Skip to main content

AGPAT6 Antibody - BSA Free

Novus Biologicals, part of Bio-Techne | Catalog # NBP3-48199

Novus Biologicals, part of Bio-Techne
Catalog #
Availability
Size / Price
Qty
Loading...
NBP3-48199

Key Product Details

Species Reactivity

Human, Mouse, Rat

Applications

Immunohistochemistry, Western Blot, ELISA, Immunoprecipitation

Label

Unconjugated

Antibody Source

Polyclonal Rabbit IgG

Format

BSA Free

Concentration

Please see the vial label for concentration. If unlisted please contact technical services.

Product Specifications

Immunogen

1-acylglycerol-3-phosphate O-acyltransferase 6(lysophosphatidic acid acyltransferase, zeta). (Uniprot# Q86UL3)

Clonality

Polyclonal

Host

Rabbit

Isotype

IgG

Description

Novus Biologicals Rabbit AGPAT6 Antibody - BSA Free (NBP3-48199) is a polyclonal antibody validated for use in IHC, WB, ELISA and IP. All Novus Biologicals antibodies are covered by our 100% guarantee.

Scientific Data Images for AGPAT6 Antibody - BSA Free

AGPAT6 Antibody - BSA Free

Immunoprecipitation: AGPAT6 Antibody - BSA Free [NBP3-48199] -

Immunoprecipitation: AGPAT6 Antibody - BSA Free [NBP3-48199] - IP Result of anti-AGPAT6 (IP:, 4ug; Detection: 1:1000) with mouse brain tissue lysate 2640ug.
AGPAT6 Antibody - BSA Free

Western Blot: AGPAT6 Antibody - BSA Free [NBP3-48199] -

Western Blot: AGPAT6 Antibody - BSA Free [NBP3-48199] - Mouse testis tissue were subjected to SDS PAGE followed by western blot with (AGPAT6 antibody) at dilution of 1:400
AGPAT6 Antibody - BSA Free

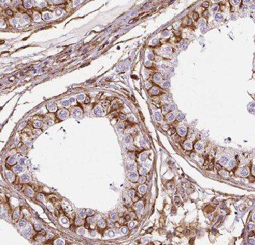
Immunohistochemistry: AGPAT6 Antibody - BSA Free [NBP3-48199] -

Immunohistochemistry: AGPAT6 Antibody - BSA Free [NBP3-48199] - Immunohistochemistry of paraffin-embedded human testis using (AGPAT6 antibody) at dilution of 1:100

Applications for AGPAT6 Antibody - BSA Free

Application
Recommended Usage

Immunohistochemistry

1:20-1:200

Immunoprecipitation

1:500-1:5000

Western Blot

1:500-1:5000
Application Notes
Theoretical Molecular Weight is 48-50 kDa

Formulation, Preparation, and Storage

Purification

Immunogen affinity purified

Formulation

PBS, 50% Glycerol, pH (7.3)

Format

BSA Free

Preservative

0.02% Sodium Azide

Concentration

Please see the vial label for concentration. If unlisted please contact technical services.

Shipping

The product is shipped with polar packs. Upon receipt, store it immediately at the temperature recommended below.

Stability & Storage

Store at -20C. Avoid freeze-thaw cycles.

Background: AGPAT6

Glycerol-3-phosphate acyltransferase 4 (GPAT4), also known as AGPAT6, is a novel glycerolipid acyltransferase of the ER, which is crucial for the production of milk fat by the mammary gland.

Agpat6 deficiency leads to a reduction in body weight and resistance to both diet-induced and genetically induced obesity. This reduced body weight is associated with increased energy expenditure, reduced triglyceride accumulation in BAT and WAT, reduced white adipocyte size, and lack of adipose tissue in the subdermal region. AGPAT6 fills a unique role in determining triglyceride content and composition in adipose tissue and liver that cannot be compensated by other members of the Agpat family.

Alternate Names

1-acylglycerol-3-phosphate O-acyltransferase 6 (lysophosphatidic acidacyltransferase, zeta), Acyl-CoA:glycerol-3-phosphate acyltransferase 4, DKFZp586M1819,1-acyl-sn-glycerol-3-phosphate acyltransferase zeta, EC 2.3.1.15, glycerol-3-phosphate acyltransferase 4,1-AGP acyltransferase 6, glycerol-3-phosphate acyltransferase 6,1-AGPAT 6, GPAT4,1-acylglycerol-3-phosphate O-acyltransferase 6, LPAAT-zetaLPAATZ, Lysophosphatidic acid acyltransferase zeta, testis spermatogenesis apoptosis-related protein 7, TSARG7

Gene Symbol

AGPAT6

Additional AGPAT6 Products

Product Documents for AGPAT6 Antibody - BSA Free

Certificate of Analysis

To download a Certificate of Analysis, please enter a lot number in the search box below.

Product Specific Notices for AGPAT6 Antibody - BSA Free

This product is for research use only and is not approved for use in humans or in clinical diagnosis. Primary Antibodies are guaranteed for 1 year from date of receipt.

Loading...
Loading...
Loading...
Loading...