Skip to main content

What is BaseScope™?

The BaseScope assay leverages our proven and established RNAscope™ technology, but expands the detection capabilities, enabling the detection of short RNA target sequences and exon junctions in cells (50-300bp) and tissues with morphological context, thereby providing new data dimensions and unique insight into biological mechanisms at single cell sensitivity.

 

Product Line Features

  • BaseScope enables detecting biological events in cells and in situ using a single Z pair
  • Highly specific and sensitive detection of RNA targets with down to ONE nucleotide differences
  • Detection of exon junctions / splice variants, cells transduced in gene therapy, gene editing products, microexons, short indels
BaseScope splice variant

Splice Variant Example

Detection of EGFRvIII+ in glioblastoma with the BaseScope v2 Assay

BaseScope gene editing

Gene Editing Example

Discern cell type-specific gene editing with the BaseScope Duplex Assay

BaseScope point mutation

Point Mutation Example

Detection of KRAS G12D in KRAS mutation cell line with the BaseScope v2 Assay

Technology Options

basescope chromogenic duplex assay

BaseScope Single Plex Chromogenic Assays

  • BaseScope RED Assay assay enables manual detection of short RNA sequences like exon junctions
  • BaseScope VS Reagent Kit assay is our automated solution which enables customers with high throughput single RNA detection on the Roche DISCOVERY ULTRA
  • BaseScope™ LS Reagent Kit – RED assay is our automated solution which enables customers with high throughput detection of RNA targets using the Leica BOND RX platform

 

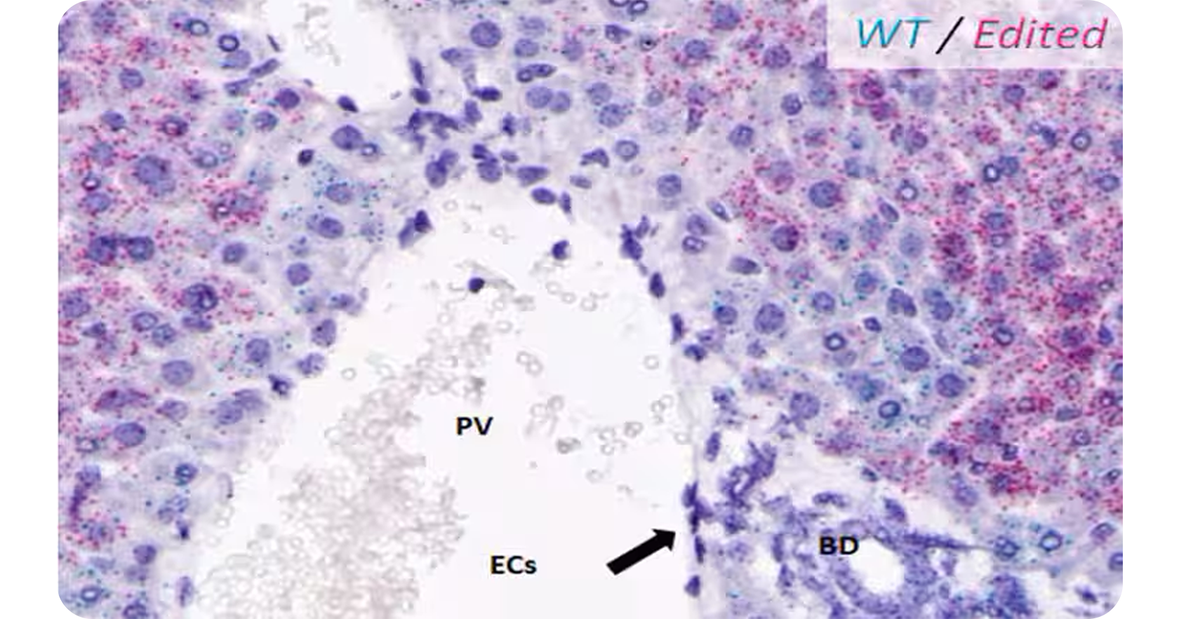
Figure 1 (left): Discern cell type-specific gene editing with the BaseScope™ Duplex Assay. CRISPR-mediated gene editing was detected in hepatocytes but not in the bile duct (BD) or endothelial cells (ECs) of the portal vein (PV) using BaseScope™ Duplex probes for the WT (green) or Edited (red) sequences.

basescope assay p10-digap1-e9-10-e9-7

BaseScope Duplex Chromogenic Assay

The BaseScope Duplex Assay can be used for simultaneous visualization of two RNA targets while maintaining single cell resolution.

