSA
Preservative
0.02% Sodium Azide
Concentration
0.5 mg/ml
Shipping
The product is shipped with polar packs. Upon receipt, store it immediately at the temperature recommended below.
Stability & Storage
Store at -20C. Avoid freeze-thaw cycles.
Background: APOL6
Alternate Names
apolipoprotein L, 6, apolipoprotein L6, Apolipoprotein L-VI, APOLVI, ApoL-VI, DKFZp667M075, FLJ38562, FLJ90164, MGC57495
Entrez Gene IDs
80830 (Human)
Gene Symbol
APOL6
UniProt
Additional APOL6 Products
Product Documents for APOL6 Antibody
Product Specific Notices for APOL6 Antibody
This product is for research use only and is not approved for use in humans or in clinical diagnosis. Primary Antibodies are guaranteed for 1 year from date of receipt.
Loading...
Loading...
Loading...
Loading...