Skip to main content

APEH Antibody - BSA Free

Novus Biologicals, part of Bio-Techne | Catalog # NBP1-85333

Novus Biologicals, part of Bio-Techne
Catalog #
Availability
Size / Price
Qty
Loading...
NBP1-85333-25ul
NBP1-85333

Key Product Details

Validated by

Orthogonal Validation, Independent Antibodies

Species Reactivity

Validated:

Human, Mouse

Cited:

Mouse

Applications

Validated:

Immunohistochemistry, Immunohistochemistry-Paraffin, Western Blot, Immunocytochemistry/ Immunofluorescence

Cited:

IF/IHC

Label

Unconjugated

Antibody Source

Polyclonal Rabbit IgG

Format

BSA Free

Concentration

Concentrations vary lot to lot. See vial label for concentration. If unlisted please contact technical services.

Product Specifications

Immunogen

This antibody was developed against Recombinant Protein corresponding to amino acids: IDQDLMVAQFSTPSLPPTLKVGFLPSAGKEQSVLWVSLEEAEPIPDIHWGIRVLQPPPEQENVQYAGLDFEAILLQPGSPPDKTQVP

Reactivity Notes

Immunogen displays the following percentage of sequence identity for non-tested species: Rat (86%). Mouse reactivity reported in scientific literature (PMID: 24554718).

Clonality

Polyclonal

Host

Rabbit

Isotype

IgG

Description

Novus Biologicals Rabbit APEH Antibody - BSA Free (NBP1-85333) is a polyclonal antibody validated for use in IHC, WB and ICC/IF. Anti-APEH Antibody: Cited in 1 publication. All Novus Biologicals antibodies are covered by our 100% guarantee.

Scientific Data Images for APEH Antibody - BSA Free

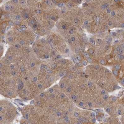
Immunohistochemistry-Paraffin: APEH Antibody [NBP1-85333]

Immunohistochemistry-Paraffin: APEH Antibody [NBP1-85333]

Immunohistochemistry-Paraffin: APEH Antibody [NBP1-85333] - Staining in human kidney and pancreas tissues using anti-APEH antibody. Corresponding APEH RNA-seq data are presented for the same tissues.
Western Blot: APEH Antibody [NBP1-85333]

Western Blot: APEH Antibody [NBP1-85333]

Western Blot: APEH Antibody [NBP1-85333] - Analysis using Anti-APEH antibody NBP1-85333 (A) shows similar pattern to independent antibody NBP1-85332 (B).
Immunocytochemistry/ Immunofluorescence: APEH Antibody [NBP1-85333]

Immunocytochemistry/ Immunofluorescence: APEH Antibody [NBP1-85333]

Immunocytochemistry/Immunofluorescence: APEH Antibody [NBP1-85333] - Immunofluorescent staining of human cell line U-2 OS shows localization to cytosol.

Applications for APEH Antibody - BSA Free

Application
Recommended Usage

Immunocytochemistry/ Immunofluorescence

0.25-2 ug/ml

Immunohistochemistry

1:200 - 1:500

Immunohistochemistry-Paraffin

1:200 - 1:500

Western Blot

0.04-0.4 ug/ml
Application Notes
IHC reported in scientific literature (PMID: 24554718). For IHC-Paraffin, HIER pH 6 retrieval is recommended. ICC/IF, Fixation Permeabilization: Use PFA/Triton X-100.

Formulation, Preparation, and Storage

Purification

Affinity purified

Formulation

PBS (pH 7.2) and 40% Glycerol

Format

BSA Free

Preservative

0.02% Sodium Azide

Concentration

Concentrations vary lot to lot. See vial label for concentration. If unlisted please contact technical services.

Shipping

The product is shipped with polar packs. Upon receipt, store it immediately at the temperature recommended below.

Stability & Storage

Store at 4C short term. Aliquot and store at -20C long term. Avoid freeze-thaw cycles.

Background: APEH

The APEH gene encodes the enzyme acylpeptide hydrolase, which catalyzes the hydrolysis of the terminal acetylated aminoacid preferentially from small acetylated peptides. The acetyl amino acid formed by this hydrolase is furtherprocessed to acetate and a free

Alternate Names

AARE, ACPH, acylamino-acid-releasing enzyme, Acylaminoacyl-peptidase, Acyl-peptide hydrolase, APH, D3F15S2, D3S48EEC 3.4.19.1, DNF15S2, MGC2178, N-acylaminoacyl-peptide hydrolase, OPH, Oxidized protein hydrolase

Gene Symbol

APEH

Additional APEH Products

Product Documents for APEH Antibody - BSA Free

Certificate of Analysis

To download a Certificate of Analysis, please enter a lot number in the search box below.

Product Specific Notices for APEH Antibody - BSA Free

This product is for research use only and is not approved for use in humans or in clinical diagnosis. Primary Antibodies are guaranteed for 1 year from date of receipt.

Loading...
Loading...
Loading...
Loading...