Skip to main content

Albumin Antibody - BSA Free

Novus Biologicals, part of Bio-Techne | Catalog # NBP1-77027

Novus Biologicals, part of Bio-Techne
Catalog #
Availability
Size / Price
Qty
Loading...
NBP1-77027-0.025mg
NBP1-77027

Key Product Details

Species Reactivity

Validated:

Human, Mouse, Rat

Cited:

Mouse

Applications

Validated:

Immunohistochemistry, Immunohistochemistry-Paraffin, Western Blot, ELISA, Immunocytochemistry/ Immunofluorescence

Cited:

Immunocytochemistry/ Immunofluorescence, IF/IHC

Label

Unconjugated

Antibody Source

Polyclonal Chicken IgY

Format

BSA Free

Concentration

1 mg/ml

Product Specifications

Immunogen

Antibody was raised against a 13 amino acid synthetic peptide near the center of human Albumin. The immunogen is located within amino acids 340 - 390 of Albumin. Amino Acid Squence: LYEYARRHPDTSV

Reactivity Notes

Immunogen displays the following percentage of sequence identity for non-tested species: Donkey (85%), Horse (85%), Pig (85%), Rabbit (85%), Chicken (80%).

Clonality

Polyclonal

Host

Chicken

Isotype

IgY

Description

Novus Biologicals Chicken Albumin Antibody - BSA Free (NBP1-77027) is a polyclonal antibody validated for use in IHC, WB, ELISA and ICC/IF. Anti-Albumin Antibody: Cited in 3 publications. All Novus Biologicals antibodies are covered by our 100% guarantee.

Scientific Data Images for Albumin Antibody - BSA Free

Albumin Antibody - BSA Free

Immunocytochemistry/ Immunofluorescence: Albumin Antibody - BSA Free [NBP1-77027] -

Immunocytochemistry/ Immunofluorescence: Albumin Antibody - BSA Free [NBP1-77027] - Validation of Albumin in Mouse Liver. Immunofluorescent analysis of 4% paraformaldehyde-fixed mouse liver tissue labeling albumin with at 20mL, followed by goat anti-chicken IgY secondary antibody at 1/500 dilution (red) and DAPI staining (blue).
Albumin Antibody - BSA Free

Immunohistochemistry: Albumin Antibody - BSA Free [NBP1-77027] -

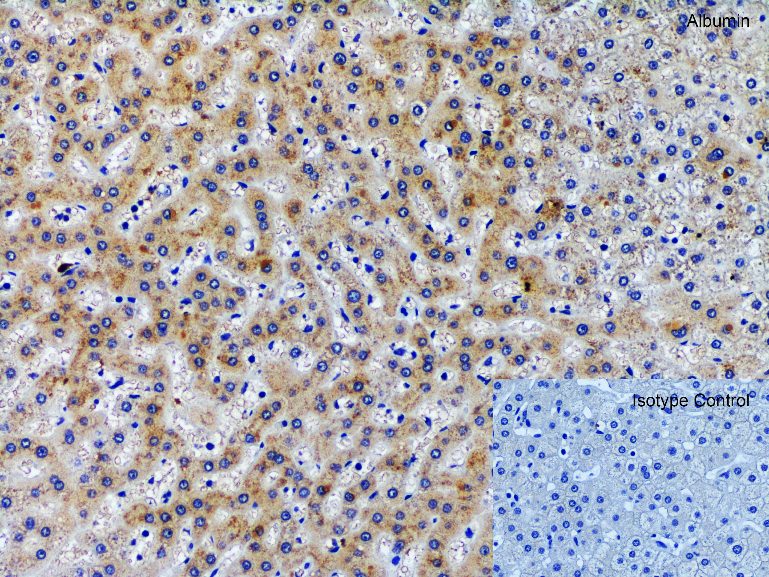
Immunohistochemistry: Albumin Antibody - BSA Free [NBP1-77027] - Validation of Albumin in Human Liver.Immunohistochemical analysis of paraffin-embedded human liver tissue using anti-albumin antibody at 2 u/ml. Tissue was fixed with formaldehyde and blocked with 10% serum for 1 h at RT; antigen retrieval was by heat mediation with a citrate buffer (pH6). Samples were incubated with primary antibody overnight at 4C. A goat anti- chicken IgY (HRP) at 1/250 was used as secondary. Counter stained with Hematoxylin.
Albumin Antibody - BSA Free

