Skip to main content

Recombinant Human VSIG3 Fc Chimera Biotinylated Protein, CF

R&D Systems, part of Bio-Techne | Catalog # BT9229

R&D Systems, part of Bio-Techne
Catalog #
Availability
Size / Price
Qty
Loading...
BT9229-050

Key Product Details

  • R&D Systems NS0-derived Recombinant Human VSIG3 Fc Chimera Biotinylated Protein (BT9229)
  • Quality control testing to verify active proteins with lot specific assays by in-house scientists
  • All R&D Systems proteins are covered with a 100% guarantee

Source

NS0

Accession #

Structure / Form

Disulfide-linked homodimer, biotinylated via amines.

Conjugate

Biotin

Applications

Bioactivity

Product Specifications

Source

Mouse myeloma cell line, NS0-derived human VSIG3 protein
Human VSIG3
(Leu23-Gly245)
Accession # BAC07546.1
IEGRMD Human IgG1
(Pro100-Lys330)
N-terminus C-terminus

Purity

>95%, by SDS-PAGE visualized with Silver Staining and quantitative densitometry by Coomassie® Blue Staining.

Endotoxin Level

<0.10 EU per 1 μg of the protein by the LAL method.

N-terminal Sequence Analysis

Leu23

Predicted Molecular Mass

50 kDa

SDS-PAGE

56-69 kDa, under reducing conditions

Activity

Measured by its binding ability in a functional ELISA.
When Recombinant Human VISTA/B7-H5/PD-1H Fc Chimera Protein (Catalog # 7126-B7) is immobilized at 2.5 μg/mL (100 µL/well), the concentration of Biotinylated Recombinant Human VSIG3 Fc Chimera Protein (Catalog # BT9229) that produces 50% of the optimal binding response is found to be approximately 2-10 µg/mL.

Measured by its ability to inhibit anti-CD3 antibody induced IL-17 or IFN-gamma secretion by human peripheral blood mononuclear cells (PBMC).
The ED50 for this effect is 2-10 μg/mL.

Scientific Data Images for Recombinant Human VSIG3 Fc Chimera Biotinylated Protein, CF

Recombinant Human VSIG3 Fc Chimera Biotinylated Protein Binding Activity

Recombinant Human VSIG3 Fc Chimera Biotinylated Protein Binding Activity

When Recombinant Human VISTA/B7-H5/PD-1H Fc Chimera Protein (Catalog # 7126-B7) is immobilized at 2.5 µg/mL (100 µL/well), the concentration of Biotinylated Recombinant Human VSIG3 Fc Chimera Protein (Catalog # BT9229) that produces 50% of the optimal binding response is found to be approximately 2-10 µg/mL.
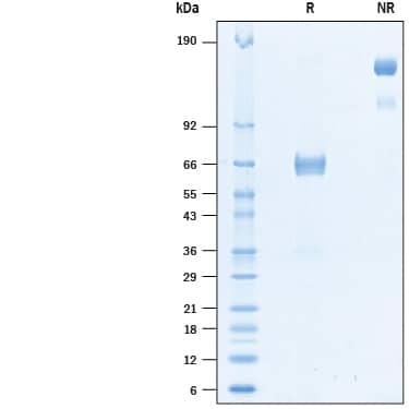
Recombinant Human VSIG3 Fc Chimera Biotinylated Protein SDS-PAGE

Recombinant Human VSIG3 Fc Chimera Biotinylated Protein SDS-PAGE

2 μg/lane of Biotinylated Recombinant Human VSIG3 Fc Chimera (Catalog # BT9229) was resolved with SDS-PAGE under reducing (R) and non-reducing (NR) conditions and visualized by Coomassie® Blue staining, showing bands at 56-69 kDa and 110-140 kDa, respectively.

Formulation, Preparation and Storage

BT9229
Formulation Lyophilized from a 0.2 μm filtered solution in PBS with Trehalose.
Reconstitution Reconstitute at 200 μg/mL in PBS.
Shipping The product is shipped at ambient temperature. Upon receipt, store it immediately at the temperature recommended below.
Stability & Storage Use a manual defrost freezer and avoid repeated freeze-thaw cycles.
  • 12 months from date of receipt, -20 to -70 °C as supplied.
  • 1 month, 2 to 8 °C under sterile conditions after reconstitution.
  • 3 months, -20 to -70 °C under sterile conditions after reconstitution.

Background: VSIG3

VSIG3, also known as IGSF11, BT-IgSF, and CLMP, is an approximately 50 kDa transmembrane adhesion protein (1). Mature human VSIG3 consists of a 219 amino acid (aa) extracellular domain (ECD) that contains two tandem Ig-like domains, a 21 aa transmembrane segment, and a 169 aa cytoplasmic domain (2). Within the ECD, human VSIG3 shares 95% aa sequence identity with mouse and rat VSIG3. Alternative splicing generates additional isoforms with a substituted signal peptide that may also have a deletion in the second Ig-like domain (3). VSIG3 is expressed on epithelial and endothelial cells, neurons and glial cells, and platelets (2-4). It localizes to epithelial tight junctions and mediates homophilic in trans cell adhesion (3-5). VSIG3 also localizes to neuronal postsynaptic densisties where it recruits the GluA1 and GluA2 subunits of AMPA receptors and supports excitatory synaptic transmission (6). The short isoform can be up-regulated in gastric cancer (7). In zebrafish, VSIG3 is expressed in melanophores and their precursors and plays a role in the development and patterning of pigment cells (8).

References

  1. Schreiber, J. et al. (2014) Adv. Neurobiol. 8:21.
  2. Suzu, S. et al. (2002) Biochem. Biophys. Res. Commun. 296:1215.
  3. Katoh, M. and M. Katoh (2003) Int. J. Oncol. 23:525.
  4. Raschperger, E. et al. (2004) J. Biol. Chem. 279:796.
  5. Harada, H. et al. (2005) J. Cell. Physiol. 204:919.
  6. Jang, S. et al. (2016) Nat. Neurosci. 19:84.
  7. Watanabe, T. et al. (2005) Cancer Sci. 96:498.
  8. Eom, D.S. et al. (2012) PLoS Genet. 8:e1002899.

Long Name

V-Set and Immunoglobulin Domain Containing 3

Alternate Names

BTIGSF, CXADRL1, IGSF11

Entrez Gene IDs

152404 (Human); 207683 (Mouse); 303926 (Rat); 102146257 (Cynomolgus Monkey)

Gene Symbol

IGSF11

UniProt

Additional VSIG3 Products

Product Documents for Recombinant Human VSIG3 Fc Chimera Biotinylated Protein, CF

Certificate of Analysis

To download a Certificate of Analysis, please enter a lot number in the search box below.

Note: Certificate of Analysis not available for kit components.

Product Specific Notices for Recombinant Human VSIG3 Fc Chimera Biotinylated Protein, CF

For research use only

Loading...
Loading...
Loading...
Loading...