alcohol dehydrogenase 1A Antibody - BSA Free
Novus Biologicals, part of Bio-Techne | Catalog # NBP2-46861
Key Product Details
Species Reactivity
Human
Applications
Immunohistochemistry, Immunohistochemistry-Paraffin
Label
Unconjugated
Antibody Source
Polyclonal Rabbit IgG
Format
BSA Free
Concentration
Concentrations vary lot to lot. See vial label for concentration. If unlisted please contact technical services.
Product Specifications
Immunogen
This antibody was developed against Recombinant Protein corresponding to amino acids: IPQCGKCRICKNPESNYCLKNDVSNPQGTLQDGTSRFTCRRKPIHHF
Clonality
Polyclonal
Host
Rabbit
Isotype
IgG
Description
Novus Biologicals Rabbit alcohol dehydrogenase 1A Antibody - BSA Free (NBP2-46861) is a polyclonal antibody validated for use in IHC. All Novus Biologicals antibodies are covered by our 100% guarantee.
Scientific Data Images for alcohol dehydrogenase 1A Antibody - BSA Free
Immunohistochemistry-Paraffin: alcohol dehydrogenase 1A Antibody [NBP2-46861]
Immunohistochemistry-Paraffin: alcohol dehydrogenase 1A Antibody [NBP2-46861] - Staining of human testis shows no positivity in cells in seminiferous ducts as expected.Immunohistochemistry-Paraffin: alcohol dehydrogenase 1A Antibody [NBP2-46861]
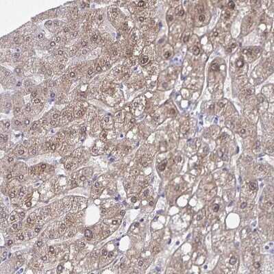
Immunohistochemistry-Paraffin: alcohol dehydrogenase 1A Antibody [NBP2-46861] - Staining of human liver shows weak cytoplasmic and nuclear positivity in hepatocytes.Immunohistochemistry-Paraffin: alcohol dehydrogenase 1A Antibody [NBP2-46861]
Immunohistochemistry-Paraffin: alcohol dehydrogenase 1A Antibody [NBP2-46861] - Staining of human pancreas shows no positivity in exocrine glandular cells as expected.Applications for alcohol dehydrogenase 1A Antibody - BSA Free
Application
Recommended Usage
Immunohistochemistry
1:20 - 1:50
Immunohistochemistry-Paraffin
1:20 - 1:50
Application Notes
For IHC-Paraffin, HIER pH 6 retrieval is recommended.
Formulation, Preparation, and Storage
Purification
Affinity purified
Formulation
PBS (pH 7.2) and 40% Glycerol
Format
BSA Free
Preservative
0.02% Sodium Azide
Concentration
Concentrations vary lot to lot. See vial label for concentration. If unlisted please contact technical services.
Shipping
The product is shipped with polar packs. Upon receipt, store it immediately at the temperature recommended below.
Stability & Storage
Store at 4C short term. Aliquot and store at -20C long term. Avoid freeze-thaw cycles.
Background: alcohol dehydrogenase 1A
Alternate Names
ADH, alpha subunit, ADH1alcohol dehydrogenase 1A, alcohol dehydrogenase 1 (class I), alpha polypeptide, alcohol dehydrogenase 1A (class I), alpha polypeptide, Alcohol dehydrogenase subunit alpha, aldehyde reductase, EC 1.1.1, EC 1.1.1.1
Entrez Gene IDs
124 (Human)
Gene Symbol
ADH1A
UniProt
Additional alcohol dehydrogenase 1A Products
Product Documents for alcohol dehydrogenase 1A Antibody - BSA Free
Product Specific Notices for alcohol dehydrogenase 1A Antibody - BSA Free
This product is for research use only and is not approved for use in humans or in clinical diagnosis. Primary Antibodies are guaranteed for 1 year from date of receipt.
Loading...
Loading...
Loading...
Loading...