Primate Multi-Organ Tissue MicroArray (Normal)
Novus Biologicals, part of Bio-Techne | Catalog # NBP2-30187
Key Product Details
Species
Primate
Applications
Immunohistochemistry
Product Summary for Primate Multi-Organ Tissue MicroArray (Normal)
Microarray Panel:
Normal organs of adult male monkey
No. of samples: 60
Core diameter: 2.0 mm
Format: Perfusion fixation by 4% formaldehyde
Section thickness: 4 micrometer
Please see manual for tissue information and location.
All tissues are fixed in 10% neutral buffered formalin for 12 to 24 hours, dehydrated with gradient ethanol, cleared with xylene, and embedded in paraffin. Then each slide is tested for immunohistochemistry on multiple antibodies including the p53 protein. Quality control is ensured as every tissue block is collected and arranged by certified pathologists, who used an identical process for their own research.
About 100,000 cells are included in each sample with 2 mm core diameter. Some slides may have less than 60 cores due to sample loss when obtaining multiple sections. Maximum number of missing cores in a slide is less than 10%.
Normal organs of adult male monkey
No. of samples: 60
Core diameter: 2.0 mm
Format: Perfusion fixation by 4% formaldehyde
Section thickness: 4 micrometer
Please see manual for tissue information and location.
All tissues are fixed in 10% neutral buffered formalin for 12 to 24 hours, dehydrated with gradient ethanol, cleared with xylene, and embedded in paraffin. Then each slide is tested for immunohistochemistry on multiple antibodies including the p53 protein. Quality control is ensured as every tissue block is collected and arranged by certified pathologists, who used an identical process for their own research.
About 100,000 cells are included in each sample with 2 mm core diameter. Some slides may have less than 60 cores due to sample loss when obtaining multiple sections. Maximum number of missing cores in a slide is less than 10%.
Product Specifications
Type
Tissue
Tissue Condition
Normal
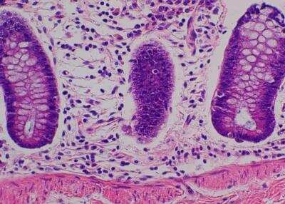
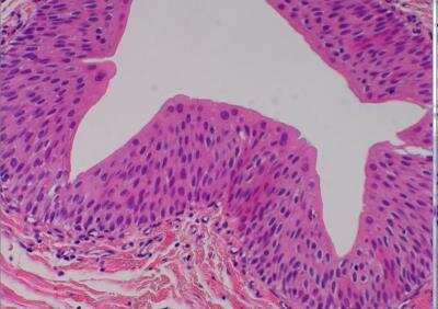
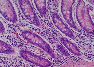
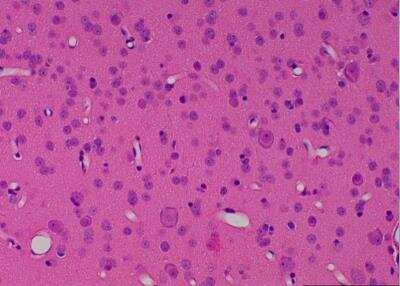
