Skip to main content

AKR7A2 Antibody - BSA Free

Novus Biologicals, part of Bio-Techne | Catalog # NBP1-32828

Catalog #
Availability
Size / Price
Qty
Loading...
NBP1-32828

Key Product Details

Species Reactivity

Human, Mouse

Applications

Immunohistochemistry, Immunohistochemistry-Paraffin, Western Blot, Immunocytochemistry/ Immunofluorescence

Label

Unconjugated

Antibody Source

Polyclonal Rabbit IgG

Format

BSA Free

Concentration

Concentrations vary lot to lot. See vial label for concentration. If unlisted please contact technical services.

Product Specifications

Immunogen

Recombinant protein encompassing a sequence within the center region of human AKR7A2. The exact sequence is proprietary.

Localization

Golgi apparatus

Clonality

Polyclonal

Host

Rabbit

Isotype

IgG

Theoretical MW

40 kDa.
Disclaimer note: The observed molecular weight of the protein may vary from the listed predicted molecular weight due to post translational modifications, post translation cleavages, relative charges, and other experimental factors.

Scientific Data Images for AKR7A2 Antibody - BSA Free

Western Blot: AKR7A2 Antibody [NBP1-32828]

Western Blot: AKR7A2 Antibody [NBP1-32828]

Western Blot: AKR7A2 Antibody [NBP1-32828] - Sample (30 ug of whole cell lysate) A: A431 10% SDS PAGE; antibody diluted at 1:1000.
Immunocytochemistry/ Immunofluorescence: AKR7A2 Antibody [NBP1-32828]

Immunocytochemistry/ Immunofluorescence: AKR7A2 Antibody [NBP1-32828]

Immunocytochemistry/Immunofluorescence: AKR7A2 Antibody [NBP1-32828] - Paraformaldehyde-fixed HeLa, using antibody at 1:200 dilution.
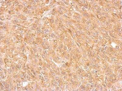
Immunohistochemistry-Paraffin: AKR7A2 Antibody [NBP1-32828]

Immunohistochemistry-Paraffin: AKR7A2 Antibody [NBP1-32828]

Immunohistochemistry-Paraffin: AKR7A2 Antibody [NBP1-32828] - AKR7A2 Antibody detects AKR7A2 protein at cytoplasm on mouse fore brain by immunohistochemical analysis. Sample: Paraffin-embedded mouse fore brain. AKR7A2 Antibody dilution: 1:500.

Applications for AKR7A2 Antibody - BSA Free

Application
Recommended Usage

Immunocytochemistry/ Immunofluorescence

1:100-1:1000

Immunohistochemistry

10 - 1:500

Immunohistochemistry-Paraffin

1:100-1:1000

Western Blot

1:500-1:3000

Formulation, Preparation, and Storage

Purification

Antigen Affinity-purified

Formulation

0.1M Tris, 0.1M Glycine, 10% Glycerol

Format

BSA Free

Preservative

0.01% Thimerosal

Concentration

Concentrations vary lot to lot. See vial label for concentration. If unlisted please contact technical services.

Shipping

The product is shipped with polar packs. Upon receipt, store it immediately at the temperature recommended below.

Stability & Storage

Aliquot and store at -20C or -80C. Avoid freeze-thaw cycles.

Background: AKR7A2

Aldo-keto reductases, such as AKR7A2, are involved in the detoxification of aldehydes and ketones.[supplied by OMIM]

Alternate Names

AFAR1, AFARAFB1-AR1, AFB1 aldehyde reductase 1, AFB1-AR 1, aflatoxin B1 aldehyde reductase member 2, aflatoxin beta1 aldehyde reductase, AKR7, aldo-keto reductase family 7, member A2 (aflatoxin aldehyde reductase), Aldoketoreductase 7, EC 1.1.1.n11, SSA reductase, Succinic semialdehyde reductase

Entrez Gene IDs

8574 (Human)

Gene Symbol

AKR7A2

UniProt

Additional AKR7A2 Products

Product Documents for AKR7A2 Antibody - BSA Free

Certificate of Analysis

To download a Certificate of Analysis, please enter a lot number in the search box below.

Product Specific Notices for AKR7A2 Antibody - BSA Free

This product is for research use only and is not approved for use in humans or in clinical diagnosis. Primary Antibodies are guaranteed for 1 year from date of receipt.

Loading...
Loading...
Loading...
Loading...

⚠ WARNING: This product can expose you to chemicals including mercury, which is known to the State of California to cause reproductive toxicity with developmental effects.  For more information go to www.P65Warnings.ca.gov.