Skip to main content

ACE/CD143 Antibody (ACE/3763)

Novus Biologicals, part of Bio-Techne | Catalog # NBP3-07608

Novus Biologicals, part of Bio-Techne
Catalog #
Availability
Size / Price
Qty
Loading...
NBP3-07608-100ug
NBP3-07608-20ug
Conjugate
Catalog #

Key Product Details

Species Reactivity

Human

Applications

Immunohistochemistry-Paraffin, Western Blot, ELISA

Label

Unconjugated

Antibody Source

Monoclonal Mouse IgG2c Kappa Clone # ACE/3763

Concentration

0.2 mg/ml

Product Specifications

Immunogen

Recombinant fragment (around aa 652-788) of human ACE/CD143 protein (Uniprot: P12821)

Localization

Cell Surface

Clonality

Monoclonal

Host

Mouse

Isotype

IgG2c Kappa

Theoretical MW

150 kDa.
Disclaimer note: The observed molecular weight of the protein may vary from the listed predicted molecular weight due to post translational modifications, post translation cleavages, relative charges, and other experimental factors.

Description

200ug/ml of antibody purified from Bioreactor Concentrate by Protein A or G. Prepared in 10 mM PBS with 0.05% BSA & 0.05% azide. Also available WITHOUT BSA & azide at 1.0 mg/ml. (NBP3-08558)

Antibody with azide - store at 2 to 8C. Antibody without azide - store at -20 to -80C.

Scientific Data Images for ACE/CD143 Antibody (ACE/3763)

Western Blot: ACE/CD143 Antibody (ACE/3763) [NBP3-07608]

Western Blot: ACE/CD143 Antibody (ACE/3763) [NBP3-07608]

Western Blot: ACE/CD143 Antibody (ACE/3763) [NBP3-07608] - Western Blot Analysis of human Kidney tissue lysate using ACE/CD143 Mouse Monoclonal Antibody (ACE/3763).
Immunohistochemistry-Paraffin: ACE/CD143 Antibody (ACE/3763) [NBP3-07608]

Immunohistochemistry-Paraffin: ACE/CD143 Antibody (ACE/3763) [NBP3-07608]

Immunohistochemistry-Paraffin: ACE/CD143 Antibody (ACE/3763) [NBP3-07608] - Formalin-fixed, paraffin-embedded human small intestine stained with ACE/CD143 Mouse Monoclonal Antibody (ACE/3763).
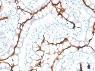
Immunohistochemistry-Paraffin: ACE/CD143 Antibody (ACE/3763) [NBP3-07608]

Immunohistochemistry-Paraffin: ACE/CD143 Antibody (ACE/3763) [NBP3-07608]

Immunohistochemistry-Paraffin: ACE/CD143 Antibody (ACE/3763) [NBP3-07608] - Formalin-fixed, paraffin-embedded human small intestine stained with ACE/CD143 Mouse Monoclonal Antibody (ACE/3763).

Applications for ACE/CD143 Antibody (ACE/3763)

Application
Recommended Usage

Immunohistochemistry-Paraffin

1-2 ug/ml

Western Blot

1-2 ug/ml
Application Notes
ELISA: For coating, order antibody without BSA).
Immunohistochemistry (Formalin-fixed): 1-2ug/ml for 30 minutes at RT. Staining of formalin-fixed tissues requires heating tissue sections in 10mM Tris with 1mM EDTA, pH 9.0, for 45 min at 95C followed by cooling at RT for 20 minutes.
Optimal dilution for a specific application should be determined.

Formulation, Preparation, and Storage

Purification

Protein A or G purified

Formulation

10 mM PBS with 0.05% BSA

Preservative

0.05% Sodium Azide

Concentration

0.2 mg/ml

Shipping

The product is shipped with polar packs. Upon receipt, store it immediately at the temperature recommended below.

Stability & Storage

Store at 4C.

Background: ACE/CD143

ACE converts angiotensin I to angiotensin II by release of the terminal His-Leu, this results in an increase of the vasoconstrictor activity of angiotensin. Also able to inactivate bradykinin, a potent vasodilatator. ACE exists in two forms, a 170KD somatic form and a 90KD germinal form. The somatic form is expressed by endothelial cells (especially those of lung capillaries and arterioles), epithelial cells (especially in proximal renal tubules and small intestine), by some neuronal cells and variably by some macrophages and T lymphocytes. The germinal form is expressed by spermatozoa.

Long Name

Angiotensin I Converting Enzyme

Alternate Names

CD143, DCP1, Kininase II

Gene Symbol

ACE

UniProt

Additional ACE/CD143 Products

Product Documents for ACE/CD143 Antibody (ACE/3763)

Certificate of Analysis

To download a Certificate of Analysis, please enter a lot number in the search box below.

Product Specific Notices for ACE/CD143 Antibody (ACE/3763)

This product is for research use only and is not approved for use in humans or in clinical diagnosis. Primary Antibodies are guaranteed for 1 year from date of receipt.

Loading...
Loading...
Loading...
Loading...