Skip to main content

4EBP1 Antibody (11G12C11) - BSA Free

Novus Biologicals, part of Bio-Techne | Catalog # NBP1-47366

Novus Biologicals, part of Bio-Techne
Catalog #
Availability
Size / Price
Qty
Loading...
NBP1-47366-0.025ml
NBP1-47366

Key Product Details

Species Reactivity

Validated:

Human

Cited:

Human

Applications

Validated:

Immunohistochemistry, Immunohistochemistry-Paraffin, Western Blot, ELISA

Cited:

Western Blot

Label

Unconjugated

Antibody Source

Monoclonal Mouse IgG1 Clone # 11G12C11

Format

BSA Free

Concentration

1 mg/ml

Product Specifications

Immunogen

Purified recombinant fragment of 4EBP1 expressed in E. Coli.

Clonality

Monoclonal

Host

Mouse

Isotype

IgG1

Description

Novus Biologicals Mouse 4EBP1 Antibody (11G12C11) - BSA Free (NBP1-47366) is a monoclonal antibody validated for use in IHC, WB and ELISA. Anti-4EBP1 Antibody: Cited in 2 publications. All Novus Biologicals antibodies are covered by our 100% guarantee.

Scientific Data Images for 4EBP1 Antibody (11G12C11) - BSA Free

Western Blot: 4EBP1 Antibody (11G12C11)BSA Free [NBP1-47366]

Western Blot: 4EBP1 Antibody (11G12C11)BSA Free [NBP1-47366]

Western Blot: 4EBP1 Antibody (11G12C11) [NBP1-47366] - Analysis using 4E-BP1 mouse mAb against truncated 4E-BP1 recombinant protein (1).
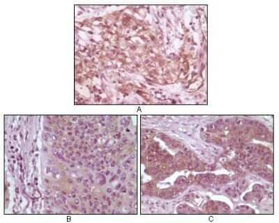
Immunohistochemistry-Paraffin: 4EBP1 Antibody (11G12C11) - BSA Free [NBP1-47366]

Immunohistochemistry-Paraffin: 4EBP1 Antibody (11G12C11) - BSA Free [NBP1-47366]

Immunohistochemistry-Paraffin: 4EBP1 Antibody (11G12C11) [NBP1-47366] - Analysis of human pancreas carcinoma (A), esophagus carcinoma tissue (B) and ovary tumor tissue, showing cytoplasmic and membrane localization using 4E-BP1 mouse mAb with DAB staining.

Applications for 4EBP1 Antibody (11G12C11) - BSA Free

Application
Recommended Usage

ELISA

1:10000

Immunohistochemistry

1:200 - 1:1000

Immunohistochemistry-Paraffin

1:200 - 1:1000

Western Blot

1: 500 - 1:2000

Formulation, Preparation, and Storage

Purification

Protein G purified

Formulation

PBS

Format

BSA Free

Preservative

0.03% Sodium Azide

Concentration

1 mg/ml

Shipping

The product is shipped with polar packs. Upon receipt, store it immediately at the temperature recommended below.

Stability & Storage

Store at 4C short term. Aliquot and store at -20C long term. Avoid freeze-thaw cycles.

Background: 4EBP1

4E-BP1(eukaryotic translation Initiation Factor 4E Binding Protein 1),also called ELF4EBP1/BP-1/PHAS-I ,which is located on chromosome 8p12, with 118-amino acid protein (about 13kDa). Binding of eIF4EBP1 to eIF4E is reversible and is dependent on the phosphorylation status of eIF4EBP1. Non phosphorylated eIF4EBP1 will bind strongly to eIF4E while(24kDa), the phosphorylated form will not. Akt, TOR, MAP kinase, S6 kinase, and Cdc2 are known kinases capable of inactivating eIF4EBP1 binding to eIF4E by phosphorylating either threonines 35, 45, 69 or serine 64. Although, not all phosphorylation events equally block the eIF4EBP1-eIF4E interaction.

Long Name

Eukaryotic Translation Initiation Factor 4E Binding Protein 1

Alternate Names

EIF4EBP1, PHAS-I

Entrez Gene IDs

1978 (Human)

Gene Symbol

EIF4EBP1

UniProt

Additional 4EBP1 Products

Product Documents for 4EBP1 Antibody (11G12C11) - BSA Free

Certificate of Analysis

To download a Certificate of Analysis, please enter a lot number in the search box below.

Product Specific Notices for 4EBP1 Antibody (11G12C11) - BSA Free

This product is for research use only and is not approved for use in humans or in clinical diagnosis. Primary Antibodies are guaranteed for 1 year from date of receipt.

Loading...
Loading...
Loading...
Loading...