ABCB6 Antibody - BSA Free
Novus Biologicals, part of Bio-Techne | Catalog # NBP1-91642
Key Product Details
Species Reactivity
Human
Applications
Immunohistochemistry, Immunohistochemistry-Paraffin, Immunocytochemistry/ Immunofluorescence
Label
Unconjugated
Antibody Source
Polyclonal Rabbit IgG
Format
BSA Free
Concentration
Concentrations vary lot to lot. See vial label for concentration. If unlisted please contact technical services.
Product Specifications
Immunogen
This antibody was developed against Recombinant Protein corresponding to amino acids: STVVNADQILVIKDGCIVERGRHEALLSRGGVYADMWQLQQGQEETSEDTKPQTMER
Reactivity Notes
Reactivity reported in scientific literature (PMID: 24498303)
Clonality
Polyclonal
Host
Rabbit
Isotype
IgG
Description
Novus Biologicals Rabbit ABCB6 Antibody - BSA Free (NBP1-91642) is a polyclonal antibody validated for use in IHC and ICC/IF. Anti-ABCB6 Antibody: Cited in 1 publication. All Novus Biologicals antibodies are covered by our 100% guarantee.
Scientific Data Images for ABCB6 Antibody - BSA Free
Immunocytochemistry/ Immunofluorescence: ABCB6 Antibody [NBP1-91642]
Immunocytochemistry/Immunofluorescence: ABCB6 Antibody [NBP1-91642] - Staining of human cell line U-251 MG shows localization to the Golgi apparatus.Immunohistochemistry-Paraffin: ABCB6 Antibody [NBP1-91642]
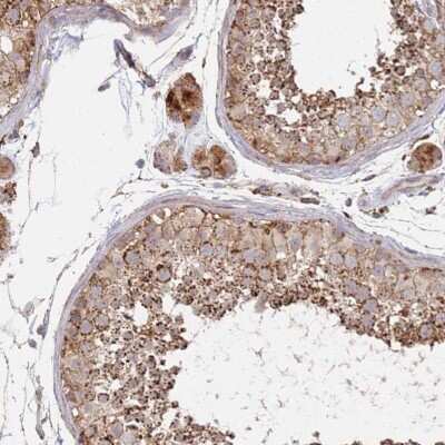
Immunohistochemistry-Paraffin: ABCB6 Antibody [NBP1-91642] - Staining of human testis shows cytoplasmic positivity.Applications for ABCB6 Antibody - BSA Free
Application
Recommended Usage
Immunocytochemistry/ Immunofluorescence
0.25-2 ug/ml
Immunohistochemistry
1:20 - 1:50
Immunohistochemistry-Paraffin
1:20 - 1:50
Application Notes
For IHC-Paraffin, HIER pH 6 retrieval method is recommended. ICC/IF, Fixation Permeabilization: Use PFA/Triton X-100.
Formulation, Preparation, and Storage
Purification
Affinity purified
Formulation
PBS (pH 7.2) and 40% Glycerol
Format
BSA Free
Preservative
0.02% Sodium Azide
Concentration
Concentrations vary lot to lot. See vial label for concentration. If unlisted please contact technical services.
Shipping
The product is shipped with polar packs. Upon receipt, store it immediately at the temperature recommended below.
Stability & Storage
Store at 4C short term. Aliquot and store at -20C long term. Avoid freeze-thaw cycles.
Background: ABCB6
Long Name
ATP-binding Cassette, Sub-family B (MDR/TAP), Member 6
Alternate Names
ABC14, LAN, MCOPCB7, MTABC3, Umat
Entrez Gene IDs
10058 (Human)
Gene Symbol
ABCB6
UniProt
Additional ABCB6 Products
Product Documents for ABCB6 Antibody - BSA Free
Product Specific Notices for ABCB6 Antibody - BSA Free
This product is for research use only and is not approved for use in humans or in clinical diagnosis. Primary Antibodies are guaranteed for 1 year from date of receipt.
Loading...
Loading...
Loading...
Loading...