AIFM3 Antibody - BSA Free
Novus Biologicals, part of Bio-Techne | Catalog # NBP3-48193
Key Product Details
Species Reactivity
Human, Mouse, Rat
Applications
Immunohistochemistry, Western Blot, ELISA
Label
Unconjugated
Antibody Source
Polyclonal Rabbit IgG
Format
BSA Free
Concentration
Please see the vial label for concentration. If unlisted please contact technical services.
Product Specifications
Immunogen
apoptosis-inducing factor, mitochondrion-associated, 3. (Uniprot# Q96NN9)
Clonality
Polyclonal
Host
Rabbit
Isotype
IgG
Theoretical MW
67 kDa.
Disclaimer note: The observed molecular weight of the protein may vary from the listed predicted molecular weight due to post translational modifications, post translation cleavages, relative charges, and other experimental factors.
Disclaimer note: The observed molecular weight of the protein may vary from the listed predicted molecular weight due to post translational modifications, post translation cleavages, relative charges, and other experimental factors.
Description
Novus Biologicals Rabbit AIFM3 Antibody - BSA Free (NBP3-48193) is a polyclonal antibody validated for use in IHC, WB and ELISA. All Novus Biologicals antibodies are covered by our 100% guarantee.
Scientific Data Images for AIFM3 Antibody - BSA Free
Western Blot: AIFM3 Antibody - BSA Free [NBP3-48193] -
Western Blot: AIFM3 Antibody - BSA Free [NBP3-48193] - THP-1 cells were subjected to SDS PAGE followed by western blot with (AIFM3 antibody) at dilution of 1:1000Immunohistochemistry: AIFM3 Antibody - BSA Free [NBP3-48193] -
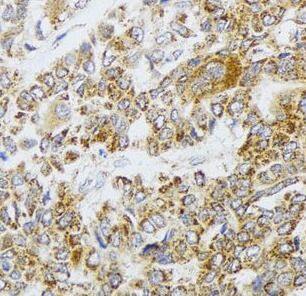
Immunohistochemistry: AIFM3 Antibody - BSA Free [NBP3-48193] - Immunohistochemistry of paraffin-embedded human liver tumor using (AIFM3 antibody) at dilution of 1:100Applications for AIFM3 Antibody - BSA Free
Application
Recommended Usage
Immunohistochemistry
1:50 - 1:200
Western Blot
1:500 - 1:2000
Formulation, Preparation, and Storage
Purification
Immunogen affinity purified
Formulation
PBS, 50% Glycerol, pH (7.3)
Format
BSA Free
Preservative
0.02% Sodium Azide
Concentration
Please see the vial label for concentration. If unlisted please contact technical services.
Shipping
The product is shipped with polar packs. Upon receipt, store it immediately at the temperature recommended below.
Stability & Storage
Store at -20C. Avoid freeze-thaw cycles.
Background: AIFM3
Alternate Names
AIFLFLJ30473, apoptosis-inducing factor 3, apoptosis-inducing factor like, apoptosis-inducing factor, mitochondrion-associated, 3, Apoptosis-inducing factor-like protein, FLJ45137
Gene Symbol
AIFM3
Additional AIFM3 Products
Product Documents for AIFM3 Antibody - BSA Free
Product Specific Notices for AIFM3 Antibody - BSA Free
This product is for research use only and is not approved for use in humans or in clinical diagnosis. Primary Antibodies are guaranteed for 1 year from date of receipt.
Loading...
Loading...
Loading...
Loading...