Skip to main content

14-3-3 gamma Antibody (HS23) - BSA Free

Novus Biologicals, part of Bio-Techne | Catalog # NB100-407

Catalog #
Availability
Size / Price
Qty
Loading...
NB100-407
NB100-407SS

Key Product Details

Validated by

Biological Validation

Species Reactivity

Validated:

Human, Mouse, Rat, Bovine, Chicken, Zebrafish

Cited:

Human, Mouse, Yeast

Applications

Validated:

Western Blot, Immunoblotting, Immunocytochemistry/ Immunofluorescence

Cited:

Immunohistochemistry-Paraffin, Western Blot, Immunoprecipitation

Label

Unconjugated

Antibody Source

Monoclonal Mouse IgG1 kappa Clone # HS23

Format

BSA Free

Concentration

This product is unpurified. The exact concentration of antibody is not quantifiable.

Product Specifications

Immunogen

N-terminal fragment of human 14-3-3 gamma

Localization

Cytoplasmic

Specificity

NB100-407 reacts with the human form of intact, non-modified N-terminus 14-3-3 gamma. The naturally occurring form of 14-3-3 gamma in which the N-terminus Met is removed and the Val is acetylated is not recognized by this antibody.

Clonality

Monoclonal

Host

Mouse

Isotype

IgG1 kappa

Theoretical MW

33 kDa.
Disclaimer note: The observed molecular weight of the protein may vary from the listed predicted molecular weight due to post translational modifications, post translation cleavages, relative charges, and other experimental factors.

Description

Novus Biologicals Mouse 14-3-3 gamma Antibody (HS23) - BSA Free (NB100-407) is a monoclonal antibody validated for use in IHC, WB, ICC/IF and IP. Anti-14-3-3 gamma Antibody: Cited in 10 publications. All Novus Biologicals antibodies are covered by our 100% guarantee.

Scientific Data Images for 14-3-3 gamma Antibody (HS23) - BSA Free

Western Blot: 14-3-3 gamma Antibody (HS23) [NB100-407]

Western Blot: 14-3-3 gamma Antibody (HS23) [NB100-407]

Western Blot: 14-3-3 gamma Antibody (HS23) [NB100-407] - 14-3-3 gamma detected in lysates using NB 100-407. Lane 1: HeLa cell lysate, Lanes 2 and 3: bengamide treated lysates (8h and 24h, respectively).
Western Blot: 14-3-3 gamma Antibody (HS23) [NB100-407]

Western Blot: 14-3-3 gamma Antibody (HS23) [NB100-407]

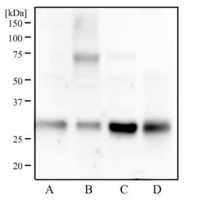
Western Blot: 14-3-3 gamma Antibody (HS23) [NB100-407] - Analysis of HeLa (A), A431 (B), NIH3T3 (C) and PC-12 (D) cell lysate using 14-3-3 gamma antibody at 1:500.

Applications for 14-3-3 gamma Antibody (HS23) - BSA Free

Application
Recommended Usage

Immunocytochemistry/ Immunofluorescence

1:50 - 1:250

Western Blot

1:500 - 1:1000
Application Notes
In Western Blot, a distinct band around 33 kDa is detected. Use in immunoblotting reported in scientific literature (PMID: 29317475).

Formulation, Preparation, and Storage

Purification

Unpurified

Formulation

Ascites

Format

BSA Free

Preservative

0.1% Sodium Azide

Concentration

This product is unpurified. The exact concentration of antibody is not quantifiable.

Shipping

The product is shipped with polar packs. Upon receipt, store it immediately at the temperature recommended below.

Stability & Storage

Store at 4C short term. Aliquot and store at -20C long term. Avoid freeze-thaw cycles.

Background: 14-3-3 gamma

14-3-3 proteins are highly conserved and ubiquitously expressed proteins present as multigene families in most of the living organisms wherein they play a key role of bringing signal transduction to completion, and implicates in regulating several cellular processes including apoptosis, cell-cycle checkpoints and nutrient-sensing signaling pathways. 14-3-3 proteins have several isoforms which include -beta, -gamma, -epsilon, -sigma, -zeta, -tau, and -eta. 14-3-3 proteins can form homo- or heterodimers which interacts with a wide variety of proteins such as transcription factors, enzymes/kinases, cytoskeletal proteins, phosphatases, and other signaling molecules. 14-3-3 interactions with its targets occurs primarily via phospho-Ser/Thr motif, however, binding to divergent phospho-Ser/Thr motifs, as well as phosphorylation-independent interactions have been shown. 14-3-3 binding masks specific sequences of target proteins, thereby altering their localization, phosphorylation state, stability, and molecular interactions, and also induces target protein conformational changes which results in altered target protein function. Distinct temporal and spatial expression patterns of 14-3-3 isoforms have been observed in developmental and disease signaling which underlies their different functions despite sequence similarities.

Alternate Names

1433 gamma, YWHAG

Entrez Gene IDs

7532 (Human)

Gene Symbol

YWHAG

UniProt

Additional 14-3-3 gamma Products

Product Documents for 14-3-3 gamma Antibody (HS23) - BSA Free

Certificate of Analysis

To download a Certificate of Analysis, please enter a lot number in the search box below.

Product Specific Notices for 14-3-3 gamma Antibody (HS23) - BSA Free

This product is for research use only and is not approved for use in humans or in clinical diagnosis. Primary Antibodies are guaranteed for 1 year from date of receipt.

Loading...
Loading...
Loading...
Loading...