Skip to main content

Annexin A3 Antibody - BSA Free

Novus Biologicals, part of Bio-Techne | Catalog # NBP1-90155

Novus Biologicals, part of Bio-Techne
Catalog #
Availability
Size / Price
Qty
Loading...
NBP1-90155-25ul
NBP1-90155

Key Product Details

Validated by

Orthogonal Validation

Species Reactivity

Validated:

Human

Cited:

Human

Predicted:

Mouse (94%). Backed by our 100% Guarantee.

Applications

Validated:

Immunohistochemistry-Paraffin, Western Blot, Immunocytochemistry/ Immunofluorescence

Cited:

Immunohistochemistry-Paraffin, Western Blot, IF/IHC

Label

Unconjugated

Antibody Source

Polyclonal Rabbit IgG

Format

BSA Free

Concentration

Concentrations vary lot to lot. See vial label for concentration. If unlisted please contact technical services.

Product Specifications

Immunogen

This antibody was developed against Recombinant Protein corresponding to amino acids: ISQAYYTVYKKSLGDDISSETSGDFRKALLTLADGRRDESLKVDEHLAKQDAQILYKAGENRWGTDEDKFTEILCLRSFPQLKLTFDEYRNISQKDIVDSIKGELSGHFEDLLLAIVNCVRNTPAFLAERLHRALKGIGTD

Reactivity Notes

Rat (89%).

Clonality

Polyclonal

Host

Rabbit

Isotype

IgG

Description

Novus Biologicals Rabbit Annexin A3 Antibody - BSA Free (NBP1-90155) is a polyclonal antibody validated for use in IHC, WB and ICC/IF. Anti-Annexin A3 Antibody: Cited in 2 publications. All Novus Biologicals antibodies are covered by our 100% guarantee.

Scientific Data Images for Annexin A3 Antibody - BSA Free

Immunocytochemistry/ Immunofluorescence: Annexin A3 Antibody [NBP1-90155]

Immunocytochemistry/ Immunofluorescence: Annexin A3 Antibody [NBP1-90155]

Immunocytochemistry/Immunofluorescence: Annexin A3 Antibody [NBP1-90155] - Immunofluorescent staining of human cell line U-2 OS shows localization to cytosol. Antibody staining is shown in green.
Immunohistochemistry-Paraffin: Annexin A3 Antibody [NBP1-90155]

Immunohistochemistry-Paraffin: Annexin A3 Antibody [NBP1-90155]

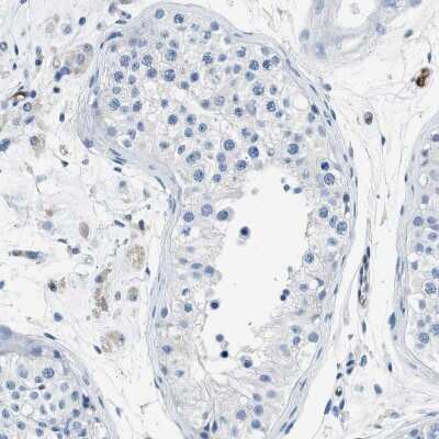
Immunohistochemistry-Paraffin: Annexin A3 Antibody [NBP1-90155] - Analysis in human bone marrow and testis tissues using NBP1-90155 antibody. Corresponding ANXA3 RNA-seq data are presented for the same tissues.
Immunohistochemistry-Paraffin: Annexin A3 Antibody [NBP1-90155]

Immunohistochemistry-Paraffin: Annexin A3 Antibody [NBP1-90155]

Immunohistochemistry-Paraffin: Annexin A3 Antibody [NBP1-90155] - Staining of human bone marrow shows strong cytoplasmic positivity in hematopoietic cells.

Applications for Annexin A3 Antibody - BSA Free

Application
Recommended Usage

Immunocytochemistry/ Immunofluorescence

0.25-2 ug/ml

Immunohistochemistry-Paraffin

1:1000 - 1:2500

Western Blot

0.04-0.4 ug/ml
Application Notes
For IHC-Paraffin, HIER pH 6 retrieval is recommended. ICC/IF Fixation Permeabilization: Use PFA/Triton X-100.

Formulation, Preparation, and Storage

Purification

Immunogen affinity purified

Formulation

PBS (pH 7.2) and 40% Glycerol

Format

BSA Free

Preservative

0.02% Sodium Azide

Concentration

Concentrations vary lot to lot. See vial label for concentration. If unlisted please contact technical services.

Shipping

The product is shipped with polar packs. Upon receipt, store it immediately at the temperature recommended below.

Stability & Storage

Store at 4C short term. Aliquot and store at -20C long term. Avoid freeze-thaw cycles.

Background: Annexin A3

Annexin A3 encodes a member of the annexin family. Members of this calcium-dependent phospholipid-binding protein family play a role in the regulation of cellular growth and in signal transduction pathways. This protein functions in the inhibition of phopholipase A2 and cleavage of inositol 1,2-cyclic phosphate to form inositol 1-phosphate. This protein may also play a role in anti-coagulation.

Alternate Names

ANXA3, Calcimedin 35-alpha, Lipocortin III, PAP-III

Gene Symbol

ANXA3

Additional Annexin A3 Products

Product Documents for Annexin A3 Antibody - BSA Free

Certificate of Analysis

To download a Certificate of Analysis, please enter a lot number in the search box below.

Product Specific Notices for Annexin A3 Antibody - BSA Free

This product is for research use only and is not approved for use in humans or in clinical diagnosis. Primary Antibodies are guaranteed for 1 year from date of receipt.

Loading...
Loading...
Loading...
Loading...