Skip to main content

ACE/CD143 Antibody (ACE/3763) - Azide and BSA Free

Novus Biologicals, part of Bio-Techne | Catalog # NBP3-08558

Novus Biologicals, part of Bio-Techne

Key Product Details

Species Reactivity

Human

Applications

Immunohistochemistry-Paraffin, Western Blot, ELISA

Label

Unconjugated

Antibody Source

Monoclonal Mouse IgG2c Kappa Clone # ACE/3763

Format

Azide and BSA Free

Concentration

1 mg/ml

Product Specifications

Immunogen

Recombinant fragment (around aa 652-788) of human ACE/CD143 protein (Uniprot: P12821)

Localization

Cell Surface

Clonality

Monoclonal

Host

Mouse

Isotype

IgG2c Kappa

Theoretical MW

150 kDa.
Disclaimer note: The observed molecular weight of the protein may vary from the listed predicted molecular weight due to post translational modifications, post translation cleavages, relative charges, and other experimental factors.

Description

1.0 mg/ml of antibody purified from Bioreactor Concentrate by Protein A/G. Prepared in 10mM PBS WITHOUT BSA & azide. Also available at 200 ug/ml WITH BSA & azide (NBP3-07608).

Antibody with azide - store at 2 to 8C. Antibody without azide - store at -20 to -80C.

Scientific Data Images for ACE/CD143 Antibody (ACE/3763) - Azide and BSA Free

Western Blot: ACE/CD143 Antibody (ACE/3763)Azide and BSA Free [NBP3-08558]

Western Blot: ACE/CD143 Antibody (ACE/3763)Azide and BSA Free [NBP3-08558]

Western Blot: ACE/CD143 Antibody (ACE/3763) - Azide and BSA Free [NBP3-08558] - Western Blot Analysis of human Kidney tissue lysate using ACE/CD143 Mouse Monoclonal Antibody (ACE/3763).
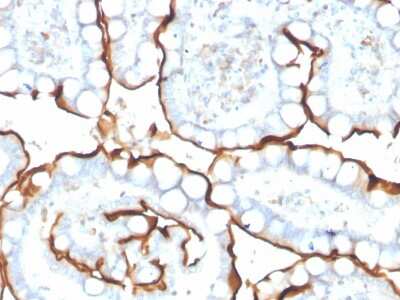
Immunohistochemistry-Paraffin: ACE/CD143 Antibody (ACE/3763) - Azide and BSA Free [NBP3-08558]

Immunohistochemistry-Paraffin: ACE/CD143 Antibody (ACE/3763) - Azide and BSA Free [NBP3-08558]

Immunohistochemistry-Paraffin: ACE/CD143 Antibody (ACE/3763) - Azide and BSA Free [NBP3-08558] - Formalin-fixed, paraffin-embedded human small intestine stained with ACE/CD143 Mouse Monoclonal Antibody (ACE/3763).
Immunohistochemistry-Paraffin: ACE/CD143 Antibody (ACE/3763) - Azide and BSA Free [NBP3-08558]

Immunohistochemistry-Paraffin: ACE/CD143 Antibody (ACE/3763) - Azide and BSA Free [NBP3-08558]

Immunohistochemistry-Paraffin: ACE/CD143 Antibody (ACE/3763) - Azide and BSA Free [NBP3-08558] - Formalin-fixed, paraffin-embedded human small intestine stained with ACE/CD143 Mouse Monoclonal Antibody (ACE/3763).

Applications for ACE/CD143 Antibody (ACE/3763) - Azide and BSA Free

Application
Recommended Usage

Immunohistochemistry-Paraffin

1-2 ug/ml

Western Blot

1-2 ug/ml
Application Notes
ELISA: For coating, order antibody without BSA

Formulation, Preparation, and Storage

Purification

Protein A or G purified

Formulation

10 mM PBS

Format

Azide and BSA Free

Preservative

No Preservative

Concentration

1 mg/ml

Shipping

The product is shipped with polar packs. Upon receipt, store it immediately at the temperature recommended below.

Stability & Storage

Store at -20 to -80C. Avoid freeze-thaw cycles.

Background: ACE/CD143

ACE converts angiotensin I to angiotensin II by release of the terminal His-Leu, this results in an increase of the vasoconstrictor activity of angiotensin. Also able to inactivate bradykinin, a potent vasodilatator. ACE exists in two forms, a 170KD somatic form and a 90KD germinal form. The somatic form is expressed by endothelial cells (especially those of lung capillaries and arterioles), epithelial cells (especially in proximal renal tubules and small intestine), by some neuronal cells and variably by some macrophages and T lymphocytes. The germinal form is expressed by spermatozoa.

Long Name

Angiotensin I Converting Enzyme

Alternate Names

CD143, DCP1, Kininase II

Gene Symbol

ACE

Additional ACE/CD143 Products

Product Documents for ACE/CD143 Antibody (ACE/3763) - Azide and BSA Free

Certificate of Analysis

To download a Certificate of Analysis, please enter a lot number in the search box below.

Product Specific Notices for ACE/CD143 Antibody (ACE/3763) - Azide and BSA Free

This product is for research use only and is not approved for use in humans or in clinical diagnosis. Primary Antibodies are guaranteed for 1 year from date of receipt.

Loading...
Loading...
Loading...
Loading...