Skip to main content

Recombinant Human FGF acidic/FGF1 (aa 2-155) Protein

R&D Systems, part of Bio-Techne | Catalog # 231-BC

R&D Systems, part of Bio-Techne
Catalog #
Availability
Size / Price
Qty
Loading...
Carrier Free
231-BC-025/CF

Catalog #
Availability
Size / Price
Qty
With Carrier
231-BC-025

Key Product Details

  • R&D Systems E. coli-derived Recombinant Human FGF acidic/FGF1 (aa 2-155) Protein (231-BC)
  • Quality control testing to verify active proteins with lot specific assays by in-house scientists
  • All R&D Systems proteins are covered with a 100% guarantee

Source

E. coli

Accession #

Conjugate

Unconjugated

Applications

Bioactivity

Product Specifications

Source

E. coli-derived human FGF acidic/FGF1 protein
Ala2-Asp155

Purity

>97%, by SDS-PAGE under reducing conditions and visualized by silver stain.

Endotoxin Level

<0.10 EU per 1 μg of the protein by the LAL method.

N-terminal Sequence Analysis

Ala2

Predicted Molecular Mass

17 kDa

Activity

Measured in a cell proliferation assay using NR6R-3T3 mouse fibroblast cells. Rizzino, A. et al. (1988) Cancer Res. 48:4266; Thomas, K. et al. (1987) Methods Enzymol. 147:120.
The ED50 for this effect is 0.015-0.15 ng/mL in the presence of 10 µg/mL of heparin.

Scientific Data Images for Recombinant Human FGF acidic/FGF1 (aa 2-155) Protein

Recombinant Human FGF acidic/FGF1 (aa 2-155) Protein Bioactivity

Recombinant Human FGF acidic/FGF1 (aa 2-155) Protein Bioactivity

Recombinant Human FGF acidic/FGF1 (aa 2-155) (Catalog # 231-BC) stimulates cell proliferation of the NR6R‑3T3 mouse fibroblast cell line. The ED50 for this effect is 0.015-0.15 ng/mL in the presence of 10 μg/mL of heparin.
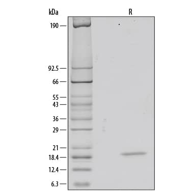
Recombinant Human FGF acidic/FGF1 (aa 2-155) Protein SDS-PAGE

Recombinant Human FGF acidic/FGF1 (aa 2-155) Protein SDS-PAGE

1 μg/lane of Recombinant Human FGF acidic/FGF1 (aa 2-155) was resolved with SDS-PAGE under reducing (R) conditions and visualized by silver staining, showing a single band at 19 kDa.

Formulation, Preparation and Storage

Carrier Free
What does CF mean?

CF stands for Carrier Free (CF). We typically add Bovine Serum Albumin (BSA) as a carrier protein to our recombinant proteins. Adding a carrier protein enhances protein stability, increases shelf-life, and allows the recombinant protein to be stored at a more dilute concentration. The carrier free version does not contain BSA.

What formulation is right for me?

In general, we advise purchasing the recombinant protein with BSA for use in cell or tissue culture, or as an ELISA standard. In contrast, the carrier free protein is recommended for applications, in which the presence of BSA could interfere.

Carrier: 231-BC
Formulation Lyophilized from a 0.2 μm filtered solution in MOPS, Na2SO4, TCEP and EDTA with BSA as a carrier protein.
Reconstitution Reconstitute at 100 μg/mL in sterile PBS containing at least 0.1% human or bovine serum albumin.
Shipping The product is shipped at ambient temperature. Upon receipt, store it immediately at the temperature recommended below.
Stability & Storage Use a manual defrost freezer and avoid repeated freeze-thaw cycles.
  • 12 months from date of receipt, -20 to -70 °C as supplied.
  • 1 month, 2 to 8 °C under sterile conditions after reconstitution.
  • 3 months, ≤ -20 °C under sterile conditions after reconstitution.
Carrier Free: 231-BC/CF
Formulation Lyophilized from a 0.2 μm filtered solution in MOPS, Na2SO4, TCEP and EDTA.
Reconstitution Reconstitute at 100 μg/mL in sterile PBS.
Shipping The product is shipped at ambient temperature. Upon receipt, store it immediately at the temperature recommended below.
Stability & Storage Use a manual defrost freezer and avoid repeated freeze-thaw cycles.
  • 12 months from date of receipt, -20 to -70 °C as supplied.
  • 1 month, 2 to 8 °C under sterile conditions after reconstitution.
  • 3 months, ≤ -20 °C under sterile conditions after reconstitution.

