Skip to main content

APAF-1 Antibody

Novus Biologicals, part of Bio-Techne | Catalog # NBP2-15420

Novus Biologicals, part of Bio-Techne
Catalog #
Availability
Size / Price
Qty
Loading...
NBP2-15420

Key Product Details

Species Reactivity

Validated:

Human, Mouse, Rat

Predicted:

Bovine (91%). Backed by our 100% Guarantee.

Applications

Immunohistochemistry, Immunohistochemistry-Paraffin

Label

Unconjugated

Antibody Source

Polyclonal Rabbit IgG

Concentration

Concentrations vary lot to lot. See vial label for concentration. If unlisted please contact technical services.

Product Specifications

Immunogen

Recombinant protein encompassing a sequence within the C-terminus region of human APAF-1. The exact sequence is proprietary.

Localization

Cytoplasm

Clonality

Polyclonal

Host

Rabbit

Isotype

IgG

Theoretical MW

142 kDa.
Disclaimer note: The observed molecular weight of the protein may vary from the listed predicted molecular weight due to post translational modifications, post translation cleavages, relative charges, and other experimental factors.

Scientific Data Images for APAF-1 Antibody

Immunohistochemistry-Paraffin: APAF-1 Antibody [NBP2-15420]

Immunohistochemistry-Paraffin: APAF-1 Antibody [NBP2-15420]

Immunohistochemistry-Paraffin: APAF-1 Antibody [NBP2-15420] - Paraffin-embedded mouse duodenum. APAF1 antibody [C3], C-term diluted at 1:400.
Immunohistochemistry-Paraffin: APAF-1 Antibody [NBP2-15420]

Immunohistochemistry-Paraffin: APAF-1 Antibody [NBP2-15420]

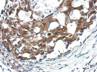
Immunohistochemistry-Paraffin: APAF-1 Antibody [NBP2-15420] - Paraffin-embedded breast ca, using antibody at 1:500 dilution.
Immunohistochemistry-Paraffin: APAF-1 Antibody [NBP2-15420]

Immunohistochemistry-Paraffin: APAF-1 Antibody [NBP2-15420]

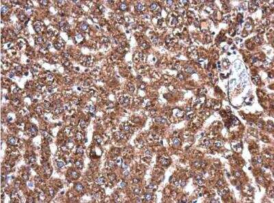
Immunohistochemistry-Paraffin: APAF-1 Antibody [NBP2-15420] - Paraffin-embedded rat liver. APAF1 antibody [C3], C-term diluted at 1:400.

Applications for APAF-1 Antibody

Application
Recommended Usage

Immunohistochemistry

1:100-1:1000

Immunohistochemistry-Paraffin

1:100-1:1000

Formulation, Preparation, and Storage

Purification

Antigen Affinity-purified

Formulation

PBS, 1% BSA, 20% Glycerol

Preservative

0.01% Thimerosal

Concentration

Concentrations vary lot to lot. See vial label for concentration. If unlisted please contact technical services.

Shipping

The product is shipped with polar packs. Upon receipt, store it immediately at the temperature recommended below.

Stability & Storage

Aliquot and store at -20C or -80C. Avoid freeze-thaw cycles.

Background: APAF-1

This gene encodes a cytoplasmic protein that initiates apoptosis. This protein contains several copies of the WD-40 domain, a caspase recruitment domain (CARD), and an ATPase domain (NB-ARC). Upon binding cytochrome c and dATP, this protein forms an oligomeric apoptosome. The apoptosome binds and cleaves caspase 9 preproprotein, releasing its mature, activated form. Activated caspase 9 stimulates the subsequent caspase cascade that commits the cell to apoptosis. Alternative splicing results in several transcript variants encoding different isoforms. [provided by RefSeq]

Long Name

Apoptotic Peptidase Activating Factor 1

Alternate Names

APAF1

Gene Symbol

APAF1

UniProt

Additional APAF-1 Products

Product Documents for APAF-1 Antibody

Certificate of Analysis

To download a Certificate of Analysis, please enter a lot number in the search box below.

Product Specific Notices for APAF-1 Antibody

This product is for research use only and is not approved for use in humans or in clinical diagnosis. Primary Antibodies are guaranteed for 1 year from date of receipt.

Loading...
Loading...
Loading...
Loading...

⚠ WARNING: This product can expose you to chemicals including mercury, which is known to the State of California to cause reproductive toxicity with developmental effects.  For more information go to www.P65Warnings.ca.gov.