Skip to main content

AMIGO2 Antibody - BSA Free

Novus Biologicals, part of Bio-Techne | Catalog # NBP2-14288

Novus Biologicals, part of Bio-Techne
Catalog #
Availability
Size / Price
Qty
Loading...
NBP2-14288
NBP2-14288-25ul

Key Product Details

Species Reactivity

Human

Applications

Immunohistochemistry, Immunohistochemistry-Paraffin, Western Blot

Label

Unconjugated

Antibody Source

Polyclonal Rabbit IgG

Format

BSA Free

Concentration

Concentrations vary lot to lot. See vial label for concentration. If unlisted please contact technical services.

Product Specifications

Immunogen

This antibody was developed against a recombinant protein corresponding to the amino acids: AQVGERLMVHCDSKTGNANTDFIWVGPDNRLLEPDKEMENFYVFHNGSLVIESPRFEDAGVYSCIAMNKQRLLNETVDVTINVSNFTVSRS

Reactivity Notes

Immunogen displays the following percentage of sequence identity for non-tested species: Mouse (85%), Rat (82%)

Clonality

Polyclonal

Host

Rabbit

Isotype

IgG

Scientific Data Images for AMIGO2 Antibody - BSA Free

Western Blot: AMIGO2 Antibody [NBP2-14288]

Western Blot: AMIGO2 Antibody [NBP2-14288]

Western Blot: AMIGO2 Antibody [NBP2-14288] - Analysis in human fallopian tube tissue.
Immunohistochemistry-Paraffin: AMIGO2 Antibody [NBP2-14288]

Immunohistochemistry-Paraffin: AMIGO2 Antibody [NBP2-14288]

Immunohistochemistry-Paraffin: AMIGO2 Antibody [NBP2-14288] - Staining of human kidney shows strong granular cytoplasmic positivity in cells in tubules.
Immunohistochemistry-Paraffin: AMIGO2 Antibody [NBP2-14288]

Immunohistochemistry-Paraffin: AMIGO2 Antibody [NBP2-14288]

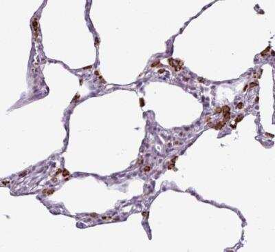
Immunohistochemistry-Paraffin: AMIGO2 Antibody [NBP2-14288] - Staining of human lung shows strong granular cytoplasmic positivity in macrophages.

Applications for AMIGO2 Antibody - BSA Free

Application
Recommended Usage

Immunohistochemistry

1:50 - 1:200

Immunohistochemistry-Paraffin

1:50 - 1:200

Western Blot

0.04-0.4 ug/ml
Application Notes
For IHC-Paraffin, HIER pH 6 retrieval is recommended.

Formulation, Preparation, and Storage

Purification

Affinity purified

Formulation

PBS (pH 7.2) and 40% Glycerol

Format

BSA Free

Preservative

0.02% Sodium Azide

Concentration

Concentrations vary lot to lot. See vial label for concentration. If unlisted please contact technical services.

Shipping

The product is shipped with polar packs. Upon receipt, store it immediately at the temperature recommended below.

Stability & Storage

Store at 4C short term. Aliquot and store at -20C long term. Avoid freeze-thaw cycles.

Background: AMIGO2

AMIGO2 is required for depolarization-dependent survival of cultured cerebellar granule neurons. May mediate homophilicas well as heterophilic cell-cell interaction with AMIGO1 or AMIGO3. May contribute to signal transduction through itsintracellular domain. May be

Long Name

Amphoterin-induced Gene and ORF 2

Alternate Names

Alivin-1

Gene Symbol

AMIGO2

Additional AMIGO2 Products

Product Documents for AMIGO2 Antibody - BSA Free

Certificate of Analysis

To download a Certificate of Analysis, please enter a lot number in the search box below.

Product Specific Notices for AMIGO2 Antibody - BSA Free

This product is for research use only and is not approved for use in humans or in clinical diagnosis. Primary Antibodies are guaranteed for 1 year from date of receipt.

Loading...
Loading...
Loading...
Loading...