Immunohistochemistry: Albumin Antibody - BSA Free [NBP1-77027] -

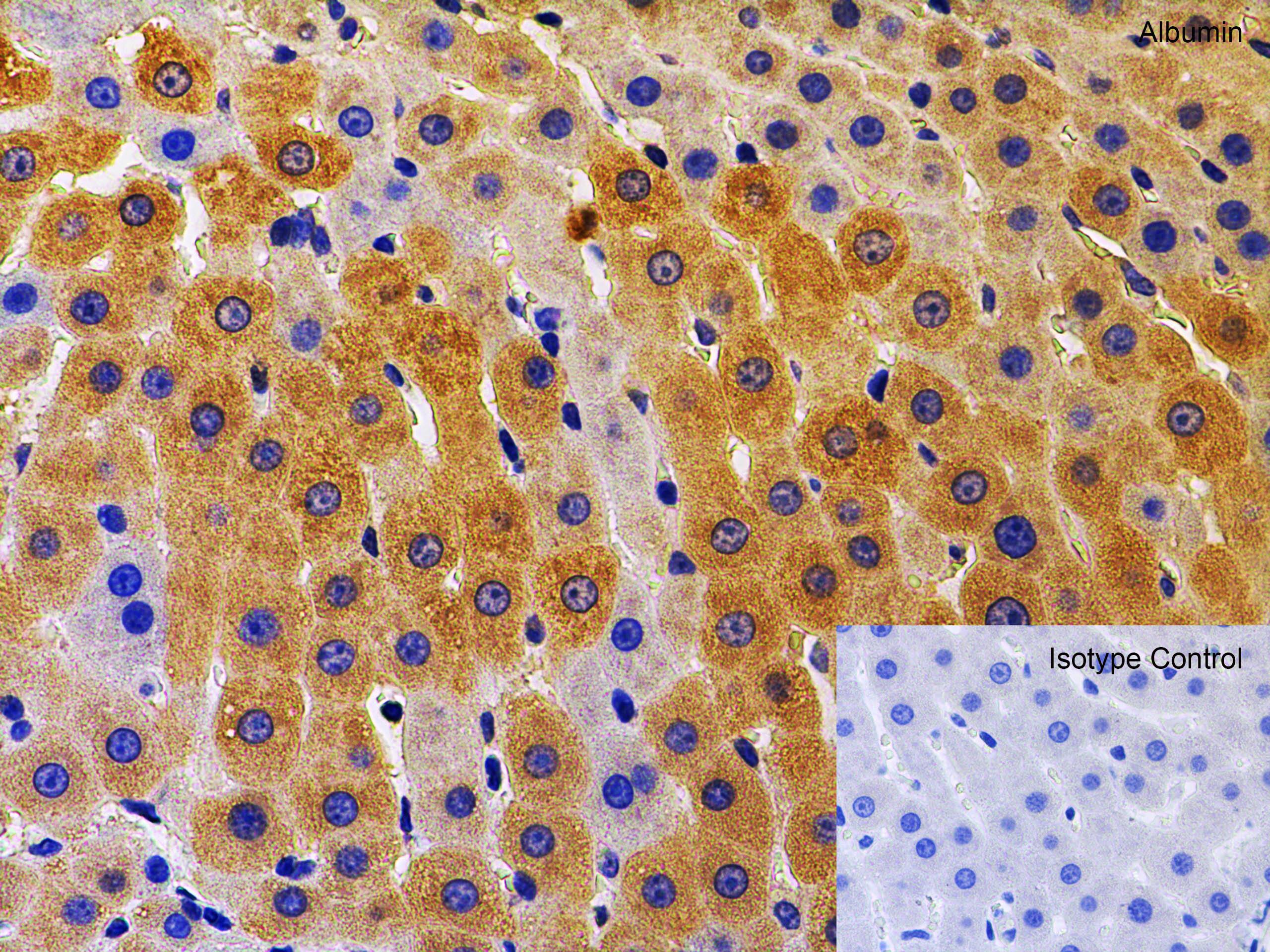
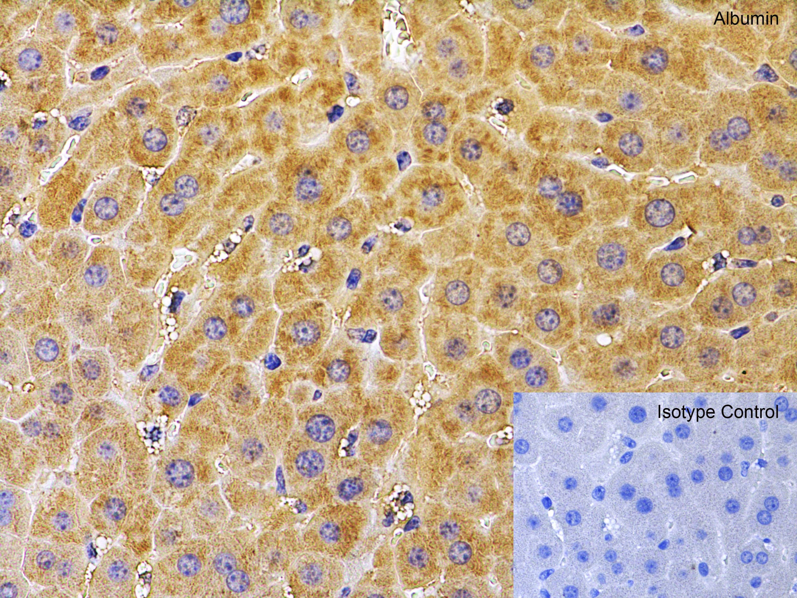
Immunohistochemistry: Albumin Antibody - BSA Free [NBP1-77027] - Validation of Albumin in Mouse Liver.Immunohistochemical analysis of paraffin-embedded mouse liver tissue using anti-albumin antibody at 10 u/ml. Tissue was fixed with formaldehyde and blocked with 10% serum for 1 h at RT; antigen retrieval was by heat mediation with a citrate buffer (pH6). Samples were incubated with primary antibody overnight at 4C. A goat anti- chicken IgY (HRP) at 1/250 was used as secondary. Counter stained with Hematoxylin.

