Skip to main content

4EBP1 [p Ser65] Antibody (2D1G11) - BSA Free

Novus Biologicals, part of Bio-Techne | Catalog # NBP2-61901

Novus Biologicals, part of Bio-Techne
Catalog #
Availability
Size / Price
Qty
Loading...
NBP2-61901
NBP2-61901-0.025ml

Key Product Details

Species Reactivity

Human

Applications

Immunohistochemistry, Immunohistochemistry-Paraffin, ELISA, Flow Cytometry

Label

Unconjugated

Antibody Source

Monoclonal Mouse IgG1 Clone # 2D1G11

Format

BSA Free

Concentration

1 mg/ml

Product Specifications

Immunogen

Synthesized peptide of human 4EBP1 (pSer65).

Modification

p Ser65

Clonality

Monoclonal

Host

Mouse

Isotype

IgG1

Theoretical MW

12.6 kDa.
Disclaimer note: The observed molecular weight of the protein may vary from the listed predicted molecular weight due to post translational modifications, post translation cleavages, relative charges, and other experimental factors.

Description

Novus Biologicals Mouse 4EBP1 Antibody (2D1G11) - BSA Free (NBP2-61901) is a monoclonal antibody validated for use in IHC, ELISA and Flow. All Novus Biologicals antibodies are covered by our 100% guarantee.

Scientific Data Images for 4EBP1 [p Ser65] Antibody (2D1G11) - BSA Free

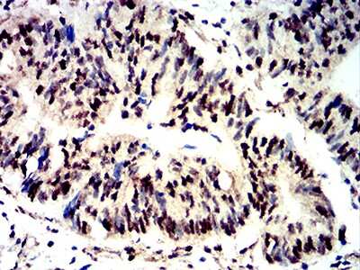
Immunohistochemistry: 4EBP1 Antibody (2D1G11) - BSA Free [NBP2-61901]

Immunohistochemistry: 4EBP1 Antibody (2D1G11) - BSA Free [NBP2-61901]

Immunohistochemistry: 4EBP1 Antibody (2D1G11) [NBP2-61901] - Analysis of paraffin-embedded stomach cancer tissues using Phospho-4E-BP1 (Ser65) mouse mAb with DAB staining.
Flow Cytometry: 4EBP1 Antibody (2D1G11) - BSA Free [NBP2-61901]

Flow Cytometry: 4EBP1 Antibody (2D1G11) - BSA Free [NBP2-61901]

Flow Cytometry: 4EBP1 Antibody (2D1G11) [NBP2-61901] - Analysis of Jurkat cells using Phospho-4E-BP1 (Ser65) mouse mAb (green) and negative control (red).
Immunohistochemistry: 4EBP1 Antibody (2D1G11) - BSA Free [NBP2-61901]

Immunohistochemistry: 4EBP1 Antibody (2D1G11) - BSA Free [NBP2-61901]

Immunohistochemistry: 4EBP1 Antibody (2D1G11) [NBP2-61901] - Analysis of paraffin-embedded rectum cancer tissues using Phospho-4E-BP1 (Ser65) mouse mAb with DAB staining.

Applications for 4EBP1 [p Ser65] Antibody (2D1G11) - BSA Free

Application
Recommended Usage

ELISA

1:10000

Flow Cytometry

1:200-1:400

Immunohistochemistry

1:200-1:1000

Immunohistochemistry-Paraffin

1:200-1:1000

Formulation, Preparation, and Storage

Purification

Protein G purified

Formulation

PBS

Format

BSA Free

Preservative

0.05% Sodium Azide

Concentration

1 mg/ml

Shipping

The product is shipped with polar packs. Upon receipt, store it immediately at the temperature recommended below.

Stability & Storage

Store at 4C short term. Aliquot and store at -20C long term. Avoid freeze-thaw cycles.

Background: 4EBP1

This gene encodes one member of a family of translation repressor proteins. The protein directly interacts with eukaryotic translation initiation factor 4E (eIF4E), which is a limiting component of the multisubunit complex that recruits 40S ribosomal subunits to the 5' end of mRNAs. Interaction of this protein with eIF4E inhibits complex assembly and represses translation. This protein is phosphorylated in response to various signals including UV irradiation and insulin signaling, resulting in its dissociation from eIF4E and activation of mRNA translation.

Long Name

Eukaryotic Translation Initiation Factor 4E Binding Protein 1

Alternate Names

EIF4EBP1, PHAS-I

Gene Symbol

EIF4EBP1

Additional 4EBP1 Products

Product Documents for 4EBP1 [p Ser65] Antibody (2D1G11) - BSA Free

Certificate of Analysis

To download a Certificate of Analysis, please enter a lot number in the search box below.

Product Specific Notices for 4EBP1 [p Ser65] Antibody (2D1G11) - BSA Free

This product is for research use only and is not approved for use in humans or in clinical diagnosis. Primary Antibodies are guaranteed for 1 year from date of receipt.

Loading...
Loading...
Loading...
Loading...
Loading...