Skip to main content

Airway Trypsin-like Protease/HAT/TMPRSS11D Antibody - BSA Free

Novus Biologicals, part of Bio-Techne | Catalog # NBP1-62546

Novus Biologicals, part of Bio-Techne
Catalog #
Availability
Size / Price
Qty
Loading...
NBP1-62546

Key Product Details

Species Reactivity

Human

Applications

Immunohistochemistry, Immunohistochemistry-Paraffin, Western Blot

Label

Unconjugated

Antibody Source

Polyclonal Rabbit IgG

Format

BSA Free

Concentration

0.5 mg/ml

Product Specifications

Immunogen

Synthetic peptides corresponding to TMPRSS11D(transmembrane protease, serine 11D) The peptide sequence was selected form the middle region of TMPRSS11D. Peptide sequence IHSVCLPAATQNIPPGSTAYVTGWGAQEYAGHTVPELRQGQVRIISNDVC. The peptide sequence for this immunogen was taken from within the described region.

Clonality

Polyclonal

Host

Rabbit

Isotype

IgG

Description

The addition of 50% glycerol is optional for those storing this antibody at -20C and not aliquoting smaller units. However, please note that glycerol may interrupt some downstream antibody applications and should be added with caution.

Scientific Data Images for Airway Trypsin-like Protease/HAT/TMPRSS11D Antibody - BSA Free

Western Blot: Airway Trypsin-like Protease/HAT/TMPRSS11D Antibody [NBP1-62546]

Western Blot: Airway Trypsin-like Protease/HAT/TMPRSS11D Antibody [NBP1-62546]

Western Blot: Airway Trypsin-like Protease/HAT/TMPRSS11D Antibody [NBP1-62546] - 293T Cell Lysate 1ug/ml Gel Concentration 12%
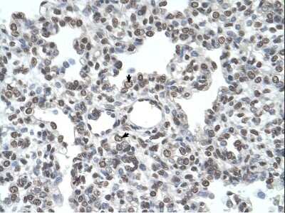
Immunohistochemistry-Paraffin: Airway Trypsin-like Protease/HAT/TMPRSS11D Antibody [NBP1-62546]

Immunohistochemistry-Paraffin: Airway Trypsin-like Protease/HAT/TMPRSS11D Antibody [NBP1-62546]

Immunohistochemistry-Paraffin: Airway Trypsin-like Protease/HAT/TMPRSS11D Antibody [NBP1-62546] - Human Lung Tissue, antibody concentration 4-8 ug/ml. Cells with positive label: Aveolar cells (indicated with arrows) 400X magnification.

Applications for Airway Trypsin-like Protease/HAT/TMPRSS11D Antibody - BSA Free

Application
Recommended Usage

Immunohistochemistry

1:10-1:500

Western Blot

1.0 ug/ml

Formulation, Preparation, and Storage

Purification

Affinity purified

Formulation

PBS, 2% Sucrose

Format

BSA Free

Preservative

0.09% Sodium Azide

Concentration

0.5 mg/ml

Shipping

The product is shipped with polar packs. Upon receipt, store it immediately at the temperature recommended below.

Stability & Storage

Store at 4C short term. Aliquot and store at -20C long term. Avoid freeze-thaw cycles.

Background: Airway Trypsin-like Protease/HAT

TMPRSS11D is a trypsin-like serine protease released from the submucosal serous glands onto mucous membrane. It is a type II integral membrane protein and has 29-38% identity in the sequence of the catalytic region with human hepsin, enteropeptidase, acrosin, and mast cell tryptase. The noncatalytic region has little similarity to other known proteins. This protein may play some biological role in the host defense system on the mucous membrane independently of or in cooperation with other substances in airway mucous or bronchial secretions. This gene encodes a trypsin-like serine protease released from the submucosal serous glands onto mucous membrane. It is a type II integral membrane protein and has 29-38% identity in the sequence of the catalytic region with human hepsin, enteropeptidase, acrosin, and mast cell tryptase. The noncatalytic region has little similarity to other known proteins. This protein may play some biological role in the host defense system on the mucous membrane independently of or in cooperation with other substances in airway mucous or bronchial secretions.

Long Name

Human Airway Trypsin-like Protease

Alternate Names

TMPRSS11D

Gene Symbol

TMPRSS11D

OMIM

NP_004253 (Human)

UniProt

Additional Airway Trypsin-like Protease/HAT Products

Product Documents for Airway Trypsin-like Protease/HAT/TMPRSS11D Antibody - BSA Free

Certificate of Analysis

To download a Certificate of Analysis, please enter a lot number in the search box below.

Product Specific Notices for Airway Trypsin-like Protease/HAT/TMPRSS11D Antibody - BSA Free

This product is for research use only and is not approved for use in humans or in clinical diagnosis. Primary Antibodies are guaranteed for 1 year from date of receipt.

Loading...
Loading...
Loading...
Loading...