Skip to main content

Afadin/AF-6 Antibody - BSA Free

Novus Biologicals, part of Bio-Techne | Catalog # NBP1-90219

Novus Biologicals, part of Bio-Techne
Catalog #
Availability
Size / Price
Qty
Loading...
NBP1-90219
NBP1-90219-25ul

Key Product Details

Species Reactivity

Human

Applications

Immunohistochemistry, Immunohistochemistry-Paraffin, Immunocytochemistry/ Immunofluorescence

Label

Unconjugated

Antibody Source

Polyclonal Rabbit IgG

Format

BSA Free

Concentration

Concentrations vary lot to lot. See vial label for concentration. If unlisted please contact technical services.

Product Specifications

Immunogen

This antibody was developed against Recombinant Protein corresponding to amino acids: ASHVFKFVDPSQDHALAKRSVDGGLMVKGPRHKPGIVQETTFDLGGDIHSGTALPTSKSTTRLDSDRVSSASSTAERGMVKPMIRVEQQPDYRRQESRTQD

Reactivity Notes

Immunogen displays the following percentage of sequence identity for non-tested species: Mouse (84%), Rat (87%).

Clonality

Polyclonal

Host

Rabbit

Isotype

IgG

Description

Novus Biologicals Rabbit Afadin/AF-6 Antibody - BSA Free (NBP1-90219) is a polyclonal antibody validated for use in IHC and ICC/IF. Anti-Afadin/AF-6 Antibody: Cited in 1 publication. All Novus Biologicals antibodies are covered by our 100% guarantee.

Scientific Data Images for Afadin/AF-6 Antibody - BSA Free

Immunocytochemistry/ Immunofluorescence: Afadin/AF-6 Antibody [NBP1-90219]

Immunocytochemistry/ Immunofluorescence: Afadin/AF-6 Antibody [NBP1-90219]

Immunocytochemistry/Immunofluorescence: Afadin/AF-6 Antibody [NBP1-90219] - Immunofluorescent staining of human cell line A-431 shows localization to nucleoplasm, plasma membrane & cell junctions.
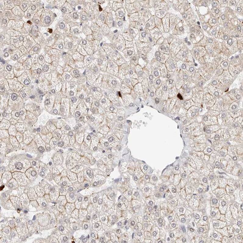
Afadin/AF-6 Antibody - BSA Free Immunohistochemistry: Afadin/AF-6 Antibody - BSA Free [NBP1-90219]

Immunohistochemistry: Afadin/AF-6 Antibody - BSA Free [NBP1-90219]

Staining of human liver shows moderate membranous positivity in hepatocytes.
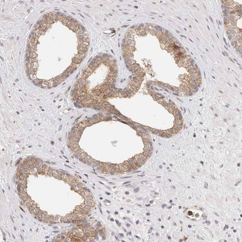
Afadin/AF-6 Antibody - BSA Free Immunohistochemistry: Afadin/AF-6 Antibody - BSA Free [NBP1-90219]

Immunohistochemistry: Afadin/AF-6 Antibody - BSA Free [NBP1-90219]

Staining of human prostate shows moderate membranous positivity in glandular cells.

Applications for Afadin/AF-6 Antibody - BSA Free

Application
Recommended Usage

Immunocytochemistry/ Immunofluorescence

0.25-2 ug/ml

Immunohistochemistry

1:200 - 1:500

Immunohistochemistry-Paraffin

1:200 - 1:500
Application Notes
For IHC-Paraffin, HIER pH 6 retrieval is recommended. ICC/IF,Fixation Permeabilization: Use PFA/Triton X-100.

Formulation, Preparation, and Storage

Purification

Affinity purified

Formulation

PBS (pH 7.2) and 40% Glycerol

Format

BSA Free

Preservative

0.02% Sodium Azide

Concentration

Concentrations vary lot to lot. See vial label for concentration. If unlisted please contact technical services.

Shipping

The product is shipped with polar packs. Upon receipt, store it immediately at the temperature recommended below.

Stability & Storage

Store at 4C short term. Aliquot and store at -20C long term. Avoid freeze-thaw cycles.

Background: Afadin/AF-6

AF6/Afadin was identified as part of a fusion with MLL (mixed lineage leukemia) in a t(6;11) genetic translocation. AF6/Afadin is also known as afadin (a splicing variant of AF6/Afadin found at adherins junction). AF6/afadin is an actin filament binding protein that binds to nectin at cadherin-based cell-cell adherens junctions and regulates cell-cell adhesion by mediating Ras signaling.

Alternate Names

AF-6, AF6, AFAD, MLLT4

Entrez Gene IDs

4301 (Human)

Gene Symbol

AFDN

UniProt

Additional Afadin/AF-6 Products

Product Documents for Afadin/AF-6 Antibody - BSA Free

Certificate of Analysis

To download a Certificate of Analysis, please enter a lot number in the search box below.

Product Specific Notices for Afadin/AF-6 Antibody - BSA Free

This product is for research use only and is not approved for use in humans or in clinical diagnosis. Primary Antibodies are guaranteed for 1 year from date of receipt.

Loading...
Loading...
Loading...
Loading...