Recombinant Human BMP-9 Protein, CF
R&D Systems, part of Bio-Techne | Catalog # 3209-BP/CF
Key Product Details
- R&D Systems CHO-derived Recombinant Human BMP-9 Protein (3209-BP/CF)
- Quality control testing to verify active proteins with lot specific assays by in-house scientists
- All R&D Systems proteins are covered with a 100% guarantee
Source
Accession #
Structure / Form
Conjugate
Applications
Product Specifications
Source
Ser320-Arg429
Purity
Endotoxin Level
N-terminal Sequence Analysis
Predicted Molecular Mass
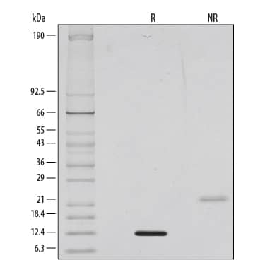
SDS-PAGE
Activity
The ED50 for this effect is 0.4-1.6 ng/mL.
Scientific Data Images for Recombinant Human BMP-9 Protein, CF
Recombinant Human BMP-9 Protein Bioactivity
Recombinant Human BMP-9 (Catalog # 3209-BP/CF) induces alkaline phosphatase production in the ATDC5 mouse chondrogenic cell line. The ED50 for this effect is 0.4-1.6 ng/mL.Recombinant Human BMP-9 Protein SDS-PAGE
1 μg/lane of Recombinant Human BMP-9 was resolved with SDS-PAGE under reducing (R) and non-reducing (NR) conditions and visualized by silver staining, showing single bands at 13 kDa and 23 kDa, respectively.Formulation, Preparation and Storage
3209-BP/CF
| Formulation | Supplied as a 0.2 μm filtered solution in Acetonitrile and TFA. |
| Reconstitution | It is recommended that sterile 4 mM HCl be added to the vial to prepare a working stock solution of no less than 100 μg/mL. The carrier-free protein should be used immediately upon dilution to avoid losses in activity due to non-specific binding to the inside surface of the vial. For long term storage as a dilute solution, a carrier protein (e.g. 0.1% HSA or BSA) should be added to the vial. |
| Shipping | The product is shipped with dry ice or equivalent. Upon receipt, store it immediately at the temperature recommended below. |
| Stability & Storage | Use a manual defrost freezer and avoid repeated freeze-thaw cycles.
|
Background: BMP-9
Human BMP-9, also known as growth and differentiation factor 2 (GDF-2), is a member of the BMP subgroup of the TGF-beta superfamily proteins that signal through heterodimeric complexes composed of type I and type II BMP receptors. BMP-9 regulates the development and function of a variety of embryonal and adult tissues (1, 2). The human BMP-9 cDNA encodes a 429 amino acid (aa) precursor that includes a 22 aa signal sequence, a 298 aa propeptide, and a 111 aa mature protein (3). Unlike with other BMP family proteins, the propeptide does not interfere with the biological activity of BMP-9 and remains associated with the mature peptide after proteolytic cleavage (4). Human and mouse BMP-9 share 96% aa sequence identity. Within the mature protein, human BMP-9 shares 64% aa sequence identity with human BMP-10 and less than 50% aa sequence identity with other BMPs. BMP-9 is expressed by non-parenchymal cells in the liver, (5, 6) where it promotes lipid metabolism and inhibits glucose production (7). BMP-9 exerts a prolonged hypoglycemic effect which may be due to an enhancement of insulin release (7). BMP-9 interacts with a high affinity specific heteromeric receptor expressed on liver endothelial cells that has been identified as ALK-1 (4 - 6). In the embryonal CNS, BMP-9 functions in the development and maintenance of the cholinergic neuronal phenotype (8 - 10). BMP-9 also induces the differentiation of mesenchymal stem cells into the chondrogenic lineage (11, 12). At low concentrations, BMP-9 is a proliferative factor for hematopoietic progenitor cells, but at higher concentrations, it enhances TGF-beta 1 production and inhibits hematopoietic progenitor colony formation (13).
References
- Chen, D. et al. (2004) Growth Factors 22:233.
- Miyazono, K. et al. (2005) Cytokine Growth Factor Rev. 16:251.
- Celeste, A.J. et al. (1994) J. Bone Miner. Res. 9:S136.
- Brown, M.A. et al. (2005) J. Biol. Chem. 280:25111.
- Song, J.J. et al. (1995) Endocrinology 136:4293.
- Miller, A.F. et al. (2000) J. Biol. Chem. 275:17937.
- Chen, C. et al. (2003) Nat. Biotechnol. 21:294.
- Lopez-Coviella, I. et al. (2000) Science 289:313.
- Lopez-Coviella, I. et al. (2005) Proc. Natl. Acad. Sci. 102:6984.
- Lopez-Coviella, I. et al. (2002) J. Physiol. Paris 96:53.
- Majumdar, M.K. et al. (2001) J. Cell. Physiol. 189:275.
- Hills, R.L. et al. (2005) J. Orthoped. Res. 23:611.
- Ploemacher, R.E. et al. (1999) Leukemia 13:428.
Long Name
Alternate Names
Gene Symbol
UniProt
Additional BMP-9 Products
Product Documents for Recombinant Human BMP-9 Protein, CF
Product Specific Notices for Recombinant Human BMP-9 Protein, CF
For research use only