Skip to main content

alcohol dehydrogenase 7 Antibody - BSA Free

Novus Biologicals, part of Bio-Techne | Catalog # NBP1-90232

Novus Biologicals, part of Bio-Techne
Catalog #
Availability
Size / Price
Qty
Loading...
NBP1-90232
NBP1-90232-25ul

Key Product Details

Validated by

Orthogonal Validation

Species Reactivity

Human, Mouse, Rat

Applications

Immunohistochemistry, Immunohistochemistry-Paraffin, Western Blot

Label

Unconjugated

Antibody Source

Polyclonal Rabbit IgG

Format

BSA Free

Concentration

Concentrations vary lot to lot. See vial label for concentration. If unlisted please contact technical services.

Product Specifications

Immunogen

This antibody was developed against Recombinant Protein corresponding to amino acids: KFEKAMAVGATECISPKDSTKPISEVLSEMTGNNVGYTFEVIGHLETMIDALASCHMNYGTSV

Clonality

Polyclonal

Host

Rabbit

Isotype

IgG

Description

Novus Biologicals Rabbit alcohol dehydrogenase 7 Antibody - BSA Free (NBP1-90232) is a polyclonal antibody validated for use in IHC and WB. All Novus Biologicals antibodies are covered by our 100% guarantee.

Scientific Data Images for alcohol dehydrogenase 7 Antibody - BSA Free

alcohol dehydrogenase 7 Antibody - BSA Free Immunohistochemistry: alcohol dehydrogenase 7 Antibody - BSA Free [NBP1-90232]

Immunohistochemistry: alcohol dehydrogenase 7 Antibody - BSA Free [NBP1-90232]

Analysis in human esophagus and pancreas tissues using NBP1-90232 antibody. Corresponding ADH7 RNA-seq data are presented for the same tissues.
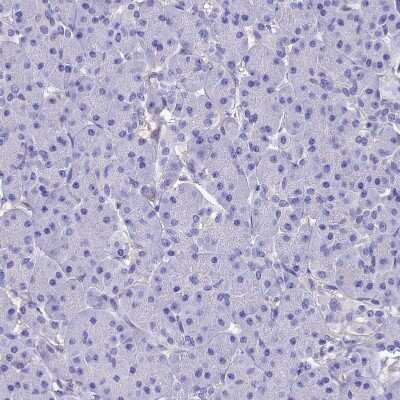
Immunohistochemistry-Paraffin: alcohol dehydrogenase 7 Antibody [NBP1-90232]

Immunohistochemistry-Paraffin: alcohol dehydrogenase 7 Antibody [NBP1-90232]

Immunohistochemistry-Paraffin: alcohol dehydrogenase 7 Antibody [NBP1-90232] - Staining of human esophagus shows strong cytoplasmic positivity in squamous epithelial cells.
Immunohistochemistry-Paraffin: alcohol dehydrogenase 7 Antibody [NBP1-90232]

Immunohistochemistry-Paraffin: alcohol dehydrogenase 7 Antibody [NBP1-90232]

Immunohistochemistry-Paraffin: alcohol dehydrogenase 7 Antibody [NBP1-90232] - Staining of human pancreas shows no positivity in exocrine glandular cells as expected.

Applications for alcohol dehydrogenase 7 Antibody - BSA Free

Application
Recommended Usage

Immunohistochemistry

1:500 - 1:1000

Immunohistochemistry-Paraffin

1:500 - 1:1000

Western Blot

0.04-0.4 ug/ml
Application Notes
For IHC-Paraffin, HIER pH 6 retrieval is recommended.

Formulation, Preparation, and Storage

Purification

Immunogen affinity purified

Formulation

PBS (pH 7.2) and 40% Glycerol

Format

BSA Free

Preservative

0.02% Sodium Azide

Concentration

Concentrations vary lot to lot. See vial label for concentration. If unlisted please contact technical services.

Shipping

The product is shipped with polar packs. Upon receipt, store it immediately at the temperature recommended below.

Stability & Storage

Store at 4C short term. Aliquot and store at -20C long term. Avoid freeze-thaw cycles.

Background: alcohol dehydrogenase 7

alcohol dehydrogenase 7 encodes class IV alcohol dehydrogenase 7 mu or sigma subunit, which is a member of the alcohol dehydrogenase family. Members of this family metabolize a wide variety of substrates, including ethanol, retinol, other aliphatic alcohols, hydroxysteroids, and lipid peroxidation products. The enzyme encoded by this gene is inefficient in ethanol oxidation, but is the most active as a retinol dehydrogenase; thus it may participate in the synthesis of retinoic acid, a hormone important for cellular differentiation. The expression of this gene is much more abundant in stomach than liver, thus differing from the other known gene family members. [provided by RefSeq]

Alternate Names

ADH4, ADH-4, alcohol dehydrogenase 7 (class IV), mu or sigma polypeptide, alcohol dehydrogenase class 4 mu/sigma chain, Alcohol dehydrogenase class IV mu/sigma chain, alcohol dehydrogenase VII, alcohol dehydrogenase-7, class IV sigma-1 alcohol dehydrogenase, class IV sigmasigma alcohol dehydrogenase, EC 1.1.1, EC 1.1.1.1, Gastric alcohol dehydrogenase, Retinol dehydrogenase

Gene Symbol

ADH7

Additional alcohol dehydrogenase 7 Products

Product Documents for alcohol dehydrogenase 7 Antibody - BSA Free

Certificate of Analysis

To download a Certificate of Analysis, please enter a lot number in the search box below.

Product Specific Notices for alcohol dehydrogenase 7 Antibody - BSA Free

This product is for research use only and is not approved for use in humans or in clinical diagnosis. Primary Antibodies are guaranteed for 1 year from date of receipt.

Loading...
Loading...
Loading...
Loading...