alpha Adaptin Antibody (AC1-M11) - BSA Free
Novus Biologicals, part of Bio-Techne | Catalog # NB300-721
Conjugate
Catalog #
Key Product Details
Species Reactivity
Human, Mouse, Rat, Porcine, Amphibian, Bovine, Chicken, Primate
Applications
Immunohistochemistry, Immunohistochemistry-Paraffin, Western Blot, Immunocytochemistry/ Immunofluorescence, Immunoprecipitation
Label
Unconjugated
Antibody Source
Monoclonal Mouse IgG2A Clone # AC1-M11
Format
BSA Free
Concentration
2 mg/ml
Product Specifications
Immunogen
Purified bovine brain adaptor complexes.
Reactivity Notes
Please note that this antibody is reactive to Mouse and derived from the same host, Mouse. Additional Mouse on Mouse blocking steps may be required for IHC and ICC experiments. Please contact Technical Support for more information.
Localization
Cytoplasmic
Specificity
Detects Alpha 1 Fetoprotein. This detects the products of both alpha-adaptin genes, alpha A and alpha C, as well as an alternatively spliced isoform of alpha A found in neurons.
Clonality
Monoclonal
Host
Mouse
Isotype
IgG2A
Description
Novus Biologicals Mouse alpha Adaptin Antibody (AC1-M11) - BSA Free (NB300-721) is a monoclonal antibody validated for use in IHC, WB, ICC/IF and IP. Anti-alpha Adaptin Antibody: Cited in 2 publications. All Novus Biologicals antibodies are covered by our 100% guarantee.
Scientific Data Images for alpha Adaptin Antibody (AC1-M11) - BSA Free
Immunocytochemistry/ Immunofluorescence: alpha Adaptin Antibody (AC1-M11) - BSA Free [NB300-721]
Immunocytochemistry/Immunofluorescence: alpha Adaptin Antibody (AC1-M11) [NB300-721] - Shows immunolocalization of alpha-adaptin in NRK cells.Immunohistochemistry-Paraffin: alpha Adaptin Antibody (AC1-M11) - BSA Free [NB300-721]
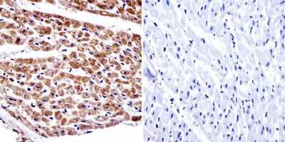
Immunohistochemistry-Paraffin: alpha Adaptin Antibody (AC1-M11) [NB300-721] - Immunohistochemistry on deparaffinized human heart tissueApplications for alpha Adaptin Antibody (AC1-M11) - BSA Free
Application
Recommended Usage
Immunocytochemistry/ Immunofluorescence
1:100
Immunohistochemistry
1:20
Immunohistochemistry-Paraffin
1:20
Immunoprecipitation
1:10 - 1:500
Western Blot
1:100
Application Notes
WB: Detects an approx. 100 kDa doublet representing the two isoforms of Alpha 1 Fetoprotein from pig brain extract. IF: Staining of alpha-adaptin in transfected COS cells yields distinct punctate dots on the plasma membrane.
Reviewed Applications
Read 1 review rated 4 using NB300-721 in the following applications:
Formulation, Preparation, and Storage
Purification
Protein A purified
Formulation
PBS
Format
BSA Free
Preservative
0.05% Sodium Azide
Concentration
2 mg/ml
Shipping
The product is shipped with polar packs. Upon receipt, store it immediately at the temperature recommended below.
Stability & Storage
Store at -20C. Avoid freeze-thaw cycles.
Background: alpha Adaptin
Alternate Names
100 kDa coated vesicle protein A, Adapter-related protein complex 2 alpha-1 subunit, Adaptor protein complex AP-2 subunit alpha-1, adaptor-related protein complex 2, alpha 1 subunit, ADTAAAP2-ALPHA, Alpha1-adaptin, Alpha-adaptin A, AP-2 complex subunit alpha-1, CLAPA1adaptin, alpha A, Clathrin assembly protein complex 2 alpha-A large chain, clathrin-associated/assembly/adaptor protein, large, alpha 1, Plasma membrane adaptor HA2/AP2 adaptin alpha A subunit
Gene Symbol
AP2A1
Additional alpha Adaptin Products
Product Documents for alpha Adaptin Antibody (AC1-M11) - BSA Free
Product Specific Notices for alpha Adaptin Antibody (AC1-M11) - BSA Free
This product is for research use only and is not approved for use in humans or in clinical diagnosis. Primary Antibodies are guaranteed for 1 year from date of receipt.
Loading...
Loading...
Loading...
Loading...