Skip to main content

Recombinant Human IL-1ra/IL-1F3 Protein

R&D Systems, part of Bio-Techne | Catalog # 280-RA

R&D Systems, part of Bio-Techne
Catalog #
Availability
Size / Price
Qty
Loading...
Carrier Free
280-RA-010/CF
280-RA-050/CF

Catalog #
Availability
Size / Price
Qty
With Carrier
280-RA-200
280-RA-010

Key Product Details

  • R&D Systems E. coli-derived Recombinant Human IL-1ra/IL-1F3 Protein (280-RA)
  • Quality control testing to verify active proteins with lot specific assays by in-house scientists
  • All R&D Systems proteins are covered with a 100% guarantee

Source

E. coli

Accession #

Conjugate

Unconjugated

Applications

Bioactivity

Product Specifications

Source

E. coli-derived human IL-1ra/IL-1F3 protein

Purity

>97%, by SDS-PAGE under reducing conditions and visualized by silver stain.

Endotoxin Level

<0.10 EU per 1 μg of the protein by the LAL method.

Predicted Molecular Mass

17 kDa

Activity

Measured by its ability to inhibit IL-1 alpha-dependent proliferation in D10.G4.1 mouse helper T cells. Symons, J.A. et al. (1987) in Lymphokines and Interferons, a Practical Approach. Clemens, M.J. et al. (eds): IRL Press. 272.
The ED50 for this effect is 5-40 ng/mL in the presence of 50 pg/mL of rhIL-1 alpha.

Reviewed Applications

Read 3 reviews rated 5 using 280-RA in the following applications:

Scientific Data Images for Recombinant Human IL-1ra/IL-1F3 Protein

Recombinant Human IL-1ra/IL-1F3 Protein Bioactivity

Recombinant Human IL-1ra/IL-1F3 Protein Bioactivity

Recombinant Human IL-1ra/IL-1F3 (Catalog # 280-RA) inhibits IL-1a-dependent cell proliferation of the D10.G4.1 mouse helper T cell line. The ED50 for this effect is 5-40 ng/mL in the presence of 50 pg/mL of Recombinant Human IL-1a/IL-1F1 (Catalog # 200-LA).
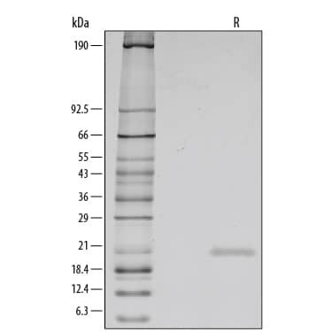
Recombinant Human IL-1ra/IL-1F3 Protein SDS-PAGE

Recombinant Human IL-1ra/IL-1F3 Protein SDS-PAGE

1 μg/lane of Recombinant Human IL-1ra/IL-1F3 was resolved with SDS-PAGE under reducing (R) conditions and visualized by silver staining, showing a single band at 20 kDa.

Formulation, Preparation and Storage

Carrier Free
What does CF mean?

CF stands for Carrier Free (CF). We typically add Bovine Serum Albumin (BSA) as a carrier protein to our recombinant proteins. Adding a carrier protein enhances protein stability, increases shelf-life, and allows the recombinant protein to be stored at a more dilute concentration. The carrier free version does not contain BSA.

What formulation is right for me?

In general, we advise purchasing the recombinant protein with BSA for use in cell or tissue culture, or as an ELISA standard. In contrast, the carrier free protein is recommended for applications, in which the presence of BSA could interfere.

Carrier: 280-RA
Formulation Lyophilized from a 0.2 μm filtered solution in PBS with BSA as a carrier protein.
Reconstitution Reconstitute at 100-500 μg/mL in sterile PBS containing at least 0.1% human or bovine serum albumin.
Shipping The product is shipped at ambient temperature. Upon receipt, store it immediately at the temperature recommended below.
Stability & Storage Use a manual defrost freezer and avoid repeated freeze-thaw cycles.
  • 12 months from date of receipt, -20 to -70 °C as supplied.
  • 1 month, 2 to 8 °C under sterile conditions after reconstitution.
  • 3 months, -20 to -70 °C under sterile conditions after reconstitution.
Carrier Free: 280-RA/CF
Formulation Lyophilized from a 0.2 μm filtered solution in PBS.
Reconstitution Reconstitute at 100 μg/mL in sterile PBS.
Shipping The product is shipped at ambient temperature. Upon receipt, store it immediately at the temperature recommended below.
Stability & Storage Use a manual defrost freezer and avoid repeated freeze-thaw cycles.
  • 12 months from date of receipt, -20 to -70 °C as supplied.
  • 1 month, 2 to 8 °C under sterile conditions after reconstitution.
  • 3 months, -20 to -70 °C under sterile conditions after reconstitution.

Background: IL-1ra/IL-1F3

IL-1ra was originally isolated from the urine of patients with monocytic leukemia and has also been purified from adherent monocytes. The naturally occurring, fully glycosylated form has an apparent molecular weight of about 25,000 Daltons. The protein shows 26% amino acid homology to IL-1 beta and 19% homology to IL-1 alpha. It will compete with either factor for receptor binding, but does not interact with either one. Human IL-1ra will bind to both types of IL-1 receptor (I and II) on human cells, but reportedly will not block binding to the type II receptor on murine pre-B cell lines. The recombinant, non-glycosylated form of IL-1ra blocks binding of IL-1 to its receptor equally as well as the naturally-occurring, glycosylated form. The IL-1ra has been shown to block the inflammatory responses induced by IL-1 both in vitro and in vivo. Currently, pre-clinical and clinical studies are underway to test possible therapeutic applications for IL-1ra in the treatment of sepsis, rheumatoid arthritis and chronic myelogenous leukemia.

Long Name

Interleukin 1 Receptor Antagonist

Alternate Names

DIRA, ICIL-1ra, IL-1F3, IL-1ra3, IL-1RN, IL1ra, IL1RN, MVCD4

Entrez Gene IDs

3557 (Human); 16181 (Mouse); 60582 (Rat); 397499 (Porcine); 100034236 (Equine)

Gene Symbol

IL1RN

UniProt

Additional IL-1ra/IL-1F3 Products

Product Documents for Recombinant Human IL-1ra/IL-1F3 Protein

Certificate of Analysis

To download a Certificate of Analysis, please enter a lot number in the search box below.

Note: Certificate of Analysis not available for kit components.

Product Specific Notices for Recombinant Human IL-1ra/IL-1F3 Protein

For research use only

Loading...
Loading...
Loading...