Skip to main content

ACTH Antibody (rCLIP/1407) - Azide and BSA Free

Novus Biologicals, part of Bio-Techne | Catalog # NBP3-08617

Recombinant Monoclonal Antibody
Novus Biologicals, part of Bio-Techne

Key Product Details

Species Reactivity

Human, Mouse, Rat

Applications

Immunohistochemistry-Paraffin

Label

Unconjugated

Antibody Source

Monoclonal Mouse IgG1 kappa Clone # rCLIP/1407

Format

Azide and BSA Free

Concentration

1 mg/ml

Product Specifications

Immunogen

Synthetic peptide corresponding to (aa 162-176) of human ACTH (NGAEDESAEAFPLEF) (Uniprot: P01189 )

Epitope

aa1-24

Reactivity Notes

Expected to show broad species reactivity.

Localization

Cytoplasmic

Specificity

ACTH (same as Corticotropin) is a 39 amino acid active peptide produced by the anterior pituitary. This monoclonal antibody is specific to Synacthen (aa1-24 of ACTH); does not react with CLIP (aa17-39 of ACTH). POMC (pro-opiomelanocortin or corticotropin-lipotropin) is a 267 amino acid polypeptide hormone precursor that goes through extensive, tissue-specific posttranslational processing by convertases. POMC is cleaved into ten hormone chains named NPP, ACTH, alpha-MSH (Melanocyte Stimulating Hormone), beta-MSH, gamma-MSH, CLIP (corticotropin-like intermediary peptide), Lipotropin-beta, Lipotropin-gamma, beta-endorphin and Met-enkephalin. ACTH is also produced by cells of immune system (T-cells, B-cells, and macrophages) in response to stimuli associated with stress. Anti-ACTH is a useful marker in classification of pituitary tumors and the study of pituitary disease. It reacts with ACTH-producing cells (corticotrophs).It also may react with other tumors (e.g. some small cell carcinomas of the lung) causing paraneoplastic syndromes by secreting ACTH.

Marker

Pituitary Marker

Clonality

Monoclonal

Host

Mouse

Isotype

IgG1 kappa

Description

1.0 mg/ml of antibody purified from Bioreactor Concentrate by Protein A/G. Prepared in 10mM PBS WITHOUT BSA & azide. Also available at 200 ug/ml WITH BSA & azide (NBP3-07626).

Antibody with azide - store at 2 to 8C. Antibody without azide - store at -20 to -80 C.

Scientific Data Images for ACTH Antibody (rCLIP/1407) - Azide and BSA Free

Immunohistochemistry-Paraffin: ACTH Antibody (rCLIP/1407) - Azide and BSA Free [NBP3-08617]

Immunohistochemistry-Paraffin: ACTH Antibody (rCLIP/1407) - Azide and BSA Free [NBP3-08617]

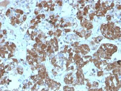
Immunohistochemistry-Paraffin: ACTH Antibody (rCLIP/1407) - Azide and BSA Free [NBP3-08617] - Formalin-fixed, paraffin-embedded human pituitary stained with ACTH Mouse Recombinant Monoclonal Antibody (rCLIP/1407).
Immunohistochemistry-Paraffin: ACTH Antibody (rCLIP/1407) - Azide and BSA Free [NBP3-08617]

Immunohistochemistry-Paraffin: ACTH Antibody (rCLIP/1407) - Azide and BSA Free [NBP3-08617]

Immunohistochemistry-Paraffin: ACTH Antibody (rCLIP/1407) - Azide and BSA Free [NBP3-08617] - Formalin-fixed, paraffin-embedded human pituitary stained with ACTH Mouse Recombinant Monoclonal Antibody (rCLIP/1407).

Applications for ACTH Antibody (rCLIP/1407) - Azide and BSA Free

Application
Recommended Usage

Immunohistochemistry-Paraffin

1-2 ug/ml
Application Notes
Immunohistochemistry Formalin-fixed: 1-2ug/ml for 30 minutes at RT. Staining of formalin-fixed tissues requires heating tissue sections in 10mM Tris with 1mM EDTA, pH 9.0, for 45 min at 95C followed by cooling at RT for 20 minutes. Optimal dilution for a specific application should be determined.

Formulation, Preparation, and Storage

Purification

Protein A or G purified

Formulation

10 mM PBS

Format

Azide and BSA Free

Preservative

No Preservative

Concentration

1 mg/ml

Shipping

The product is shipped with polar packs. Upon receipt, store it immediately at the temperature recommended below.

Stability & Storage

Store at -20 to -80C. Avoid freeze-thaw cycles.

Background: ACTH

ACTH occurs in cells of the anterior pituitary and in neurons in brain. It regulates the corticosteroid production in the adrenal cortex. Beta endorphin and Met enkephalin are endogenous opiates. MSH (melanocyte stimulating hormone) increases the pigmentation of skin by increasing melanin production in melanocytes.

Long Name

Adrenocorticotropic Hormone

Alternate Names

Adrenocorticotropin, Corticotropin

Gene Symbol

POMC

Additional ACTH Products

Product Documents for ACTH Antibody (rCLIP/1407) - Azide and BSA Free

Certificate of Analysis

To download a Certificate of Analysis, please enter a lot number in the search box below.

Product Specific Notices for ACTH Antibody (rCLIP/1407) - Azide and BSA Free

This product is for research use only and is not approved for use in humans or in clinical diagnosis. Primary Antibodies are guaranteed for 1 year from date of receipt.

Loading...
Loading...
Loading...
Loading...