Skip to main content

Recombinant Human GM-CSF Protein Best Seller

R&D Systems, part of Bio-Techne | Catalog # 215-GM

Analyzed by SEC-MALS
R&D Systems, part of Bio-Techne
Catalog #
Availability
Size / Price
Qty
Loading...
Carrier Free
215-GM-010/CF
215-GM-050/CF

Catalog #
Availability
Size / Price
Qty
With Carrier
215-GM-500
215-GM-050
Show More Sizes
215-GM-010
215-GM-01M
Show Fewer Sizes

Key Product Details

  • R&D Systems E. coli-derived Recombinant Human GM-CSF Protein (215-GM)
  • Quality control testing to verify active proteins with lot specific assays by in-house scientists
  • All R&D Systems proteins are covered with a 100% guarantee

Source

E. coli

Accession #

Conjugate

Unconjugated

Applications

Bioactivity

Product Specifications

Source

E. coli-derived human GM-CSF protein
Ala18-Glu144

Purity

>97%, by SDS-PAGE under reducing conditions and visualized by silver stain.

Endotoxin Level

<1.0 EU per 1 μg of the protein by the LAL method.

N-terminal Sequence Analysis

Ala18

Predicted Molecular Mass

14 kDa

Activity

Measured in a cell proliferation assay using TF-1 human erythroleukemic cells. Kitamura, T. et al. (1989) J. Cell Physiol. 140:323.
The ED50 for this effect is 6-30 pg/mL.

Reviewed Applications

Read 20 reviews rated 4.7 using 215-GM in the following applications:

Scientific Data Images for Recombinant Human GM-CSF Protein

Recombinant Human GM‑CSF Protein SEC-MALS.

Recombinant Human GM-CSF Protein (Catalog # 215-GM) has a molecular weight (MW) of 14.1 kDa as analyzed by SEC-MALS, suggesting that this protein is a monomer.
Recombinant Human GM-CSF Protein Bioactivity

Recombinant Human GM-CSF Protein Bioactivity

Recombinant Human GM-CSF (Catalog # 215-IL) stimulates cell proliferation of the TF-1 human erythroleukemic cell line. The ED50 for this effect is 6-30 pg/mL.
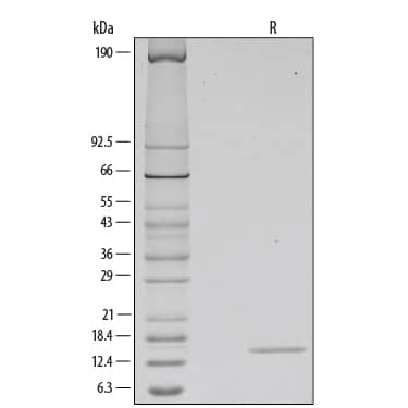
Recombinant Human GM-CSF Protein SDS-PAGE

Recombinant Human GM-CSF Protein SDS-PAGE

1 μg/lane of Recombinant Human GM-CSF was resolved with SDS-PAGE under reducing (R) conditions and visualized by silver staining, showing a single band at 14 kDa.

Formulation, Preparation and Storage

Carrier Free
What does CF mean?

CF stands for Carrier Free (CF). We typically add Bovine Serum Albumin (BSA) as a carrier protein to our recombinant proteins. Adding a carrier protein enhances protein stability, increases shelf-life, and allows the recombinant protein to be stored at a more dilute concentration. The carrier free version does not contain BSA.

What formulation is right for me?

In general, we advise purchasing the recombinant protein with BSA for use in cell or tissue culture, or as an ELISA standard. In contrast, the carrier free protein is recommended for applications, in which the presence of BSA could interfere.

Carrier: 215-GM
Formulation Lyophilized from a 0.2 μm filtered solution in PBS with BSA as a carrier protein.
Reconstitution Reconstitute at 100 μg/mL in sterile PBS containing at least 0.1% human or bovine serum albumin.
Shipping The product is shipped at ambient temperature. Upon receipt, store it immediately at the temperature recommended below.
Stability & Storage Use a manual defrost freezer and avoid repeated freeze-thaw cycles.
  • 12 months from date of receipt, -20 to -70 °C as supplied.
  • 1 month, 2 to 8 °C under sterile conditions after reconstitution.
  • 3 months, -20 to -70 °C under sterile conditions after reconstitution.
Carrier Free: 215-GM/CF
Formulation Lyophilized from a 0.2 μm filtered solution in PBS.
Reconstitution Reconstitute at 100 μg/mL in PBS.
Shipping The product is shipped at ambient temperature. Upon receipt, store it immediately at the temperature recommended below.
Stability & Storage Use a manual defrost freezer and avoid repeated freeze-thaw cycles.
  • 12 months from date of receipt, -20 to -70 °C as supplied.
  • 1 month, 2 to 8 °C under sterile conditions after reconstitution.
  • 3 months, -20 to -70 °C under sterile conditions after reconstitution.