Applications for Albumin Antibody - BSA Free

Application
Recommended Usage

ELISA

1:100-1:2000

Immunocytochemistry/ Immunofluorescence

20 ug/mL

Immunohistochemistry

2.5 ug/ml

Immunohistochemistry-Paraffin

2.5 ug/ml

Western Blot

1-2 ug/ml

Formulation, Preparation, and Storage

Purification

Peptide affinity purified

Formulation

PBS

Format

BSA Free

Preservative

0.02% Sodium Azide

Concentration

1 mg/ml

Shipping

The product is shipped with polar packs. Upon receipt, store it immediately at the temperature recommended below.

Stability & Storage

Store at 4C.

Background: Albumin

Albumin is a soluble, monomeric protein which comprises about one-half of the blood serum protein. It functions primarily as a carrier protein for steroids, fatty acids, and thyroid hormones and plays a role in stabilizing extracellular fluid volume. Albumin is synthesized in the liver as preproalbumin which has an N-terminal peptide that is removed before the nascent protein is released from the rough endoplasmic reticulum. The resulting product, proalbumin, is in turn cleaved in the Golgi vesicles to produce the secreted albumin. At least two isoforms of Albumin are known to exist.

Alternate Names

ALB

Entrez Gene IDs

213 (Human); 11657 (Mouse); 24186 (Rat)

Gene Symbol

ALB

UniProt

Additional Albumin Products

Product Documents for Albumin Antibody - BSA Free

Certificate of Analysis

To download a Certificate of Analysis, please enter a lot number in the search box below.

Product Specific Notices for Albumin Antibody - BSA Free

Chicken products cannot be exported to Canada.

This product is for research use only and is not approved for use in humans or in clinical diagnosis. Primary Antibodies are guaranteed for 1 year from date of receipt.

Loading...
Loading...
Loading...
Loading...