Skip to main content

Aldo-keto Reductase 1C1/AKR1C1 Antibody (AKR1C1/9318) - Azide and BSA Free

Novus Biologicals, part of Bio-Techne | Catalog # NBP3-45095

Catalog #
Availability
Size / Price
Qty
Loading...
NBP3-45095

Key Product Details

Species Reactivity

Human

Applications

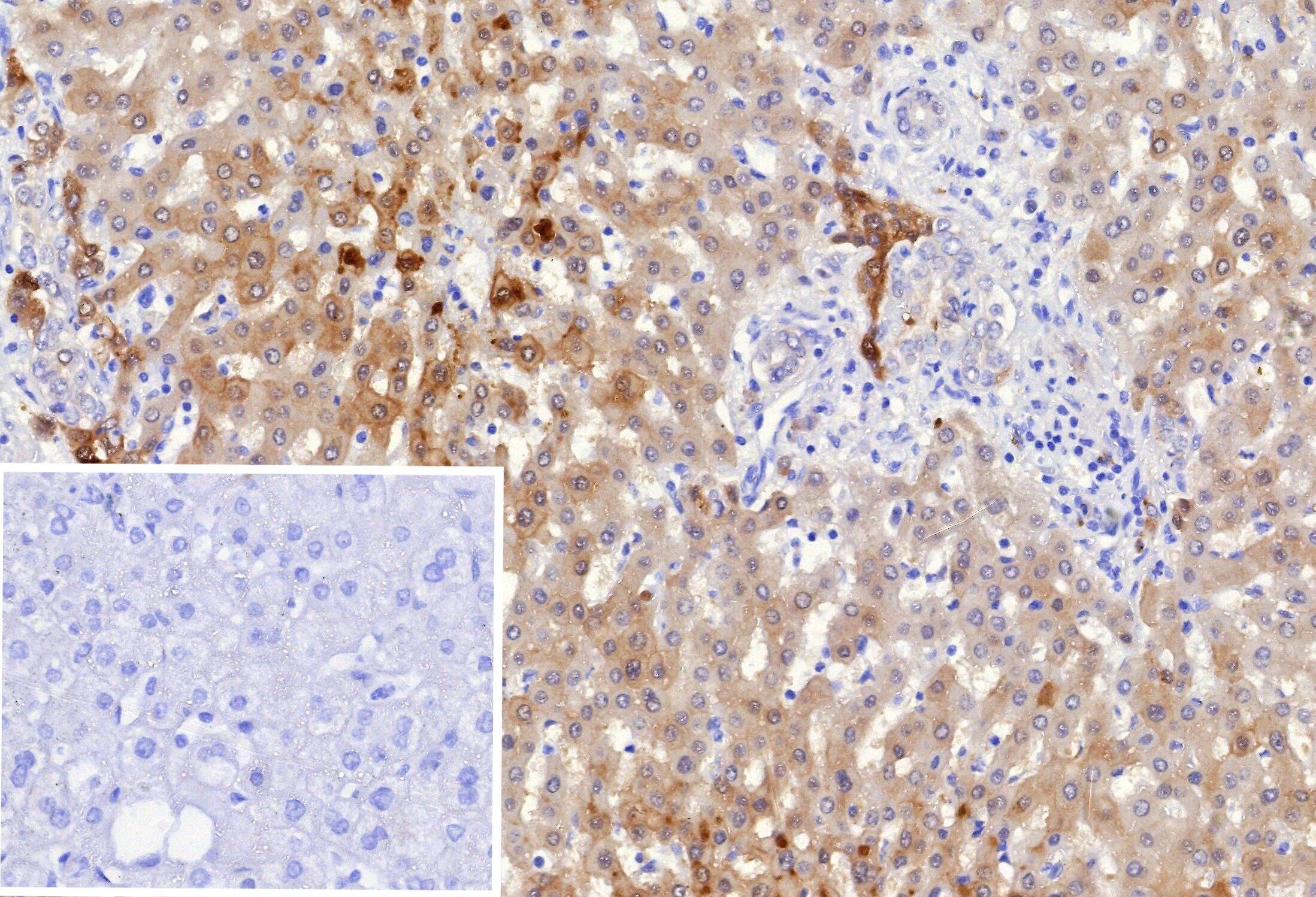
Immunohistochemistry, Western Blot

Label

Unconjugated

Antibody Source

Monoclonal Mouse IgG2b Kappa Clone # AKR1C1/9318

Format

Azide and BSA Free

Concentration

1 mg/ml

Product Specifications

Immunogen

Recombinant human full-length Aldo-keto Reductase 1C1/AKR1C1 protein (Uniprot: Q04828). Exact sequence is proprietary.

Localization

Cytoplasm.

Clonality

Monoclonal

Host

Mouse

Isotype

IgG2b Kappa

Theoretical MW

37 kDa.
Disclaimer note: The observed molecular weight of the protein may vary from the listed predicted molecular weight due to post translational modifications, post translation cleavages, relative charges, and other experimental factors.

Description

1.0 mg/ml of antibody purified from Bioreactor Concentrate by Protein A/G. Prepared in 10mM PBS WITHOUT BSA & azide. Also available at 200 ug/ml WITH BSA & azide (NBP3-44593).

Antibody with azide - store at 2 to 8C. Antibody without azide - store at -20 to -80C. Non-hazardous. No MSDS required.

Applications

Application
Recommended Usage

Immunohistochemistry

: 1-2ug/ml

Western Blot

: 2-4ug/ml
Application Notes
Immunohistochemistry: 30 min at RT. Staining of formalin-fixed tissues requires heating tissue sections in 10mM Tris with 1mM EDTA, pH 9.0, for 45 min at 95C followed by cooling at RT for 20 minutes.

Formulation, Preparation, and Storage

Purification

Protein A purified

Formulation

10 mM PBS

Format

Azide and BSA Free

Preservative

No Preservative

Concentration

1 mg/ml

Shipping

The product is shipped with polar packs. Upon receipt, store it immediately at the temperature recommended below.

Stability & Storage

Store at -20 to -80C. Avoid freeze-thaw cycles.

Background: Aldo-keto Reductase 1C1/AKR1C1

AKR1C1 encodes a member of the aldo/keto reductase superfamily, which consists of more than 40 known enzymes and proteins. These enzymes catalyze the conversion of aldehydes and ketones to their corresponding alcohols by utilizing NADH and/or NADPH as cofactors. The enzymes display overlapping but distinct substrate specificity. This enzyme catalyzes the reaction of progesterone to the inactive form 20-alpha-hydroxy-progesterone. This gene shares high sequence identity with three other gene members and is clustered with those three genes at chromosome 10p15-p14.

Long Name

Aldo-keto Reductase Family 1, Member C1

Alternate Names

2-ALPHA-HSD, 20-ALPHA-HSD, AKR1C1, AldoketoReductase 1C1, DDH1, HAKRC, HBAB

Gene Symbol

AKR1C1

Additional Aldo-keto Reductase 1C1/AKR1C1 Products

Product Documents

Certificate of Analysis

To download a Certificate of Analysis, please enter a lot number in the search box below.

Product Specific Notices

This product is for research use only and is not approved for use in humans or in clinical diagnosis. Primary Antibodies are guaranteed for 1 year from date of receipt.

Loading...
Loading...
Loading...
Loading...