Background: GM-CSF

GM‑CSF was initially characterized as a factor that can support the in vitro colony formation of granulocyte‑macrophage progenitors. It is also a growth factor for erythroid, megakaryocyte, and eosinophil progenitors. GM‑CSF is produced by a number of different cell types (including T cells, B cells, macrophages, mast cells, endothelial cells, fibroblasts, and adipocytes) in response to cytokine or inflammatory stimuli. On mature hematopoietic cells, GM‑CSF is a survival factor for and activates the effector functions of granulocytes, monocytes/macrophages, and eosinophils (1, 2). GM‑CSF promotes a Th1 biased immune response, angiogenesis, allergic inflammation, and the development of autoimmunity (3‑5). It shows clinical effectiveness in ameliorating chemotherapy‑induced neutropenia, and GM‑CSF transfected tumor cells are utilized as cancer vaccines (6, 7). The 22 kDa glycosylated GM‑CSF, similar to IL‑3 and IL‑5, is a cytokine with a core of four bundled
alpha-helices (8‑12). Mature human GM‑CSF shares 63%‑70% amino acid sequence identity with canine, feline, porcine, and rat GM‑CSF and 54% with mouse GM‑CSF. GM‑CSF exerts its biological effects through a heterodimeric receptor complex composed of GM‑CSF R alpha/CD116 and the signal transducing common beta chain (CD131) which is also a component of the high‑affinity receptors for IL‑3 and IL‑5 (13, 14). In addition, GM‑CSF binds a naturally occurring soluble form of GM‑CSF R alpha (15). Human GM‑CSF is active on canine and feline cells but not on murine cells (16‑18).

References

  1. Martinez-Moczygemba, M. and D.P. Huston (2003) J. Allergy Clin. Immunol. 112:653.
  2. Barreda, D.R. et al. (2004) Dev. Comp. Immunol. 28:509.
  3. Eksioglu, E.A. et al. (2007) Exp. Hematol. 35:1163.
  4. Cao, Y. (2007) J. Clin. Invest. 117:2362.
  5. Fleetwood, A.J. et al. (2005) Crit. Rev. Immunol. 25:405.
  6. Heuser, M. et al. (2007) Semin. Hematol. 44:148.
  7. Hege, K.M. et al. (2006) Int. Rev. Immunol. 25:321.
  8. Kaushansky, K. et al. (1992) Biochemistry 31:1881.
  9. Diederichs, K. et al. (1991) Science 254:1779. 
  10. Cantrell, M.A. et al. (1985) Proc. Natl. Acad. Sci. 82:6250.
  11. Lee, F. et al. (1985) Proc. Natl. Acad. Sci. 82:4360.
  12. Wong, G.G. et al. (1985) Science 228:810.
  13. Onetto-Pothier, N. et al. (1990) Blood 75:59.
  14. Hayashida, K. et al. (1990) Proc. Natl. Acad. Sci. 87:9655.
  15. Pelley, J.L. et al. (2007) Exp. Hematol. 35:1483.
  16. Hogge, G.S. et al. (1990) Cancer Gene Ther. 6:26.
  17. Sprague, W.S. et al. (2005) J. Comp. Pathol. 133:136.
  18. Shanafelt, A.B. et al. (1991) J. Biol. Chem. 266:13804.

Long Name

Granulocyte Macrophage Growth Factor

Alternate Names

CSF-2, CSF2, GMCSF, Molgramostim, Sargramostim

Entrez Gene IDs

1437 (Human); 12981 (Mouse); 116630 (Rat); 397208 (Porcine); 403923 (Canine); 493805 (Feline)

Gene Symbol

CSF2

UniProt

Additional GM-CSF Products

Product Documents for Recombinant Human GM-CSF Protein

Certificate of Analysis

To download a Certificate of Analysis, please enter a lot number in the search box below.

Note: Certificate of Analysis not available for kit components.

Product Specific Notices for Recombinant Human GM-CSF Protein

For research use only

Loading...
Loading...
Loading...