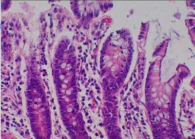
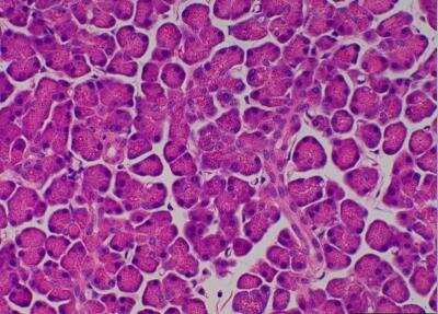
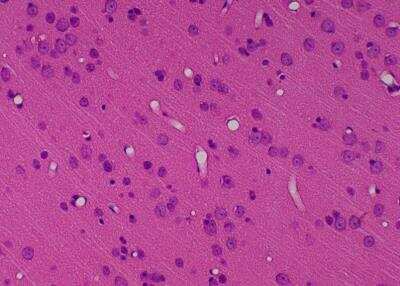
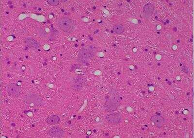
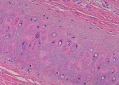
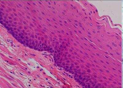
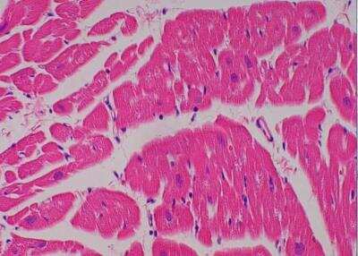
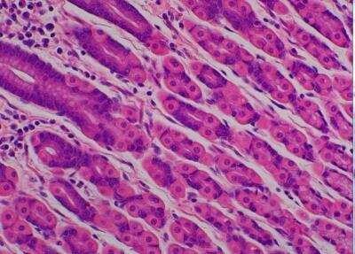
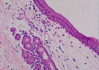
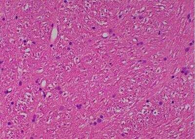
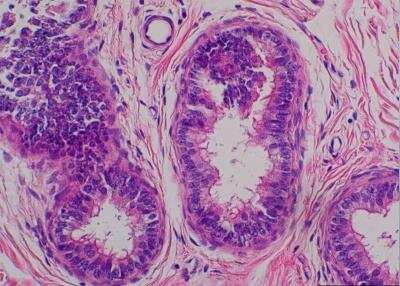
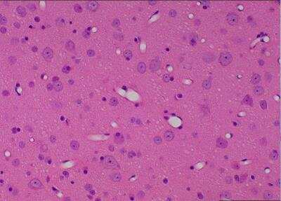
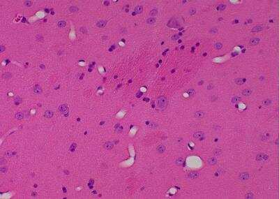
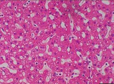
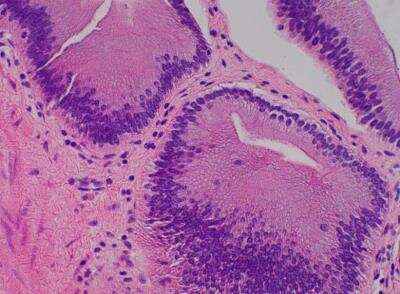
Scientific Data Images for Primate Multi-Organ Tissue MicroArray (Normal)
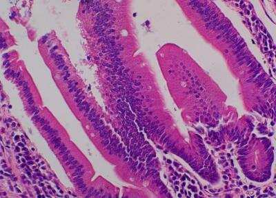
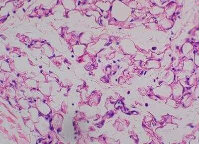
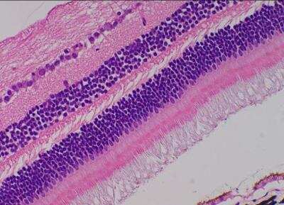
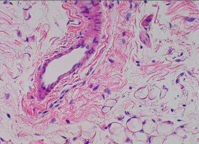
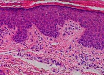
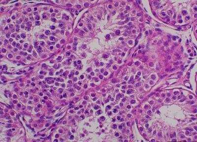
Hematoxylin & Eosin Stain: Primate Organs Tissue MicroArray (Normal) [NBP2-30187] - 01. Skin, Abdominal
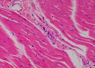
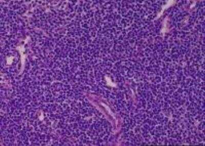
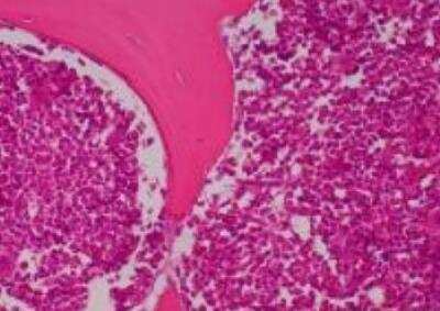
Hematoxylin & Eosin Stain: Primate Organs Tissue MicroArray (Normal) [NBP2-30187] - 02. Spleen
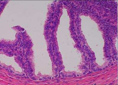
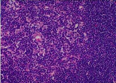
Hematoxylin & Eosin Stain: Primate Organs Tissue MicroArray (Normal) [NBP2-30187] - 03. Lymph node, Cervical
Formulation, Preparation, and Storage
Concentration
Concentration is not relevant for this product. Please see the protocols for proper use of this product.
Shipping
The product is shipped with polar packs. Upon receipt, store it immediately at the temperature recommended below.
Storage
Store at 4C. Do not freeze.
Background: Multi-Organ
Additional Multi-Organ Products
Product Documents for Primate Multi-Organ Tissue MicroArray (Normal)
Product Specific Notices for Primate Multi-Organ Tissue MicroArray (Normal)
This product is for research use only and is not approved for use in humans or in clinical diagnosis. Tissue Micro Arrays are guaranteed for 1 year from date of receipt.
Loading...
Loading...
Loading...
Loading...