Skip to main content

Annexin A1 Antibody (CL0199) - Azide and BSA Free

Novus Biologicals, part of Bio-Techne | Catalog # NBP3-43928

Novus Biologicals, part of Bio-Techne
Catalog #
Availability
Size / Price
Qty
Loading...
NBP3-43928

Key Product Details

Validated by

Knockout/Knockdown, Orthogonal Validation

Species Reactivity

Human

Applications

Immunohistochemistry-Paraffin, Western Blot, Immunocytochemistry/ Immunofluorescence

Label

Unconjugated

Antibody Source

Monoclonal Mouse IgG1 Clone # CL0199

Format

Azide and BSA Free

Concentration

LYOPH mg/ml

Product Specifications

Immunogen

This antibody was generated using a recombinant protein sequence of P04083, with the exact immunogen sequence remaining proprietary.

Clonality

Monoclonal

Host

Mouse

Isotype

IgG1

Description

Novus Biologicals Mouse Annexin A1 Antibody (CL0199) - Azide and BSA Free (NBP2-52875) is a monoclonal antibody validated for use in IHC, WB and ICC/IF. All Novus Biologicals antibodies are covered by our 100% guarantee.

Scientific Data Images for Annexin A1 Antibody (CL0199) - Azide and BSA Free

Annexin A1 Antibody (CL0199) - Azide and BSA Free Immunohistochemistry-Paraffin: Annexin A1 Antibody [NBP3-43928]

Immunohistochemistry-Paraffin: Annexin A1 Antibody [NBP3-43928]

Staining of human bone marrow shows strong nuclear positivity in hematopoietic cells.
Annexin A1 Antibody (CL0199) - Azide and BSA Free Immunocytochemistry/ Immunofluorescence: Annexin A1 Antibody [NBP3-43928]

Immunocytochemistry/ Immunofluorescence: Annexin A1 Antibody [NBP3-43928]

Staining of A549 cells using the Anti-Annexin A1 monoclonal antibody) .
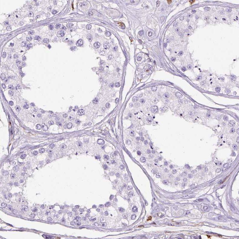
Annexin A1 Antibody (CL0199) - Azide and BSA Free Immunohistochemistry-Paraffin: Annexin A1 Antibody [NBP3-43928]

Immunohistochemistry-Paraffin: Annexin A1 Antibody [NBP3-43928]

Analysis in human placenta and testis tissues using NBP3-43928 antibody. Corresponding Annexin A1 RNA-seq data are presented for the same tissues.

Applications for Annexin A1 Antibody (CL0199) - Azide and BSA Free

Application
Recommended Usage

Immunocytochemistry/ Immunofluorescence

2-10 ug/ml

Immunohistochemistry-Paraffin

1:500 - 1:1000

Western Blot

1 ug/ml
Application Notes
For IHC-Paraffin, HIER pH 6 retrieval is recommended. For Immunocytochemistry/ Immunofluorescence/IF, PFA/Triton X-100 is recommended for fixation/permeabilization.

Formulation, Preparation, and Storage

Purification

Protein A purified

Reconstitution

Centrifuge the vial of lyophilized antibody at 12,000 x g for 20 seconds. Reconstitute by adding sterile, distilled water to achieve a final antibody concentration of 1mg/ml.

Formulation

Lyophilized from a 0.2 um filtered solution in PBS with Trehalose

Format

Azide and BSA Free

Preservative

No Preservative

Concentration

LYOPH mg/ml

Shipping

The product is shipped at ambient temperature. Upon receipt, store it immediately at the temperature recommended below.

Stability & Storage

Store at 4C short term. Aliquot and store at -20C long term. Avoid freeze-thaw cycles.

Background: Annexin A1

Annexin I, also known as Annexin A1, belongs to the annexin family of calcium dependent phospholipid binding proteins.

Alternate Names

ANX1, ANXA1, LPC1

Gene Symbol

ANXA1

Additional Annexin A1 Products

Product Documents for Annexin A1 Antibody (CL0199) - Azide and BSA Free

Certificate of Analysis

To download a Certificate of Analysis, please enter a lot number in the search box below.

Product Specific Notices for Annexin A1 Antibody (CL0199) - Azide and BSA Free

This product is for research use only and is not approved for use in humans or in clinical diagnosis. Primary Antibodies are guaranteed for 1 year from date of receipt.

Loading...
Loading...
Loading...
Loading...
Loading...