Applications of the BaseScope Duplex Assay include:

  • Discerning bi-allelic vs mono-allelic CRISPR-mediated mutations
  • Co-detection of circRNAs and linear RNAs
  • Simultaneous visualization of 2 splice variants or short targets
  • Profiling expression of a splice variant, short target, or gene edit in a cell-specific manner

 

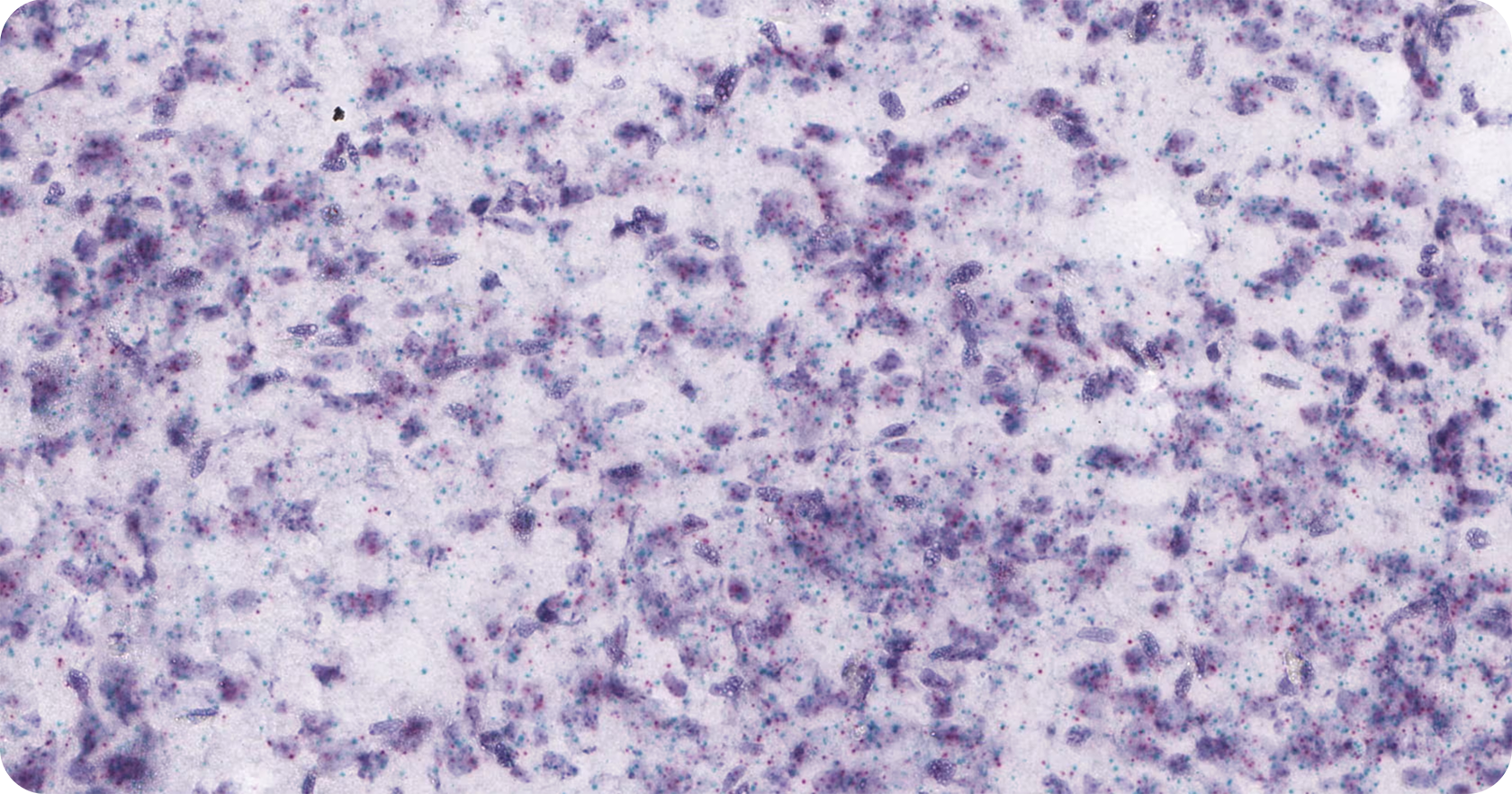
Figure 2 (left): Dlgap2 circRNA and wild type RNA transcripts detected using BaseScope™ Duplex assay.

Featured Resources

Customer Success Stories