Skip to main content

alcohol dehydrogenase 7 Antibody (OTI2H10) - Azide and BSA Free

Novus Biologicals, part of Bio-Techne | Catalog # NBP2-70098

Novus Biologicals, part of Bio-Techne
Catalog #
Availability
Size / Price
Qty
Loading...
NBP2-70098

Key Product Details

Species Reactivity

Human, Mouse, Rat

Applications

Immunohistochemistry, Immunohistochemistry-Paraffin, Western Blot, Flow Cytometry, CyTOF-ready

Label

Unconjugated

Antibody Source

Monoclonal Mouse IgG1 Clone # OTI2H10

Format

Azide and BSA Free

Concentration

LYOPH mg/ml

Product Specifications

Immunogen

Full length human recombinant protein of human ADH7(NP_000664) produced in HEK293T cell.

Reactivity Notes

Please note that this antibody is reactive to Mouse and derived from the same host, Mouse. Mouse-On-Mouse blocking reagent may be needed for IHC and ICC experiments to reduce high background signal. You can find these reagents under catalog numbers PK-2200-NB and MP-2400-NB. Please contact Technical Support if you have any questions.

Clonality

Monoclonal

Host

Mouse

Isotype

IgG1

Theoretical MW

41.3 kDa.
Disclaimer note: The observed molecular weight of the protein may vary from the listed predicted molecular weight due to post translational modifications, post translation cleavages, relative charges, and other experimental factors.

Description

Novus Biologicals Mouse alcohol dehydrogenase 7 Antibody (OTI2H10) - Azide and BSA Free (NBP2-03741) is a monoclonal antibody validated for use in IHC, WB and Flow. All Novus Biologicals antibodies are covered by our 100% guarantee.

Scientific Data Images for alcohol dehydrogenase 7 Antibody (OTI2H10) - Azide and BSA Free

Western Blot: alcohol dehydrogenase 7 Antibody (OTI2H10)Azide and BSA Free [NBP2-70098]

Western Blot: alcohol dehydrogenase 7 Antibody (OTI2H10)Azide and BSA Free [NBP2-70098]

Western Blot: alcohol dehydrogenase 7 Antibody (OTI2H10) - Azide and BSA Free [NBP2-70098] - HEK293T cells were transfected with the pCMV6-ENTRY control (Left lane) or pCMV6-ENTRY alcohol dehydrogenase 7 (Right lane) cDNA for 48 hrs and lysed. Equivalent amounts of cell lysates (5 ug per lane) were separated by SDS-PAGE and immunoblotted with ant
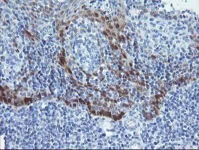
Immunohistochemistry: alcohol dehydrogenase 7 Antibody (OTI2H10) - Azide and BSA Free [NBP2-70098]

Immunohistochemistry: alcohol dehydrogenase 7 Antibody (OTI2H10) - Azide and BSA Free [NBP2-70098]

Immunohistochemistry: alcohol dehydrogenase 7 Antibody (OTI2H10) - Azide and BSA Free [NBP2-70098] - Staining of paraffin-embedded Carcinoma of Human lung tissue using anti-alcohol dehydrogenase 7 mouse monoclonal antibody.
Flow Cytometry: alcohol dehydrogenase 7 Antibody (OTI2H10) - Azide and BSA Free [NBP2-70098]

Flow Cytometry: alcohol dehydrogenase 7 Antibody (OTI2H10) - Azide and BSA Free [NBP2-70098]

Flow Cytometry: alcohol dehydrogenase 7 Antibody (OTI2H10) - Azide and BSA Free [NBP2-70098] - HEK293T cells transfected with either overexpression plasmid (Red) or empty vector control plasmid (Blue) were immunostaining by anti-alcohol dehydrogenase 7 antibody, and then analyzed by flow cytometry.

Applications for alcohol dehydrogenase 7 Antibody (OTI2H10) - Azide and BSA Free

Application
Recommended Usage

Flow Cytometry

1:100

Immunohistochemistry

1:150

Western Blot

1:500-2000

Formulation, Preparation, and Storage

Purification

Immunogen affinity purified

Reconstitution

we recommend adding 100uL distilled water to a final antibody concentration of about 1 mg/mL. To use this carrier-free antibody for conjugation experiment, we strongly recommend performing another round of desalting process.

Formulation

Lyophilized from PBS (pH 7.3) with 8% Trehalose

Format

Azide and BSA Free

Preservative

No Preservative

Concentration

LYOPH mg/ml

Shipping

The product is shipped with polar packs. Upon receipt, store it immediately at the temperature recommended below.

Stability & Storage

Store at -20C. Avoid freeze-thaw cycles.

Background: alcohol dehydrogenase 7

alcohol dehydrogenase 7 encodes class IV alcohol dehydrogenase 7 mu or sigma subunit, which is a member of the alcohol dehydrogenase family. Members of this family metabolize a wide variety of substrates, including ethanol, retinol, other aliphatic alcohols, hydroxysteroids, and lipid peroxidation products. The enzyme encoded by this gene is inefficient in ethanol oxidation, but is the most active as a retinol dehydrogenase; thus it may participate in the synthesis of retinoic acid, a hormone important for cellular differentiation. The expression of this gene is much more abundant in stomach than liver, thus differing from the other known gene family members. [provided by RefSeq]

Alternate Names

ADH4, ADH-4, alcohol dehydrogenase 7 (class IV), mu or sigma polypeptide, alcohol dehydrogenase class 4 mu/sigma chain, Alcohol dehydrogenase class IV mu/sigma chain, alcohol dehydrogenase VII, alcohol dehydrogenase-7, class IV sigma-1 alcohol dehydrogenase, class IV sigmasigma alcohol dehydrogenase, EC 1.1.1, EC 1.1.1.1, Gastric alcohol dehydrogenase, Retinol dehydrogenase

Gene Symbol

ADH7

Additional alcohol dehydrogenase 7 Products

Product Documents for alcohol dehydrogenase 7 Antibody (OTI2H10) - Azide and BSA Free

Certificate of Analysis

To download a Certificate of Analysis, please enter a lot number in the search box below.

Product Specific Notices for alcohol dehydrogenase 7 Antibody (OTI2H10) - Azide and BSA Free

This product is for research use only and is not approved for use in humans or in clinical diagnosis. Primary Antibodies are guaranteed for 1 year from date of receipt.

Loading...
Loading...
Loading...
Loading...
Loading...
Loading...