Skip to main content

免疫肿瘤学研究

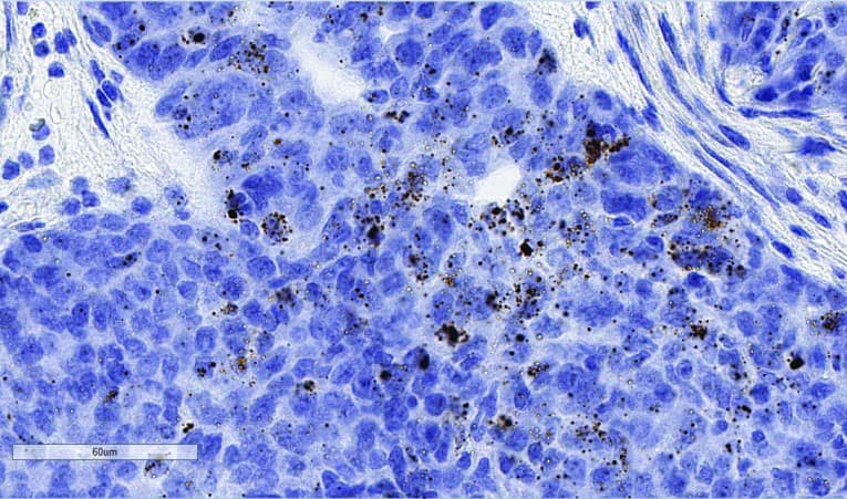
 Detection of IL21R in human breast cancer using RNAscope 2.5 HD Brown Assay

使用 RNAscope 2.5 HD 检测试剂盒(棕色)检测人乳腺癌中的 IL21R

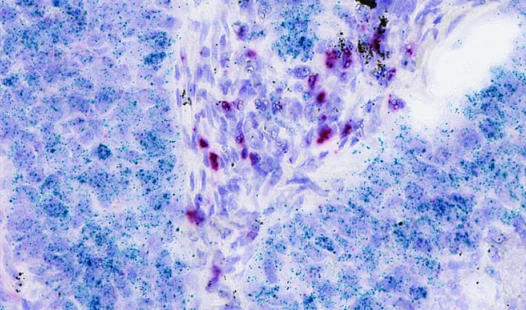
 Detection of IL21A in human ovarian cancer using RNAscope 2.5 HD Brown Assay

使用 RNAscope 2.5 HD 检测试剂盒(棕色)检测人卵巢癌中的 IL21A

 Simultaneous detection of CTLA4 (red) and PD-L1 (green) in NSCLC tissue using RNAScope 2.5 HD Duplex Assay

使用 RNAScope 2.5 HD 双重检测试剂盒同时检测 NSCLC 组织中的 CTLA4(红色)和 PD-L1(绿色)

近年来,免疫肿瘤学 (IO) 和癌症免疫治疗领域迅速发展,免疫检查点抑制剂以及癌症疫苗和嵌合抗原受体 T 细胞 (CAR-T) 疗法等其他治疗方法的临床结果颇具前景。

然而,我们对肿瘤微环境 (TME) 中免疫细胞的功能以及不同细胞类型之间的相互作用了解仍然十分有限。尽管人们不断发现 TME 中可用于治疗癌症的新靶标和调节分子,但往往缺乏在肿瘤组织中研究这些靶标和分子的工具。虽然免疫组织化学 (IHC) 是常用方法,但由于缺少特异性和灵敏的抗体,该方法的使用经常受到限制。

RNAscope® 技术能够快速高效地检测任何靶标 mRNA 的共表达谱,包括检查点和特定细胞标志物,在福尔马林固定石蜡包埋 (FFPE) 组织中具有单分子灵敏度和高特异性。

下载完整演示文稿

使用原位杂交技术进行临床前 CAR-T 细胞靶标的安全性、生物分布和肿瘤浸润分析

演讲于:第 34 届癌症免疫治疗学会 (SITC) 年会(马里兰州)

作者:Courtney Anderson1、Helly Pimentel1、Helen Jarnagin1、Hailing Zong1、Courtney Todorov1、Kenneth Ganley2、Fay Eng2、Kevin Friedman2、Molly Perkins2、Shannon Grande2、Bingqing Zhang1、Christopher Bunker1、James Rottman2、Xiao-Jun Ma1

ACD/Bio-Techne, Newark, CA, 2 Bluebird Bio, Cambridge, MA

白皮书

使用 RNAscope® 和 GeoMx™ 分析进行分子引导的高度多重空间分析

免疫肿瘤学基础:推进基础科学和转化研究

在本电子书中,我们研究了肿瘤微环境的复杂性、探索了基础和转化研究的创新技术,以及将免疫疗法推向临床的策略。
涵盖的主题:

  • 肿瘤微环境
  • 免疫检查点
  • 治疗性单克隆抗体
  • 小分子和免疫肿瘤学
  • 基于细胞的疗法
  • 细胞因子和免疫疗法
  • 推进免疫肿瘤学研究的工具

ACD 研究:调查免疫检查点标志物在组织微环境中的表达

Detect expression of the immune checkpoint markers PD-L1 Coexpression RNAscope

ACD 开展了一项研究,分析 8 个检查点标志物在 60 个非小细胞肺癌 FFPE 组织中的共表达。图 1 为在一份样本中同时检测这些标志物的示例。该研究揭示了不同肿瘤组织间的表达模式异质性和每个肿瘤的瘤内异质性,以及针对不同检查点通路的联合治疗的潜在理解。以下网络研讨会对研究数据和结果进行了讨论。

图 1:使用手动 RNAscope® 2.5 HD 双重检测试剂盒检测人 NSCLC 肿瘤样本中免疫检查点标志物 PD-L1(绿色色原)和 PD-1、PD-L2、CTLA4、LAG3、TIM3 或 4-1BB(红色色原)的表达。PD-L1 和 PD-L2 主要在肿瘤区域表达,并在相同的肿瘤细胞中共表达。CTLA4、4-1BB、PD1、LAG3 和 TIM3 主要在基质区域表达。箭头表示共表达 PD-L1 与 LAG3、TIM3 或 PD-L2 的细胞。

录制的网络研讨会

观看此录制的网络研讨会(2016 年 6 月 30 日),了解有关 ACD 研究的更多信息:调查免疫检查点标志物在组织微环境中的表达,由 ACD 研究科学家 Jeffrey Kim 演示。

Surveying expression of immune checkpoint markers in the tissue microenvironment, presented by Jeffrey Kim, Research Scientist at ACD

海报

使用荧光多重 RNA 原位杂交和免疫组织化学对肿瘤微环境中的 RNA 和蛋白质生物标志物进行免疫分析。

RNAscope Immune Profiling the TME with RNA

评估免疫功能标志物在肿瘤微环境 (TME) 中的表达

RNAscope AACR Poster Expression of Immune Functional Markers TME

应用说明

应用说明“使用 RNA 原位杂交 RNAscope® 分析检测肿瘤微环境中的免疫细胞检查点和功能标志物”

ACD 评估了 RNAscope® 分析在人肿瘤 FFPE 样本中检测多种重要免疫肿瘤学标志物的性能,包括 12 个免疫检查点标志物(如 PD-L1、CTLA-4、IDO1)、14 个免疫细胞标志物(如 CD3、CD4、CD8)和 24 个免疫功能标志物(如 IFNG、TGFB、IL6、CXCL10)。

附录

附录“使用 RNA原位杂交 RNAscope® 分析检测肿瘤微环境中的免疫细胞检查点和功能标志物”