Skip to main content

AMID Antibody - BSA Free

Novus Biologicals, part of Bio-Techne | Catalog # NBP3-18132

Novus Biologicals, part of Bio-Techne

Key Product Details

Species Reactivity

Validated:

Human, Mouse, Rat

Predicted:

Bovine (92%), Chimpanzee (100%), Equine (92%). Backed by our 100% Guarantee.

Applications

Immunohistochemistry, Immunohistochemistry-Paraffin, Western Blot, ELISA, Immunocytochemistry/ Immunofluorescence

Label

Unconjugated

Antibody Source

Polyclonal Rabbit IgG

Format

BSA Free

Concentration

1 mg/ml

Product Specifications

Immunogen

Antibody was raised against a peptide corresponding to 12 amino acids near the carboxyl terminus of human AMID. The immunogen is located within the last 50 amino acids of AMID.

Clonality

Polyclonal

Host

Rabbit

Isotype

IgG

Description

Novus Biologicals Rabbit AMID Antibody - BSA Free (NBP3-18132) is a polyclonal antibody validated for use in IHC, WB, ELISA and ICC/IF. All Novus Biologicals antibodies are covered by our 100% guarantee.

Scientific Data Images for AMID Antibody - BSA Free

Western Blot: AMID AntibodyBSA Free [NBP3-18132]

Western Blot: AMID AntibodyBSA Free [NBP3-18132]

Western Blot: AMID Antibody - BSA Free [NBP3-18132] - WB Validation in Rat Tissues. Loading: 15 ug of lysate. Antibodies: AMID NBP3-18132, 2 ug/mL, 1h incubation at RT in 5% NFDM/TBST. Secondary: Goat Anti-Rabbit IgG HRP conjuate at 1:10,000 dilution.
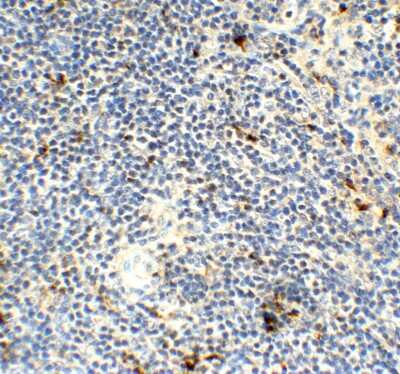
Immunohistochemistry-Paraffin: AMID Antibody - BSA Free [NBP3-18132]

Immunohistochemistry-Paraffin: AMID Antibody - BSA Free [NBP3-18132]

Immunohistochemistry-Paraffin: AMID Antibody - BSA Free [NBP3-18132] - Immunohistochemical analysis of paraffin-embedded mouse spleen tissue using anti-AMID antibody (NBP3-18132) at 1 ug/mL. Tissue was fixed with formaldehyde and blocked with 10% serum for 1 h at RT; antigen retrieval was by heat mediation with a citrate buffer (pH6). Samples were incubated with primary antibody overnight at 4C. A goat anti-rabbit IgG H&L (HRP) at 1/250 was used as secondary. Counter stained with Hematoxylin.
Western Blot: AMID AntibodyBSA Free [NBP3-18132]

Western Blot: AMID AntibodyBSA Free [NBP3-18132]

Western Blot: AMID Antibody - BSA Free [NBP3-18132] - WB Validation in Human Mouse and Rat Cell Lines. Loading: 15 ug of lysate. Antibodies: AMID NBP3-18132, 2 ug/mL, 1h incubation at RT in 5% NFDM/TBST. Secondary: Goat Anti-Rabbit IgG HRP conjuate at 1:10,000 dilution.

Applications for AMID Antibody - BSA Free

Application
Recommended Usage

Immunocytochemistry/ Immunofluorescence

20 ug/mL

Immunohistochemistry

1 ug/ml

Western Blot

2 ug/mL

Formulation, Preparation, and Storage

Purification

Peptide affinity purified

Formulation

PBS

Format

BSA Free

Preservative

0.02% Sodium Azide

Concentration

1 mg/ml

Shipping

The product is shipped with polar packs. Upon receipt, store it immediately at the temperature recommended below.

Stability & Storage

Store at 4C short term. Aliquot and store at -20C long term. Avoid freeze-thaw cycles.

Background: AMID

AMID is encoded by this gene has significant homology to NADH oxidoreductases and the apoptosis-inducing factor PDCD8/AIF. Overexpression of this gene has been shown to induce apoptosis. The expression of this gene is found to be induced by tumor suppressor protein p53 in colon caner cells. [provided by RefSeq]

Alternate Names

AMID, apoptosis-inducing factor (AIF)-like mitochondrion-associated inducer of death, apoptosis-inducing factor 2, Apoptosis-inducing factor homologous mitochondrion-associated inducer of death, apoptosis-inducing factor, mitochondrion-associated, 2, Apoptosis-inducing factor-like mitochondrion-associated inducer of death, DKFZp686L1298, FLJ14497, p53-responsive gene 3 protein, PRG3apoptosis-inducing factor (AIF)-homologous mitochondrion-associated inducer ofdeath, RP11-367H5.2

Gene Symbol

AIFM2

Additional AMID Products

Product Documents for AMID Antibody - BSA Free

Certificate of Analysis

To download a Certificate of Analysis, please enter a lot number in the search box below.

Product Specific Notices for AMID Antibody - BSA Free

This product is for research use only and is not approved for use in humans or in clinical diagnosis. Primary Antibodies are guaranteed for 1 year from date of receipt.

Loading...
Loading...
Loading...
Loading...