Skip to main content

ABAT Antibody - BSA Free

Novus Biologicals, part of Bio-Techne | Catalog # NBP1-83401

Novus Biologicals, part of Bio-Techne
Catalog #
Availability
Size / Price
Qty
Loading...
NBP1-83401

Key Product Details

Validated by

Orthogonal Validation, Independent Antibodies

Species Reactivity

Validated:

Human

Predicted:

Mouse (93%), Rat (93%). Backed by our 100% Guarantee.

Applications

Immunohistochemistry, Immunohistochemistry-Paraffin, Western Blot

Label

Unconjugated

Antibody Source

Polyclonal Rabbit IgG

Format

BSA Free

Concentration

Concentrations vary lot to lot. See vial label for concentration. If unlisted please contact technical services.

Product Specifications

Immunogen

This antibody was developed against Recombinant Protein corresponding to amino acids: LSVAPKGMSQLITMACGSCSNENALKTIFMWYRSKERGQRGFSQEELETCMINQAPGCPDYSILSFMGAFHGRTMGCLATTHSKAIHKI

Clonality

Polyclonal

Host

Rabbit

Isotype

IgG

Theoretical MW

56 kDa.
Disclaimer note: The observed molecular weight of the protein may vary from the listed predicted molecular weight due to post translational modifications, post translation cleavages, relative charges, and other experimental factors.

Scientific Data Images for ABAT Antibody - BSA Free

Western Blot: ABAT Antibody [NBP1-83401]

Western Blot: ABAT Antibody [NBP1-83401]

Western Blot: ABAT Antibody [NBP1-83401] - Analysis using Anti-ABAT antibody NBP1-83401 (A) shows similar pattern to independent antibody NBP1-83400 (B).
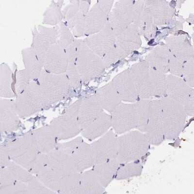
Immunohistochemistry-Paraffin: ABAT Antibody [NBP1-83401]

Immunohistochemistry-Paraffin: ABAT Antibody [NBP1-83401]

Immunohistochemistry-Paraffin: ABAT Antibody [NBP1-83401] - Analysis in human liver and skeletal muscle tissues using NBP1-83401 antibody. Corresponding ABAT RNA-seq data are presented for the same tissues.
Immunohistochemistry-Paraffin: ABAT Antibody [NBP1-83401]

Immunohistochemistry-Paraffin: ABAT Antibody [NBP1-83401]

Immunohistochemistry-Paraffin: ABAT Antibody [NBP1-83401] - Staining of human cerebral cortex shows moderate positivity in neuropil.

Applications for ABAT Antibody - BSA Free

Application
Recommended Usage

Immunohistochemistry

1:200 - 1:500

Immunohistochemistry-Paraffin

1:200 - 1:500

Western Blot

0.04-0.4 ug/ml
Application Notes
For IHC-Paraffin, HIER pH 6 retrieval is recommended.

Formulation, Preparation, and Storage

Purification

Affinity purified

Formulation

PBS (pH 7.2) and 40% Glycerol

Format

BSA Free

Preservative

0.02% Sodium Azide

Concentration

Concentrations vary lot to lot. See vial label for concentration. If unlisted please contact technical services.

Shipping

The product is shipped with polar packs. Upon receipt, store it immediately at the temperature recommended below.

Stability & Storage

Store at 4C short term. Aliquot and store at -20C long term. Avoid freeze-thaw cycles.

Background: ABAT

4-aminobutyrate aminotransferase (ABAT) is responsible for catabolism of gamma-aminobutyric acid (GABA), an important, mostly inhibitory neurotransmitter in the central nervous system, into succinic semialdehyde. The active enzyme is a homodimer of 50-kD subunits complexed to pyridoxal-5-phosphate. The protein sequence is over 95% similar to the pig protein. GABA is estimated to be present in nearly one-third of human synapses. ABAT in liver and brain is controlled by 2 codominant alleles with a frequency in a Caucasian population of 0.56 and 0.44. The ABAT deficiency phenotype includes psychomotor retardation, hypotonia, hyperreflexia, lethargy, refractory seizures, and EEG abnormalities. Multiple alternatively spliced transcript variants encoding the same protein isoform have been found for this gene. [provided by RefSeq]

Long Name

4-aminobutyrate aminotransferase, mitochondrial

Alternate Names

EC 2.6.1.19, EC 2.6.1.22, GABA transaminase, GABA-AT, GABA-T, GABAT, L-AIBAT

Entrez Gene IDs

18 (Human)

Gene Symbol

ABAT

UniProt

Additional ABAT Products

Product Documents for ABAT Antibody - BSA Free

Certificate of Analysis

To download a Certificate of Analysis, please enter a lot number in the search box below.

Product Specific Notices for ABAT Antibody - BSA Free

This product is for research use only and is not approved for use in humans or in clinical diagnosis. Primary Antibodies are guaranteed for 1 year from date of receipt.

Loading...
Loading...
Loading...
Loading...