Skip to main content

ACOT11 Antibody (J4B2) - BSA Free

Novus Biologicals, part of Bio-Techne | Catalog # NBP1-04289

Novus Biologicals, part of Bio-Techne

Key Product Details

Species Reactivity

Human

Applications

Immunohistochemistry, Immunohistochemistry-Paraffin, Western Blot, ELISA

Label

Unconjugated

Antibody Source

Monoclonal Mouse IgG2b Kappa Clone # J4B2

Format

BSA Free

Concentration

1.0 mg/ml

Product Specifications

Immunogen

Recombinant human ACOT11 (19-250aa) purified from E. coli

Clonality

Monoclonal

Host

Mouse

Isotype

IgG2b Kappa

Description

Novus Biologicals Mouse ACOT11 Antibody (J4B2) - BSA Free (NBP1-04289) is a monoclonal antibody validated for use in IHC, WB and ELISA. All Novus Biologicals antibodies are covered by our 100% guarantee.

Scientific Data Images for ACOT11 Antibody (J4B2) - BSA Free

Western Blot: ACOT11 Antibody (J4B2)BSA Free [NBP1-04289]

Western Blot: ACOT11 Antibody (J4B2)BSA Free [NBP1-04289]

Western Blot: ACOT11 Antibody (J4B2) [NBP1-04289] - Cell lysates of LNcap, Hep3B (30ug) were resolved by SDS-PAGE, transferred to NC membrane and probed with anti-human ACOT11 (1:1000). Proteins were visualized using a goat anti-mouse secondary antibody conjugated to HRP and an ECL detection system
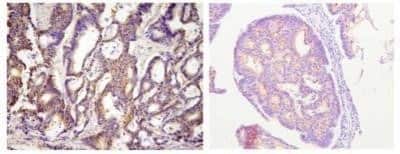
Immunohistochemistry-Paraffin: ACOT11 Antibody (J4B2) - BSA Free [NBP1-04289]

Immunohistochemistry-Paraffin: ACOT11 Antibody (J4B2) - BSA Free [NBP1-04289]

Immunohistochemistry-Paraffin: ACOT11 Antibody (J4B2) [NBP1-04289] - human ACOT11 (1:100) for 2 hours at room temperature. Antigen retrieval was performed in 0.1M sodium citrate buffer and detected using Diaminobenzidine (DAB).

Applications for ACOT11 Antibody (J4B2) - BSA Free

Application
Recommended Usage

ELISA

1:100-1:2000

Immunohistochemistry

1:10-1:500

Immunohistochemistry-Paraffin

1:100

Western Blot

1:500-1000

Formulation, Preparation, and Storage

Purification

Protein G purified

Formulation

PBS (pH 7.4), 10% Glycerol

Format

BSA Free

Preservative

0.02% Sodium Azide

Concentration

1.0 mg/ml

Shipping

The product is shipped with polar packs. Upon receipt, store it immediately at the temperature recommended below.

Stability & Storage

Store at 4C short term. Aliquot and store at -20C long term. Avoid freeze-thaw cycles.

Background: ACOT11

ACOT11 (Acyl-CoA thioesterase11), also known as BFIT, is a protein with acyl-CoA thioesterase activity towards medium (C12) and long-chain (C18) fatty acyl-CoA substrates. Expression of this protein in mouse has been associated with obesity and alternative splicing results in two transcript variants encoding different isoforms.

Alternate Names

Acyl-CoA thioester hydrolase 11, acyl-CoA thioesterase 11BFIT1, Adipose-associated thioesterase, BFIT2, BFITDKFZp667O1916, Brown fat-inducible thioesterase, EC 3.1.2.-, EC 3.1.2.1, KIAA0707acyl-coenzyme A thioesterase 11, STARD14, START domain containing 14, THEAStAR-related lipid transfer (START) domain containing 14, THEM1, thioesterase superfamily member 1, thioesterase, adipose associated

Gene Symbol

ACOT11

Additional ACOT11 Products

Product Documents for ACOT11 Antibody (J4B2) - BSA Free

Certificate of Analysis

To download a Certificate of Analysis, please enter a lot number in the search box below.

Product Specific Notices for ACOT11 Antibody (J4B2) - BSA Free

This product is for research use only and is not approved for use in humans or in clinical diagnosis. Primary Antibodies are guaranteed for 1 year from date of receipt.

Loading...
Loading...
Loading...
Loading...