Skip to main content

AIFM3 Antibody - BSA Free

Novus Biologicals, part of Bio-Techne | Catalog # NBP1-76889

Novus Biologicals, part of Bio-Techne

Key Product Details

Species Reactivity

Validated:

Human, Mouse, Rat

Cited:

Mouse

Applications

Validated:

Immunohistochemistry, Immunohistochemistry-Paraffin, Western Blot, ELISA, Immunocytochemistry/ Immunofluorescence

Cited:

Immunohistochemistry

Label

Unconjugated

Antibody Source

Polyclonal Rabbit IgG

Format

BSA Free

Concentration

1 mg/ml

Product Specifications

Immunogen

Antibody was raised against a 16 amino acid synthetic peptide from near the amino terminus of human AIFM3. The immunogen is located within the first 50 amino acids of AIFM3. Amino Acid Squence: GKGSPRAYQGNGTARH

Clonality

Polyclonal

Host

Rabbit

Isotype

IgG

Description

Novus Biologicals Rabbit AIFM3 Antibody - BSA Free (NBP1-76889) is a polyclonal antibody validated for use in IHC, WB, ELISA and ICC/IF. Anti-AIFM3 Antibody: Cited in 1 publication. All Novus Biologicals antibodies are covered by our 100% guarantee.

Scientific Data Images for AIFM3 Antibody - BSA Free

Western Blot: AIFM3 AntibodyBSA Free [NBP1-76889]

Western Blot: AIFM3 AntibodyBSA Free [NBP1-76889]

Western Blot: AIFM3 Antibody [NBP1-76889] - Human brain tissue lysate with AIFM3 antibody at (A) 0.5 and (B) 1 ug/ml.
AIFM3 Antibody - BSA Free

Immunocytochemistry/ Immunofluorescence: AIFM3 Antibody - BSA Free [NBP1-76889] -

Immunocytochemistry/ Immunofluorescence: AIFM3 Antibody - BSA Free [NBP1-76889] - Immunofluorescence of AIFM3 in human brain tissue with AIFM3 antibody at 20 ug/mL.
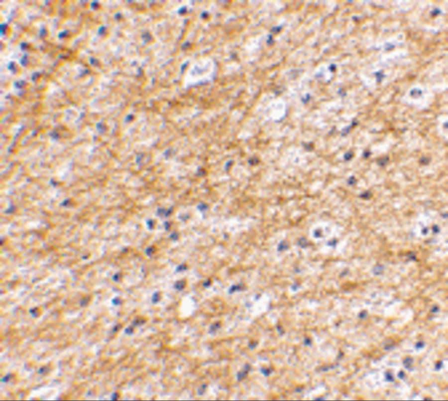
AIFM3 Antibody - BSA Free

Immunohistochemistry: AIFM3 Antibody - BSA Free [NBP1-76889] -

Immunohistochemistry: AIFM3 Antibody - BSA Free [NBP1-76889] - Immunohistochemical staining of human brain tissue using AIFM3 antibody at 2.5 ug/mL.

Applications for AIFM3 Antibody - BSA Free

Application
Recommended Usage

ELISA

1:100-1:2000

Immunocytochemistry/ Immunofluorescence

20 ug/ml

Immunohistochemistry

2.5 ug/ml

Immunohistochemistry-Paraffin

2.5 ug/ml

Western Blot

0.5-1 ug/ml

Formulation, Preparation, and Storage

Purification

Peptide affinity purified

Formulation

PBS

Format

BSA Free

Preservative

0.02% Sodium Azide

Concentration

1 mg/ml

Shipping

The product is shipped with polar packs. Upon receipt, store it immediately at the temperature recommended below.

Stability & Storage

Store at 4C short term. Aliquot and store at -20C long term. Avoid freeze-thaw cycles.

Background: AIFM3

Apoptosis, also known as programmed cell death, plays major roles in development and normal tissue turnover in addition to tumor formation. Recently a protein similar to the apoptosis-inducing factor (AIF) was cloned and designated AIFL (also known as AIFM3). AIFM3 is expressed ubiquitously and is predominantly localized to the inner membranes of mitochondria. Unlike AIF, AIFM3 does not translocate to the nucleus upon induction of apoptosis. However, overexpression of AIFM3, like AIF, induced cytochrome c release from the mitochondria, cleavage of caspase 3, and ultimately apoptosis, indicating AIFM3 induces apoptosis through caspase activation. Multiple isoforms of AIFM3 are known to exist.

Alternate Names

AIFLFLJ30473, apoptosis-inducing factor 3, apoptosis-inducing factor like, apoptosis-inducing factor, mitochondrion-associated, 3, Apoptosis-inducing factor-like protein, FLJ45137

Gene Symbol

AIFM3

UniProt

Additional AIFM3 Products

Product Documents for AIFM3 Antibody - BSA Free

Certificate of Analysis

To download a Certificate of Analysis, please enter a lot number in the search box below.

Product Specific Notices for AIFM3 Antibody - BSA Free

This product is for research use only and is not approved for use in humans or in clinical diagnosis. Primary Antibodies are guaranteed for 1 year from date of receipt.

Loading...
Loading...
Loading...
Loading...