Skip to main content

AIF Antibody - BSA Free

Novus Biologicals, part of Bio-Techne | Catalog # NBP2-27177

Novus Biologicals, part of Bio-Techne
Catalog #
Availability
Size / Price
Qty
Loading...
NBP2-27177SS
NBP2-27177

Key Product Details

Validated by

Knockout/Knockdown

Species Reactivity

Human, Mouse, Rat, Bovine, Canine

Applications

Knockout Validated, Immunohistochemistry, Immunohistochemistry-Paraffin, Immunohistochemistry-Frozen, Western Blot, Simple Western, Immunoprecipitation

Label

Unconjugated

Antibody Source

Polyclonal Rabbit IgG

Format

BSA Free

Concentration

This product is unpurified. The exact concentration of antibody is not quantifiable.

Product Specifications

Immunogen

(aa 151-170); human

Clonality

Polyclonal

Host

Rabbit

Isotype

IgG

Scientific Data Images for AIF Antibody - BSA Free

Knockout Validated: AIF Antibody [NBP2-27177]

Western Blot: AIF Antibody [NBP2-27177]

Western Blot: AIF Antibody [NBP2-27177] - Western blot shows lysates of HEK293T human embryonic kidney parental cell line and AIF knockout (KO) HEK293T cell line. PVDF membrane was probed with 1:1000 of Rabbit Anti-Human AIF Polyclonal Antibody (Catalog # NBP2-27177) followed by HRP-conjugated Anti-Rabbit IgG Secondary Antibody (Catalog #HAF008). Specific band was detected for HDAC1 at approximately 68 kDa (as indicated) in the parental HEK293T cell line, but is not detectable in the knockout HEK293T cell line. This experiment was conducted under reducing conditions.
Western Blot: AIF Antibody [NBP2-27177]

Western Blot: AIF Antibody [NBP2-27177]

Western Blot: AIF Antibody [NBP2-27177] - Analysis of AIF in human colon using this antibody. Lane 1, normal colon. Lanes 2-7, colon carcinoma tissue lysatesfrom 6 different patients. mAIF, thought to represent mitochondrial AIF.
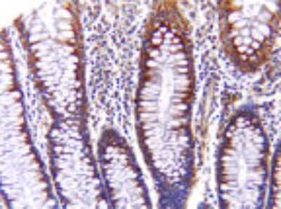
Immunohistochemistry-Paraffin: AIF Antibody [NBP2-27177]

Immunohistochemistry-Paraffin: AIF Antibody [NBP2-27177]

Immunohistochemistry-Paraffin: AIF Antibody [NBP2-27177] - Staining of AIF in formalin-fixed, paraffin-embedded normal human colon using this antibody at 1:2000. Hematoxylin-eosin counterstain. In this example, AIF expression is predominant in the upper part of the crypt.

Applications for AIF Antibody - BSA Free

Application
Recommended Usage

Immunohistochemistry-Frozen

1:1000-1:5000

Immunohistochemistry-Paraffin

1:1000-1:5000~

Immunoprecipitation

1:50-1:200

Simple Western

1:500

Western Blot

1:1000-1:2000~
Application Notes
In Simple Western only 10 - 15 uL of the recommended dilution is used per data point.
See Simple Western Antibody Database for Simple Western validation: Tested in Jurkat and MCF-7 lysate 0.2 mg/mL, separated by Size, antibody dilution of 1:500

Formulation, Preparation, and Storage

Purification

Unpurified

Formulation

Whole antisera

Format

BSA Free

Preservative

0.05% Sodium Azide

Concentration

This product is unpurified. The exact concentration of antibody is not quantifiable.

Shipping

The product is shipped with polar packs. Upon receipt, store it immediately at the temperature recommended below.

Stability & Storage

Store at 4C short term. Aliquot and store at -20C long term. Avoid freeze-thaw cycles.

Background: AIF

AIF (apoptosis-inducing factor) was initially discovered as a protein involved in caspase-independent cell death. It is now known that AIF has both vital and lethal functions (reviewed in Modjtahedi et al, 2006). In healthy cells, AIF is a flavoprotein present in the mitochondria where it has vital roles in cellular redox metabolism and mitochondrial bioenergetics. In many models of apoptosis, AIF is released from the mitochondria during mitochondrial outer membrane permeabilization along with other mitochondrial proteins. Upon release, AIF translocates first to the cytosol and then to the nucleus where it induces chromatin condensation and DNA degradation. Although several lines of evidence suggest that AIF is a main mediator of capsase-independent cell death, the mechanisms regulating AIF pro-apoptotic function remain to be fully elucidatied and may depend on the cell type and type of apoptotic stimuli. Human AIF is transcribed from a nuclear gene located on the X chromosome and translated in the cytoplasm to a precursor protein of 613 amino acids (aa) which corresponds to ~67 kDa. The precursor protein is imported into the mitochonria by mitochondrial localization sequences located within the N-terminal prodomain of AIF. Once inside the mitochondria, the prodomain is cleaved giving rise to a mature AIF form of ~57 kDa. AIF isoforms generated from a single AIF gene have been identified, including AIF short isoform 2 (324 aa protein; GenBank no. AAY84739.1) and AIF short isoform 3 (237 aa protein; GenBank noAAY84741.1 (reviewed in Delttre et al, 2006). The generation of multiple isoforms from a common gene is an evolutionary mechanism that increases protein diversiity in eukaryotes. Regulating gene expression through the production of multiple isoforms from a single gene is thought to play a major role in the control of apoptosis and other forms of programmed cell death. It recognizes AIF and AIF isoforms containing the peptide immunogen sequence, RARDPGARVLIVSEDPELP.

Long Name

Apoptosis Inducing Factor

Alternate Names

AIFM1, COXPD6, PDCD8

Gene Symbol

AIFM1

UniProt

Additional AIF Products

Product Documents for AIF Antibody - BSA Free

Certificate of Analysis

To download a Certificate of Analysis, please enter a lot number in the search box below.

Product Specific Notices for AIF Antibody - BSA Free

This product is for research use only and is not approved for use in humans or in clinical diagnosis. Primary Antibodies are guaranteed for 1 year from date of receipt.

Loading...
Loading...
Loading...
Loading...