Skip to main content

APC Antibody (OTI2B8) - Azide and BSA Free

Novus Biologicals, part of Bio-Techne | Catalog # NBP2-70183

Novus Biologicals, part of Bio-Techne

Key Product Details

Species Reactivity

Human, Mouse, Rat

Applications

Immunohistochemistry, Immunohistochemistry-Paraffin, Western Blot

Label

Unconjugated

Antibody Source

Monoclonal Mouse IgG1 Clone # OTI2B8

Format

Azide and BSA Free

Concentration

LYOPH mg/ml

Product Specifications

Immunogen

Human recombinant protein fragment corresponding to amino acids 955-1382 of human APC (NP_001120983) produced in E.coli.

Reactivity Notes

Please note that this antibody is reactive to Mouse and derived from the same host, Mouse. Mouse-On-Mouse blocking reagent may be needed for IHC and ICC experiments to reduce high background signal. You can find these reagents under catalog numbers PK-2200-NB and MP-2400-NB. Please contact Technical Support if you have any questions.

Clonality

Monoclonal

Host

Mouse

Isotype

IgG1

Theoretical MW

311.5 kDa.
Disclaimer note: The observed molecular weight of the protein may vary from the listed predicted molecular weight due to post translational modifications, post translation cleavages, relative charges, and other experimental factors.

Description

Novus Biologicals Mouse APC Antibody (OTI2B8) - Azide and BSA Free (NBP2-46529) is a monoclonal antibody validated for use in IHC and WB. All Novus Biologicals antibodies are covered by our 100% guarantee.

Scientific Data Images for APC Antibody (OTI2B8) - Azide and BSA Free

Western Blot: APC Antibody (OTI2B8)Azide and BSA Free [NBP2-70183]

Western Blot: APC Antibody (OTI2B8)Azide and BSA Free [NBP2-70183]

Western Blot: APC Antibody (OTI2B8) - Azide and BSA Free [NBP2-70183] - Human recombinant protein fragment corresponding to amino acids 955-1382 of human APC (NP_001120983) produced in E.coli.
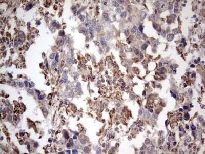
Immunohistochemistry: APC Antibody (OTI2B8) - Azide and BSA Free [NBP2-70183]

Immunohistochemistry: APC Antibody (OTI2B8) - Azide and BSA Free [NBP2-70183]

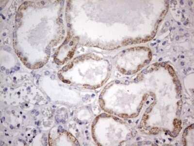
Immunohistochemistry: APC Antibody (OTI2B8) - Azide and BSA Free [NBP2-70183] - Analysis of Human Kidney tissue.
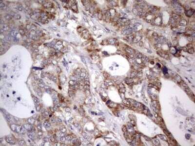
Immunohistochemistry: APC Antibody (OTI2B8) - Azide and BSA Free [NBP2-70183]

Immunohistochemistry: APC Antibody (OTI2B8) - Azide and BSA Free [NBP2-70183]

Immunohistochemistry: APC Antibody (OTI2B8) - Azide and BSA Free [NBP2-70183] - Analysis of Adenocarcinoma of Human breast tissue.

Applications for APC Antibody (OTI2B8) - Azide and BSA Free

Application
Recommended Usage

Immunohistochemistry

1:150

Western Blot

1:2000

Formulation, Preparation, and Storage

Purification

Immunogen affinity purified

Reconstitution

we recommend adding 100uL distilled water to a final antibody concentration of about 1 mg/mL. To use this carrier-free antibody for conjugation experiment, we strongly recommend performing another round of desalting process.

Formulation

Lyophilized from PBS (pH 7.3) with 8% Trehalose

Format

Azide and BSA Free

Preservative

No Preservative

Concentration

LYOPH mg/ml

Shipping

The product is shipped with polar packs. Upon receipt, store it immediately at the temperature recommended below.

Stability & Storage

Store at -20C. Avoid freeze-thaw cycles.

Background: APC

Adenomatous polyposis coli (APC) is a protein that plays a critical role in several cellular processes. APC is a tumor suppressor, regulates cell division, helps ensure that the number of chromosomes in a cell is correct following cell division and associates with other proteins involved in cell attachment and signaling (1). APC regulates

Long Name

Adenomatosis Polyposis Coli

Alternate Names

DP2, DP3, FPC, GS, Min

Gene Symbol

APC

Additional APC Products

Product Documents for APC Antibody (OTI2B8) - Azide and BSA Free

Certificate of Analysis

To download a Certificate of Analysis, please enter a lot number in the search box below.

Product Specific Notices for APC Antibody (OTI2B8) - Azide and BSA Free

This product is for research use only and is not approved for use in humans or in clinical diagnosis. Primary Antibodies are guaranteed for 1 year from date of receipt.

Loading...
Loading...
Loading...
Loading...
Loading...