Donkey anti-Rabbit IgG Fc Secondary Antibody [Biotin]
Novus Biologicals, part of Bio-Techne | Catalog # NBP1-73441
Conjugate
Catalog #
Key Product Details
Species Reactivity
Rabbit
Applications
ELISA, Immunohistochemistry, Western Blot
Label
Biotin
Antibody Source
Polyclonal Donkey IgG
Concentration
LYOPH mg/ml
Product Specifications
Immunogen
Rabbit IgG F(c) fragment
Specificity
No reaction was observed against Rabbit IgG F(ab).
Clonality
Polyclonal
Host
Donkey
Isotype
IgG
Description
Store vial at 4C prior to restoration. For extended storage aliquot contents and freeze at -20C or below. Avoid cycles of freezing and thawing. Centrifuge product if not completely clear after standing at room temperature. This product is stable for several weeks at 4C as an undiluted liquid. Dilute only prior to immediate use.
This product was prepared from monospecific antiserum by immunoaffinity chromatography using Rabbit IgG coupled to agarose beads followed by solid phase adsorption(s) to remove any unwanted reactivities. Assay by immunoelectrophoresis resulted in a single precipitin arc against anti-biotin, anti-Donkey Serum, Rabbit IgG, Rabbit IgG F(c) and Rabbit Serum
This product was prepared from monospecific antiserum by immunoaffinity chromatography using Rabbit IgG coupled to agarose beads followed by solid phase adsorption(s) to remove any unwanted reactivities. Assay by immunoelectrophoresis resulted in a single precipitin arc against anti-biotin, anti-Donkey Serum, Rabbit IgG, Rabbit IgG F(c) and Rabbit Serum
Scientific Data Images for Donkey anti-Rabbit IgG Fc Secondary Antibody [Biotin]
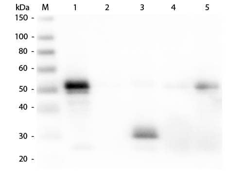
Western Blot: Donkey anti-Rabbit IgG Fc Secondary Antibody [Biotin] [NBP1-73441] - Lane 1: Rabbit IgG whole molecule. Lane 2: Rabbit IgG F(ab) Fragment. Lane 3: Rabbit IgG F(c) Fragment. Lane 4: Rabbit IgM Whole Molecule. Lane 5: Normal Rabbit Serum. All samples were reduced. Load: 50 ng per lane. Block: incubated with blocking buffer for 30 min at RT. Primary Antibody: Anti-Rabbit IgG F(c) (DONKEY) Antibody 1:5,000 for 60 min at RT. Secondary antibody: Anti-Donkey IgG (GOAT) Peroxidase Conjugated Antibody 1:40,000 in incubated with blocking buffer for 30 min at RT. Predicted/Observed Size: 25 and 50 kDa for Rabbit IgG and Serum, 25 kDa for F(c) and F(ab), 70 and 23 kDa for IgM. Rabbit F(c) migrates slightly higher.
Donkey anti-Rabbit IgG Fc Secondary Antibody [Biotin]
Western Blot of Donkey anti-Rabbit IgG Fc Secondary Antibody [Biotin]Applications for Donkey anti-Rabbit IgG Fc Secondary Antibody [Biotin]
Application
Recommended Usage
ELISA
1:300000
Immunohistochemistry
1:1000 - 1:5000
Western Blot
1:2000 - 1:20000
Application Notes
This product has been tested by ELISA and is designed for immunofluorescence microscopy, fluorescence based plate assays (FLISA) and fluorescent western blotting. This product is also suitable for multiplex analysis, including multicolor imaging, utilizing various commercial platforms.
Formulation, Preparation, and Storage
Purification
Multi-step
Reconstitution
Reconstitute with 1.0 ml deionized water (or equivalent).
Formulation
Lyophilized from 0.02 M Potassium Phosphate, 0.15 M Sodium Chloride, pH 7.2, 10 mg/mL Bovine Serum Albumin (BSA) - Immunoglobulin and Protease free
Preservative
0.01% Sodium Azide
Concentration
LYOPH mg/ml
Shipping
The product is shipped with polar packs. Upon receipt, store it immediately at the temperature recommended below.
Stability & Storage
Store lyophilized antibody at 4C in the dark. Aliquot reconstituted liquid and store at -20C. Avoid freeze-thaw cycles.
Background: IgG Fc
Additional IgG Fc Products
Product Documents for Donkey anti-Rabbit IgG Fc Secondary Antibody [Biotin]
Product Specific Notices for Donkey anti-Rabbit IgG Fc Secondary Antibody [Biotin]
This product is for research use only and is not approved for use in humans or in clinical diagnosis. Secondary Antibodies are guaranteed for 1 year from date of receipt.
Loading...
Loading...
Loading...
Loading...
Loading...