Skip to main content

AMSH/STAMBP Antibody - BSA Free

Novus Biologicals, part of Bio-Techne | Catalog # NBP2-15383

Catalog #
Availability
Size / Price
Qty
Loading...
NBP2-15383

Key Product Details

Species Reactivity

Validated:

Human, Mouse

Predicted:

Rhesus Macaque (98%). Backed by our 100% Guarantee.

Applications

Immunohistochemistry, Immunohistochemistry-Paraffin, Western Blot

Label

Unconjugated

Antibody Source

Polyclonal Rabbit IgG

Format

BSA Free

Concentration

Concentrations vary lot to lot. See vial label for concentration. If unlisted please contact technical services.

Product Specifications

Immunogen

Recombinant protein encompassing a sequence within the center region of human AMSH/STAMBP. The exact sequence is proprietary.

Reactivity Notes

Rat (83%), Bovine (88%)

Localization

Nucleus; Membrane; Peripheral membrane protein; Cytoplasm; Early endosome

Clonality

Polyclonal

Host

Rabbit

Isotype

IgG

Theoretical MW

48 kDa.
Disclaimer note: The observed molecular weight of the protein may vary from the listed predicted molecular weight due to post translational modifications, post translation cleavages, relative charges, and other experimental factors.

Scientific Data Images for AMSH/STAMBP Antibody - BSA Free

Western Blot: AMSH/STAMBP Antibody [NBP2-15383]

Western Blot: AMSH/STAMBP Antibody [NBP2-15383]

Western Blot: AMSH/STAMBP Antibody [NBP2-15383] - Sample (30 ug of whole cell lysate) A: PC-3 B: U87-MG 10% SDS PAGE; antibody diluted at 1:1000.
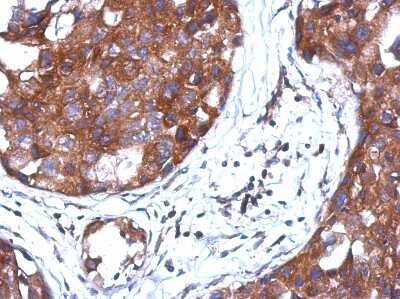
Immunohistochemistry-Paraffin: AMSH/STAMBP Antibody [NBP2-15383]

Immunohistochemistry-Paraffin: AMSH/STAMBP Antibody [NBP2-15383]

Immunohistochemistry-Paraffin: AMSH/STAMBP Antibody [NBP2-15383] - Paraffin-embedded Breast ca, using antibody at 1:500 dilution.
Western Blot: AMSH/STAMBP Antibody [NBP2-15383]

Western Blot: AMSH/STAMBP Antibody [NBP2-15383]

Western Blot: AMSH/STAMBP Antibody [NBP2-15383] - Sample (30 ug of whole cell lysate) A: NIH-3T3 B: JC C: BCL-1 10% SDS PAGE; antibody diluted at 1:1000.

Applications for AMSH/STAMBP Antibody - BSA Free

Application
Recommended Usage

Immunohistochemistry

1:100-1:1000

Immunohistochemistry-Paraffin

1:100-1:1000

Western Blot

1:500-1:3000

Formulation, Preparation, and Storage

Purification

Antigen Affinity-purified

Formulation

0.1M Tris, 0.1M Glycine, 20% Glycerol

Format

BSA Free

Preservative

0.01% Thimerosal

Concentration

Concentrations vary lot to lot. See vial label for concentration. If unlisted please contact technical services.

Shipping

The product is shipped with polar packs. Upon receipt, store it immediately at the temperature recommended below.

Stability & Storage

Aliquot and store at -20C or -80C. Avoid freeze-thaw cycles.

Background: AMSH/STAMBP

Cytokine-mediated signal transduction in the JAK-STAT cascade requires the involvement of adaptor molecules. One such signal-transducing adaptor molecule contains an SH3 domain that is required for induction of MYC and cell growth. The protein encoded by this gene binds to the SH3 domain of the signal-transducing adaptor molecule, and plays a critical role in cytokine-mediated signaling for MYC induction and cell cycle progression. Multiple alternatively spliced transcript variants encoding the same protein isoform have been found for this gene. [provided by RefSeq]

Long Name

STAM Binding Protein

Alternate Names

AMSH, STAMBP

Gene Symbol

STAMBP

UniProt

Additional AMSH/STAMBP Products

Product Documents for AMSH/STAMBP Antibody - BSA Free

Certificate of Analysis

To download a Certificate of Analysis, please enter a lot number in the search box below.

Product Specific Notices for AMSH/STAMBP Antibody - BSA Free

This product is for research use only and is not approved for use in humans or in clinical diagnosis. Primary Antibodies are guaranteed for 1 year from date of receipt.

Loading...
Loading...
Loading...
Loading...

⚠ WARNING: This product can expose you to chemicals including mercury, which is known to the State of California to cause reproductive toxicity with developmental effects.  For more information go to www.P65Warnings.ca.gov.