Background: FGF acidic/FGF1

FGF acidic, also known as FGF1, ECGF, and HBGF-1, is a 17 kDa nonglycosylated member of the FGF family of mitogenic peptides. FGF acidic, which is produced by multiple cell types, stimulates the proliferation of all cells of mesodermal origin and many cells of neuroectodermal, ectodermal, and endodermal origin. It plays a number of roles in development, regeneration, and angiogenesis (1-3). Human FGF acidic shares 54% amino acid (aa) sequence identity with FGF basic and 17%-33% with other human FGFs. It shares 92%, 96%, 96%, and 96% aa sequence identity with bovine, mouse, porcine, and rat FGF acidic, respectively, and exhibits considerable species crossreactivity. Alternate splicing generates a truncated isoform of human FGF acidic that consists of the N-terminal 40% of the molecule and functions as a receptor antagonist (4). During its nonclassical secretion, FGF acidic associates with S100A13, copper ions, and the C2A domain of synaptotagmin 1 (5). It is released extracellularly as a disulfide-linked homodimer and is stored in complex with extracellular heparan sulfate (6). The ability of heparan sulfate to bind FGF acidic is determined by its pattern of sulfation, and alterations in this pattern during embryognesis thereby regulate FGF acidic bioactivity (7). The association of FGF acidic with heparan sulfate is a prerequisite for its subsequent interaction with FGF receptors (8, 9). Ligation triggers receptor dimerization, transphosphorylation, and internalization of receptor/FGF complexes (10). Internalized FGF acidic can translocate to the cytosol with the assistance of Hsp90 and then migrate to the nucleus by means of its two nuclear localization signals (11-13). The phosphorylation of FGF acidic by nuclear PKC delta triggers its active export to the cytosol where it is dephosphorylated and degraded (14, 15). Intracellular FGF acidic functions as a survival factor by inhibiting p53 activity and proapoptotic signaling (16).

References

  1. Jaye, M. et al. (1986) Science 233:541.
  2. Galzie, Z. et al. (1997) Biochem. Cell Biol. 75:669.
  3. Presta, M. et al. (2005) Cytokine Growth Factor Rev. 16:159.
  4. Yu, Y.L. et al. (1992) J. Exp. Med. 175:1073.
  5. Rajalingam, D. et al. (2007) Biochemistry 46:9225.
  6. Guerrini, M. et al. (2007) Curr. Pharm. Des. 13:2045.
  7. Allen, B.L. and A.C. Rapraeger (2003) J. Cell Biol. 163:637.
  8. Robinson, C.J. et al. (2005) J. Biol. Chem. 280:42274.
  9. Mohammadi, M. et al. (2005) Cytokine Growth Factor Rev. 16:107.
  10. Wiedlocha, A. and V. Sorensen (2004) Curr. Top. Microbiol. Immunol. 286:45.
  11. Wesche, J. et al. (2006) J. Biol. Chem. 281:11405.
  12. Imamura, T. et al. (1990) Science 249:1567.
  13. Wesche, J. et al. (2005) Biochemistry 44:6071.
  14. Wiedlocha, A. et al. (2005) Mol. Biol. Cell 16:794.
  15. Nilsen, T. et al. (2007) J. Biol. Chem. 282:26245.
  16. Bouleau, S. et al. (2005) Oncogene 24:7839.

Long Name

Fibroblast Growth Factor acidic

Alternate Names

alpha-ECGF, beta-ECGF, FGF acidic, FGF-1, HBGF-1

Entrez Gene IDs

2246 (Human); 14164 (Mouse); 25317 (Rat); 281160 (Bovine)

Gene Symbol

FGF1

UniProt

Additional FGF acidic/FGF1 Products

Product Documents for Recombinant Human FGF acidic/FGF1 (aa 2-155) Protein

Certificate of Analysis

To download a Certificate of Analysis, please enter a lot number in the search box below.

Note: Certificate of Analysis not available for kit components.

Product Specific Notices for Recombinant Human FGF acidic/FGF1 (aa 2-155) Protein

For research use only

Loading...
Loading...
Loading...