ANKHD1 Antibody
Novus Biologicals, part of Bio-Techne | Catalog # NBP2-15395
Key Product Details
Species Reactivity
Validated:
Human
Predicted:
Canine (96%), Mouse (95%), Porcine (96%), Rat (95%). Backed by our 100% Guarantee.
Applications
Immunohistochemistry, Immunohistochemistry-Paraffin, Western Blot
Label
Unconjugated
Antibody Source
Polyclonal Rabbit IgG
Concentration
Concentrations vary lot to lot. See vial label for concentration. If unlisted please contact technical services.
Product Specifications
Immunogen
Recombinant protein encompassing a sequence within the center region of human ANKHD1. The exact sequence is proprietary.
Reactivity Notes
Chicken (87%).
Localization
Cytoplasm
Clonality
Polyclonal
Host
Rabbit
Isotype
IgG
Theoretical MW
269 kDa.
Disclaimer note: The observed molecular weight of the protein may vary from the listed predicted molecular weight due to post translational modifications, post translation cleavages, relative charges, and other experimental factors.
Disclaimer note: The observed molecular weight of the protein may vary from the listed predicted molecular weight due to post translational modifications, post translation cleavages, relative charges, and other experimental factors.
Description
Novus Biologicals Rabbit ANKHD1 Antibody (NBP2-15395) is a polyclonal antibody validated for use in IHC and WB. All Novus Biologicals antibodies are covered by our 100% guarantee.
Scientific Data Images for ANKHD1 Antibody
Western Blot: ANKHD1 Antibody [NBP2-15395]
Western Blot: ANKHD1 Antibody [NBP2-15395] - A. 30 ug Jurkat whole cell lysate/extract B. 30 ug Raji whole cell lysate/extract C. 30 ug NCI-H929 whole cell lysate/extract 7.5 % SDS-PAGE ANKHD1 antibody [N1], N-term dilution: 1:1000Immunohistochemistry-Paraffin: ANKHD1 Antibody [NBP2-15395]
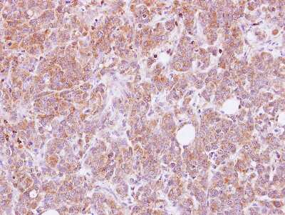
Immunohistochemistry-Paraffin: ANKHD1 Antibody [NBP2-15395] - Paraffin-embedded TOV-21G xenograft, using antibody at 1:100 dilution.Western Blot: ANKHD1 Antibody [NBP2-15395]
Western Blot: ANKHD1 Antibody [NBP2-15395] - Sample (30 ug of whole cell lysate) A: HCT116 7. 5% SDS PAGE ANKHD1 antibody, antibody diluted at 1:1000.Applications for ANKHD1 Antibody
Application
Recommended Usage
Immunohistochemistry
1:100-1:1000
Immunohistochemistry-Paraffin
1:100-1:1000
Western Blot
1:500-1:3000
Formulation, Preparation, and Storage
Purification
Antigen Affinity-purified
Formulation
PBS, 1% BSA, 20% Glycerol
Preservative
0.01% Thimerosal
Concentration
Concentrations vary lot to lot. See vial label for concentration. If unlisted please contact technical services.
Shipping
The product is shipped with polar packs. Upon receipt, store it immediately at the temperature recommended below.
Stability & Storage
Aliquot and store at -20C or -80C. Avoid freeze-thaw cycles.
Background: ANKHD1
Alternate Names
ankyrin repeat and KH domain containing 1, FLJ10042, FLJ11979, FLJ14127, hMASK, KIAA1085single KH-domain homolog, MASKFLJ20288, Multiple ankyrin repeats single KH domain
Gene Symbol
ANKHD1
UniProt
Additional ANKHD1 Products
Product Documents for ANKHD1 Antibody
Product Specific Notices for ANKHD1 Antibody
This product is for research use only and is not approved for use in humans or in clinical diagnosis. Primary Antibodies are guaranteed for 1 year from date of receipt.
Loading...
Loading...
Loading...
Loading...
⚠ WARNING: This product can expose you to chemicals including mercury, which is known to the State of California to cause reproductive toxicity with developmental effects. For more information go to www.P65Warnings.ca.gov.