Skip to main content

AGTRAP Antibody - BSA Free

Novus Biologicals, part of Bio-Techne | Catalog # NBP1-91654

Novus Biologicals, part of Bio-Techne
Catalog #
Availability
Size / Price
Qty
Loading...
NBP1-91654
NBP1-91654-25ul

Key Product Details

Species Reactivity

Human

Applications

Immunohistochemistry, Immunohistochemistry-Paraffin, Immunocytochemistry/ Immunofluorescence

Label

Unconjugated

Antibody Source

Polyclonal Rabbit IgG

Format

BSA Free

Concentration

Concentrations vary lot to lot. See vial label for concentration. If unlisted please contact technical services.

Product Specifications

Immunogen

This antibody was developed against Recombinant Protein corresponding to amino acids: YHMYRERGGELLVHTGFLGSSQDRSAYQTIDSAEAPADPFAVPEGRSQDARGY

Clonality

Polyclonal

Host

Rabbit

Isotype

IgG

Scientific Data Images for AGTRAP Antibody - BSA Free

Immunocytochemistry/ Immunofluorescence: AGTRAP Antibody [NBP1-91654]

Immunocytochemistry/ Immunofluorescence: AGTRAP Antibody [NBP1-91654]

Immunocytochemistry/Immunofluorescence: AGTRAP Antibody [NBP1-91654] - Staining of human cell line A-431 shows positivity in vesicles.
Immunohistochemistry-Paraffin: AGTRAP Antibody [NBP1-91654]

Immunohistochemistry-Paraffin: AGTRAP Antibody [NBP1-91654]

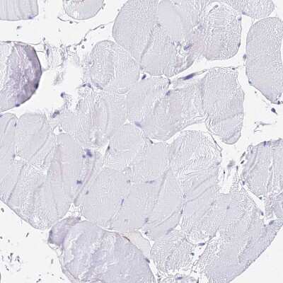
Immunohistochemistry-Paraffin: AGTRAP Antibody [NBP1-91654] - Staining of human Skeletal muscle shows no positivity in myocytes as expected.
Immunohistochemistry-Paraffin: AGTRAP Antibody [NBP1-91654]

Immunohistochemistry-Paraffin: AGTRAP Antibody [NBP1-91654]

Immunohistochemistry-Paraffin: AGTRAP Antibody [NBP1-91654] - Staining of human kidney shows strong cytoplasmic positivity in renal tubules.

Applications for AGTRAP Antibody - BSA Free

Application
Recommended Usage

Immunocytochemistry/ Immunofluorescence

0.25-2 ug/ml

Immunohistochemistry

1:500-1:1000

Immunohistochemistry-Paraffin

1:500-1:1000
Application Notes
For IHC-Paraffin, HIER pH 6 retrieval method is recommended. Immunocytochemistry/Immunofluorescence Fixation Permeabilization: Use PFA/Triton X-100.

Formulation, Preparation, and Storage

Purification

Affinity purified

Formulation

PBS (pH 7.2) and 40% Glycerol

Format

BSA Free

Preservative

0.02% Sodium Azide

Concentration

Concentrations vary lot to lot. See vial label for concentration. If unlisted please contact technical services.

Shipping

The product is shipped with polar packs. Upon receipt, store it immediately at the temperature recommended below.

Stability & Storage

Store at 4C short term. Aliquot and store at -20C long term. Avoid freeze-thaw cycles.

Background: AGTRAP

AGTRAP encodes a transmembrane protein localized to the plasma membrane and perinuclear vesicular structures. The gene product interacts with the angiotensin II type I receptor and negatively regulates angiotensin II signaling. Alternative splicing of this gene generates multiple transcript variants encoding different isoforms.

Alternate Names

angiotensin II receptor-associated protein, AT1 receptor-associated protein, ATI receptor-associated protein, MGC29646, type I receptor-associated protein, type-1 angiotensin II receptor-associated protein

Entrez Gene IDs

57085 (Human)

Gene Symbol

AGTRAP

UniProt

Additional AGTRAP Products

Product Documents for AGTRAP Antibody - BSA Free

Certificate of Analysis

To download a Certificate of Analysis, please enter a lot number in the search box below.

Product Specific Notices for AGTRAP Antibody - BSA Free

This product is for research use only and is not approved for use in humans or in clinical diagnosis. Primary Antibodies are guaranteed for 1 year from date of receipt.

Loading...
Loading...
Loading...
Loading...