Skip to main content

AMTN Antibody (OTI2D9)

Novus Biologicals, part of Bio-Techne | Catalog # NBP2-46517

Novus Biologicals, part of Bio-Techne

Key Product Details

Species Reactivity

Human

Applications

Immunohistochemistry, Immunohistochemistry-Paraffin, Western Blot

Label

Unconjugated

Antibody Source

Monoclonal Mouse IgG1 Clone # OTI2D9

Concentration

1 mg/ml

Product Specifications

Immunogen

Full length human recombinant protein of human AMTN (NP_997722) produced in E.coli.

Clonality

Monoclonal

Host

Mouse

Isotype

IgG1

Theoretical MW

21.4 kDa.
Disclaimer note: The observed molecular weight of the protein may vary from the listed predicted molecular weight due to post translational modifications, post translation cleavages, relative charges, and other experimental factors.

Description

Novus Biologicals Mouse AMTN Antibody (OTI2D9) (NBP2-46517) is a monoclonal antibody validated for use in IHC and WB. All Novus Biologicals antibodies are covered by our 100% guarantee.

Scientific Data Images for AMTN Antibody (OTI2D9)

Western Blot: AMTN Antibody (OTI2D9) [NBP2-46517]

Western Blot: AMTN Antibody (OTI2D9) [NBP2-46517]

Western Blot: AMTN Antibody (2D9) [NBP2-46517] - Analysis of HEK293T cells were transfected with the pCMV6-ENTRY control (Left lane) or pCMV6-ENTRY AMTN.
Immunohistochemistry: AMTN Antibody (OTI2D9) [NBP2-46517]

Immunohistochemistry: AMTN Antibody (OTI2D9) [NBP2-46517]

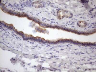
Immunohistochemistry: AMTN Antibody (2D9) [NBP2-46517] - Analysis of Human bladder tissue. (Heat-induced epitope retrieval by 1mM EDTA in 10mM Tris buffer (pH8.5) at 120C for 3 min)
Immunohistochemistry: AMTN Antibody (OTI2D9) [NBP2-46517]

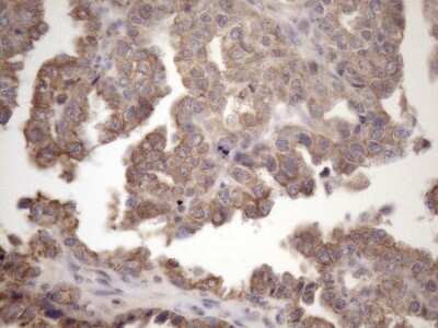
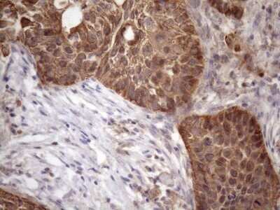
Immunohistochemistry: AMTN Antibody (OTI2D9) [NBP2-46517]

Immunohistochemistry: AMTN Antibody (2D9) [NBP2-46517] - Analysis of Carcinoma of Human lung tissue.(Heat-induced epitope retrieval by 1mM EDTA in 10mM Tris buffer (pH8.5) at 120C for 3 min)

Applications for AMTN Antibody (OTI2D9)

Application
Recommended Usage

Immunohistochemistry

1:150

Western Blot

1:2000

Formulation, Preparation, and Storage

Purification

Immunogen affinity purified

Formulation

PBS (pH 7.3), 1.0% BSA and 50% Glycerol

Preservative

0.02% Sodium Azide

Concentration

1 mg/ml

Shipping

The product is shipped with polar packs. Upon receipt, store it immediately at the temperature recommended below.

Stability & Storage

Store at -20C. Avoid freeze-thaw cycles.

Background: AMTN

The mineralized portions of teeth, the dentin and enamel, are formed by mesenchyme-derived odontoblasts and epithelium-derived ameloblasts, respectively. As ameloblasts differentiate, they deposit specific proteins necessary for enamel formation, including amelogenin (AMELX; MIM 300391), enamelin (ENAM; MIM 606585), and ameloblastin (AMBN; MIM 601259), in the organic enamel matrix. Amelotin is specifically expressed in maturation-stage ameloblasts (Iwasaki et al., 2005 [PubMed 16304441]).[supplied by OMIM]

Alternate Names

amelotin, MGC148132, MGC148133, RSTI689, UNQ689

Gene Symbol

AMTN

Additional AMTN Products

Product Documents for AMTN Antibody (OTI2D9)

Certificate of Analysis

To download a Certificate of Analysis, please enter a lot number in the search box below.

Product Specific Notices for AMTN Antibody (OTI2D9)

This product is for research use only and is not approved for use in humans or in clinical diagnosis. Primary Antibodies are guaranteed for 1 year from date of receipt.

Loading...
Loading...
Loading...
Loading...