Skip to main content

APAF-1 Antibody - BSA Free

Novus Biologicals, part of Bio-Techne | Catalog # NB100-56074

Novus Biologicals, part of Bio-Techne
Catalog #
Availability
Size / Price
Qty
Loading...
NB100-56074
NB100-56074SS

Key Product Details

Species Reactivity

Validated:

Human, Mouse, Rat, Gerbil

Cited:

Human

Applications

Validated:

Immunohistochemistry, Immunohistochemistry-Paraffin, Immunohistochemistry-Frozen, Western Blot, Immunocytochemistry/ Immunofluorescence, Immunoprecipitation

Cited:

Immunohistochemistry-Paraffin

Label

Unconjugated

Antibody Source

Polyclonal Rabbit IgG

Format

BSA Free

Concentration

This product is unpurified. The exact concentration of antibody is not quantifiable.

Product Specifications

Immunogen

Full-length recombinant human Apaf1 protein was used as immunogen.

Clonality

Polyclonal

Host

Rabbit

Isotype

IgG

Scientific Data Images for APAF-1 Antibody - BSA Free

Western Blot: APAF-1 Antibody [NB100-56074]

Western Blot: APAF-1 Antibody [NB100-56074]

Western Blot: APAF1 Antibody [NB100-56074] - Analysis of Apaf 1 using this antibody. Jurkat: human T-cell leukemia cell line lysate. RS11-846: human B-cell leukemia cell line lysate. Human thymus: tissue lysate.
Immunocytochemistry/ Immunofluorescence: APAF-1 Antibody [NB100-56074]

Immunocytochemistry/ Immunofluorescence: APAF-1 Antibody [NB100-56074]

Immunocytochemistry/Immunofluorescence: APAF1 Antibody [NB100-56074] - Formalin-fixed, paraffin-embedded sections from a human brain tumor tissue microarray stained for Apaf 1 expression using NB100-56074 at 1:2000. A and B. Tissue microarray overview. A1 and B1, higher magnification of cores from A and B, respectively. Differential expression of Apaf 1 is seen between patient samples. Hematoxylin-eosin counterstain.
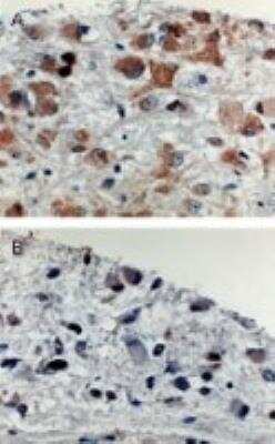
Immunohistochemistry: APAF-1 Antibody [NB100-56074]

Immunohistochemistry: APAF-1 Antibody [NB100-56074]

Immunohistochemistry: APAF-1 Antibody [NB100-56074] - APAF1 Antibody [NB100-56074] - Formalin-fixed, paraffin-embedded tissue sections of human brain tumors stained for Apaf 1 expression using NB100-56074 at 1:2000. A. Gemistocytoma (grade II). B. Anaplastic glioma. A high level of Apaf 1 was observed in the gemistocytoma whereas a low level was seen in the more malignant anaplastic glioma. Hematoxylin-eosin counterstain.

Applications for APAF-1 Antibody - BSA Free

Application
Recommended Usage

Immunohistochemistry-Paraffin

1:1000-1:5000

Immunoprecipitation

1:50-1:200

Western Blot

1:1000-1:2000

Formulation, Preparation, and Storage

Purification

Unpurified

Formulation

Whole antisera

Format

BSA Free

Preservative

0.05% Sodium Azide

Concentration

This product is unpurified. The exact concentration of antibody is not quantifiable.

Shipping

The product is shipped with polar packs. Upon receipt, store it immediately at the temperature recommended below.

Stability & Storage

Store at -20C. Avoid freeze-thaw cycles.

Background: APAF-1

Apaf 1 (apoptosis protease-activating factor-1) is a key regulator of the mitochondrial apoptotic pathway (reviewed in Campioni et al, 2005), being the central element of the multimeric apoptosome. The apoptosome consists of cytochrome c, procaspase-9 and seven Apaf 1 monomers, and is considered to be core apoptotic machinery that executes mitochondria-dependent apoptosis. Cytochrome c, normally compartmentalized in the mitochorndria, is released into the cytoplasm following apoptotic stimuli. Apaf 1 binds cytochrome c in the cytoplasm and in the presence of dATP/ATP forms the apoptosome. The apoptosome binds procaspase-9 and promotes its autocatalytic activation. Active caspase-9, in turn, activates downstream caspases including 3, 6, and 7 contributing to the proteolytic caspase activation cascade which leads to cell death. Apaf 1 is an approx. 130 kDa protein. Alternative Apaf 1 splicing isoforms of Apaf 1 have been identified in mammalian cells, each having either or both an 11 amino acid insertion in the N-terminus and an additional WD40 repeat (43 aa) in the C-terminus; please refer to AceView of NCBI (http://www.ncbi.nih.gov/IEB/Research/Acembly/) for detailed information. Additionally, Apaf 1 can be proteolytically processed by active caspase-3 during apoptosis resulting in an Apaf 1 cleavage fragment of ~84 kDa (Lauber et al. 2001).

Long Name

Apoptotic Peptidase Activating Factor 1

Alternate Names

APAF1

Entrez Gene IDs

317 (Human); 11783 (Mouse); 78963 (Rat)

Gene Symbol

APAF1

UniProt

Additional APAF-1 Products

Product Documents for APAF-1 Antibody - BSA Free

Certificate of Analysis

To download a Certificate of Analysis, please enter a lot number in the search box below.

Product Specific Notices for APAF-1 Antibody - BSA Free

This product is for research use only and is not approved for use in humans or in clinical diagnosis. Primary Antibodies are guaranteed for 1 year from date of receipt.

Loading...
Loading...
Loading...
Loading...