Skip to main content

ACAT2 Antibody - BSA Free

Novus Biologicals, part of Bio-Techne | Catalog # NBP1-85967

Novus Biologicals, part of Bio-Techne
Catalog #
Availability
Size / Price
Qty
Loading...
NBP1-85967

Key Product Details

Validated by

Independent Antibodies

Species Reactivity

Human

Applications

Immunohistochemistry, Immunohistochemistry-Paraffin, Western Blot

Label

Unconjugated

Antibody Source

Polyclonal Rabbit IgG

Format

BSA Free

Concentration

Concentrations vary lot to lot. See vial label for concentration. If unlisted please contact technical services.

Product Specifications

Immunogen

This antibody was developed against Recombinant Protein corresponding to amino acids: IIGSFNGALAAVPVQDLGSTVIKEVLKRATVAPEDVSEVIFGHVLAAGCGQNPVRQASVGAGIPYSVPAW

Reactivity Notes

Immunogen displays the following percentage of sequence identity for non-tested species: Mouse (83%), Rat (84%)

Clonality

Polyclonal

Host

Rabbit

Isotype

IgG

Scientific Data Images for ACAT2 Antibody - BSA Free

Immunohistochemistry-Paraffin: ACAT2 Antibody [NBP1-85967]

Immunohistochemistry-Paraffin: ACAT2 Antibody [NBP1-85967]

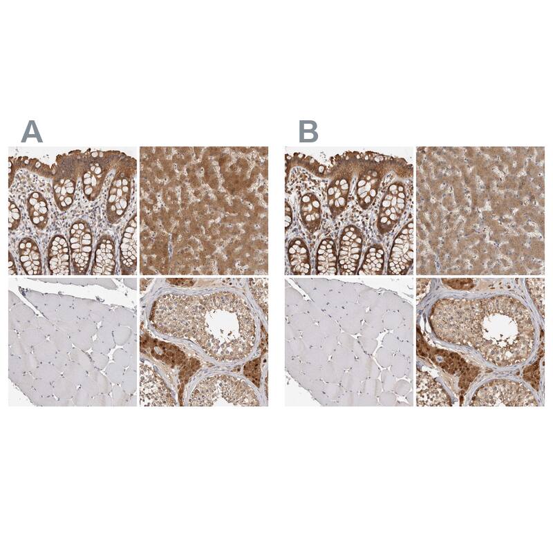
Immunohistochemistry-Paraffin: ACAT2 Antibody [NBP1-85967] - Analysis in human liver and skeletal muscle tissues using NBP1-85967 antibody. Corresponding ACAT2 RNA-seq data are presented for the same tissues.
Immunohistochemistry-Paraffin: ACAT2 Antibody [NBP1-85967]

Immunohistochemistry-Paraffin: ACAT2 Antibody [NBP1-85967]

Immunohistochemistry-Paraffin: ACAT2 Antibody [NBP1-85967] - Staining of human liver shows strong cytoplasmic positivity in hepatocytes.
Immunohistochemistry-Paraffin: ACAT2 Antibody [NBP1-85967]

Immunohistochemistry-Paraffin: ACAT2 Antibody [NBP1-85967]

Immunohistochemistry-Paraffin: ACAT2 Antibody [NBP1-85967] - Staining of human rectum shows strong cytoplasmic positivity in glandular cells.

Applications for ACAT2 Antibody - BSA Free

Application
Recommended Usage

Immunohistochemistry

1:20 - 1:50

Immunohistochemistry-Paraffin

1:20 - 1:50

Western Blot

0.04-0.4 ug/ml
Application Notes
For IHC-Paraffin, HIER pH 6 retrieval is recommended.

Formulation, Preparation, and Storage

Purification

Affinity purified

Formulation

PBS (pH 7.2) and 40% Glycerol

Format

BSA Free

Preservative

0.02% Sodium Azide

Concentration

Concentrations vary lot to lot. See vial label for concentration. If unlisted please contact technical services.

Shipping

The product is shipped with polar packs. Upon receipt, store it immediately at the temperature recommended below.

Stability & Storage

Store at 4C short term. Aliquot and store at -20C long term. Avoid freeze-thaw cycles.

Background: ACAT2

The product of this gene is an enzyme involved in lipid metabolism, and it encodes cytosolic acetoacetyl-CoA thiolase. This gene shows complementary overlapping with the 3-prime region of the TCP1 gene in both mouse and human. These genes are encoded on opposite strands of DNA, as well as in opposite transcriptional orientation.

Long Name

Acetyl-CoA acetyltransferase, cytosolic

Alternate Names

ACTL, EC 2.3.1.9

Gene Symbol

ACAT2

Additional ACAT2 Products

Product Documents for ACAT2 Antibody - BSA Free

Certificate of Analysis

To download a Certificate of Analysis, please enter a lot number in the search box below.

Product Specific Notices for ACAT2 Antibody - BSA Free

This product is for research use only and is not approved for use in humans or in clinical diagnosis. Primary Antibodies are guaranteed for 1 year from date of receipt.

Loading...
Loading...
Loading...
Loading...