Skip to main content

Recombinant Human CD69 Protein, CF

R&D Systems, part of Bio-Techne | Catalog # 8468-CD

R&D Systems, part of Bio-Techne
Catalog #
Availability
Size / Price
Qty
Loading...
8468-CD-025

Key Product Details

  • R&D Systems NS0-derived Recombinant Human CD69 Protein (8468-CD)
  • Quality control testing to verify active proteins with lot specific assays by in-house scientists
  • All R&D Systems proteins are covered with a 100% guarantee

Source

NS0

Accession #

Structure / Form

Disulfide-linked homodimer

Conjugate

Unconjugated

Applications

Bioactivity

Product Specifications

Source

Mouse myeloma cell line, NS0-derived human CD69 protein
Gly64-Lys199 with an N-terminal 9-His tag

Purity

>95%, by SDS-PAGE with silver staining.

Endotoxin Level

<0.10 EU per 1 μg of the protein by the LAL method.

N-terminal Sequence Analysis

His

Predicted Molecular Mass

17 kDa

SDS-PAGE

20-30 kDa, reducing conditions

Activity

Measured by its binding ability in a functional ELISA.
When Recombinant Human CD69 is coated at  5 µg/mL (100 µL/well), the concentration of Recombinant Human Galectin-1 (Catalog # 1152-GA) that produces a 50% optimal binding response is 0.4-2 µg/mL.

Scientific Data Images for Recombinant Human CD69 Protein, CF

Recombinant Human CD69 Protein Binding Activity

Recombinant Human CD69 Protein Binding Activity

When Recombinant Human CD69 is coated at 5 µg/mL (100 µL/well), the concentration of Recombinant Human Galectin-1 Recombinant Human Galectin-1 (Catalog # 1152-GA) that produces a 50% optimal binding response is 0.4-2 µg/mL.
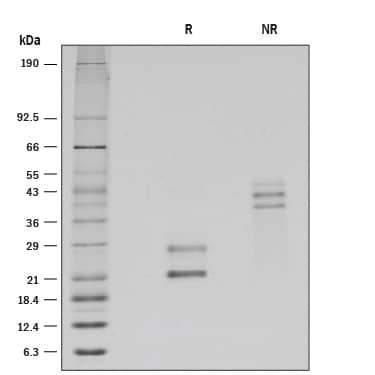
Recombinant Human CD69 Protein SDS-PAGE

Recombinant Human CD69 Protein SDS-PAGE

1 μg/lane of Recombinant Human CD69 was resolved with SDS-PAGE under reducing (R) and non-reducing (NR) conditions and visualized by silver staining, showing R bands at 22.0, 27.9 kDa and NR bands at 39.3, 42.1, 47.2 kDa.

Formulation, Preparation and Storage

8468-CD
Formulation Lyophilized from a 0.2 μm filtered solution in PBS.
Reconstitution
Reconstitute at 250 μg/mL in PBS.

Reconstitution Buffer Available:
Size / Price
Qty
Loading...
Shipping The product is shipped at ambient temperature. Upon receipt, store it immediately at the temperature recommended below.
Stability & Storage Use a manual defrost freezer and avoid repeated freeze-thaw cycles.
  • 12 months from date of receipt, -20 to -70 °C as supplied.
  • 1 month, 2 to 8 °C under sterile conditions after reconstitution.
  • 3 months, -20 to -70 °C under sterile conditions after reconstitution.

Background: CD69

CD69, also known as CLEC2C, is a type 2 transmembrane glycoprotein in the C-type lectin family. It plays roles in immune cell trafficking, inflammation, T cell memory, and humoral immune responses (1). Mature human CD69 consists of a 40 amino acid (aa) cytoplasmic domain, a 21 aa transmembrane segment, and a 138 aa extracellular domain with one C-type lectin domain (CTL) (2-4). Within the ECD, human CD69 shares 57% aa sequence identity with mouse and rat CD69. CD69 is expressed on the cell surface as an approximately 60 kDa disulfide-linked homodimer (3-5). It is found on CD4+ T cells, CD8+ T cells, NK cells, NKT cells, gamma delta cells dendritic cells (DC) and is up-regulated on activated T cells and DC (6-8). Ligation of CD69 on DC induces IL-2 production, leading to T cell proliferation (6). CD69 is important for the homing of CD4+ T cells and plasmablasts to the bone marrow but inhibits the migration of dermal DC to draining lymph nodes (7, 9). It supports the expression of multiple chemokines and chemokine receptors but suppresses the expression of others (10, 11). It associates with and negatively regulates S1P1 expression on DC and CD4+ T cells, resulting in a decreased chemotactic response to S1P (7, 12, 13). S1P1 similarly inhibits the cell surface expression of CD69 (12). The direct interaction of CD69 with Galectin-1 contributes to the ability of CD69 to limit Th17 mediated inflamamtion while supporting the differentiation of regulatory T cells (8, 10, 13-16). In various disease models, CD69 has been shown to have both enhancing and inhibitory effects on Th17 and Th2 cell mediated inflammation (8, 10, 11, 13, 16, 17).

References

  1. Gonzalez-Amaro, R. et al. (2013) Trends Mol. Med. 19:625.
  2. Ziegler, S.F. et al. (1993) Eur. J. Immunol. 23:1643.
  3. Hamann, J. et al. (1993) J. Immunol. 150:4920.
  4. Lopez-Cabrera, M. et al. (1993) J. Exp. Med. 178:537.
  5. Bieber, T. et al. (1992) J. Invest. Dermatol. 98:771.
  6. Alari-Pahissa, E. et al. (2012) J. Leukoc. Biol. 92:145.
  7. Lamana, A. et al. (2011) J. Invest. Dermatol. 131:1503.
  8. Radulovic, K. et al. (2012) J. Immunol. 188:2001.
  9. Shinoda, K. et al. (2012) Proc. Natl. Acad. Sci. USA 109:7409.
  10. Radulovic, K. et al. (2013) PLoS ONE 8:e65413.
  11. Hasegawa, A. et al. (2013) PLoS ONE 8:e65494.
  12. Shiow, L.R. et al. (2006) Nature 440:540.
  13. Martin, P. et al. (2010) J. Allergy Clin. Immunol. 126:355.
  14. Martin, P. et al. (2010) Mol. Cell. Biol. 30:4877.
  15. de la Fuente, H. et al. (2014) Mol. Cell. Biol. 34:2479.
  16. Cruz-Adalia, A. et al. (2010) Circulation 122:1396.
  17. Miki-Hosokawa, T. et al. (2009) J. Immunol. 183:8203.

Alternate Names

CD69, EA-1, Leu23, MLR-3, p60

Entrez Gene IDs

969 (Human); 12515 (Mouse)

Gene Symbol

CD69

UniProt

Additional CD69 Products

Product Documents for Recombinant Human CD69 Protein, CF

Certificate of Analysis

To download a Certificate of Analysis, please enter a lot number in the search box below.

Note: Certificate of Analysis not available for kit components.

Product Specific Notices for Recombinant Human CD69 Protein, CF

For research use only

Loading...
Loading...
Loading...