Immunohistochemistry: ZIC1 Antibody - BSA Free [NB600-488]
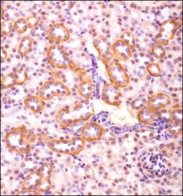
Immunohistochemistry: ZIC1 Antibody [NB600-488] - IHC analysis of Zic1 in mouse kidney using DAB with hematoxylin counterstain.
Immunohistochemistry-Paraffin: ZIC1 Antibody - BSA Free [NB600-488]
ZIC1-Antibody-Immunohistochemistry-Paraffin-NB600-488-img0006.jpg
Immunocytochemistry/ Immunofluorescence: ZIC1 Antibody - BSA Free [NB600-488] -
Immunocytochemistry/ Immunofluorescence: ZIC1 Antibody - BSA Free [NB600-488] - Altered brain pericyte proliferation in Foxc1 mutants.(A–C) PDGFr beta (green) & IB4 (red) immunofluorescence highlight pericyte cell bodies in the cortices of E14.5 WT, Foxc1h/h & Foxc1l/l. (D–F) Triple immunofluorescence for Zic1 (pericyte nuclei; green), BrdU (red) & IB4 (blue) highlight proliferating (Zic1+/BrdU+; arrows) pericytes in the E14.5 cerebral vasculature of WT, Foxc1h/h & Foxc1l/l embryos. (G) Graph depicting quantification of Zic1+ pericyte nuclei/vessel length in all three genotypes at E14.5. (H) Graph depicting quantification of pericyte proliferation (labeling index) at E14.5. Scale bars: 100 µm. Means represent analysis of three independent litters for each mutant genotype (n = 3). Asterisks indicate a statistically significance difference from WT (P<0.05). Error bars depict ±SEM. Image collected & cropped by CiteAb from the following publication (https://journals.biologists.com/bio/article/2/7/647/845/Foxc1-is-required-by-pericytes-during-fetal-brain), licensed under a CC-BY license. Not internally tested by Novus Biologicals.
Immunocytochemistry/ Immunofluorescence: ZIC1 Antibody - BSA Free [NB600-488] -
Immunocytochemistry/ Immunofluorescence: ZIC1 Antibody - BSA Free [NB600-488] - Altered brain pericyte proliferation in Foxc1 mutants.(A–C) PDGFr beta (green) & IB4 (red) immunofluorescence highlight pericyte cell bodies in the cortices of E14.5 WT, Foxc1h/h & Foxc1l/l. (D–F) Triple immunofluorescence for Zic1 (pericyte nuclei; green), BrdU (red) & IB4 (blue) highlight proliferating (Zic1+/BrdU+; arrows) pericytes in the E14.5 cerebral vasculature of WT, Foxc1h/h & Foxc1l/l embryos. (G) Graph depicting quantification of Zic1+ pericyte nuclei/vessel length in all three genotypes at E14.5. (H) Graph depicting quantification of pericyte proliferation (labeling index) at E14.5. Scale bars: 100 µm. Means represent analysis of three independent litters for each mutant genotype (n = 3). Asterisks indicate a statistically significance difference from WT (P<0.05). Error bars depict ±SEM. Image collected & cropped by CiteAb from the following publication (https://journals.biologists.com/bio/article/2/7/647/845/Foxc1-is-required-by-pericytes-during-fetal-brain), licensed under a CC-BY license. Not internally tested by Novus Biologicals.
Immunocytochemistry/ Immunofluorescence: ZIC1 Antibody - BSA Free [NB600-488] -
Immunocytochemistry/ Immunofluorescence: ZIC1 Antibody - BSA Free [NB600-488] - Pericyte conditional Foxc1 mutants have increased pericyte proliferation & density in the cerebral vasculature.(A,C) Zic1 (green) & IB4 (red) co-immunofluorescence in the cortices of PDGFr beta-cre; Foxc1fl-fl mutant & PDGFr beta-cre; Foxc1fl-+ brains at E14.5. (B,D) PDGFr beta (green) & IB4 (red) co-immunofluorescence in the cortices of PDGFr beta-cre; Foxc1fl-fl mutant & PDGFr beta-cre; Foxc1fl-+ brains at E14.5. Arrowheads indicate PDGFr beta+ pericytes. (E,F) Zic1 (green), BrdU (red), & IB4 (blue) triple immunofluorescence of E14.5 PDGFr beta-cre; Foxc1fl-fl mutant & PDGFr beta-cre; Foxc1fl-+ cerebral cortex. Arrows indicate Zic1+/BrdU+ pericytes. (G) Graph depicts quantification of Zic1+ pericyte proliferation (labeling index) in the cerebral vasculature at E14.5. (H,J) Zic1 (green) & IB4 (red) co-immunofluorescence in the cortices of PDGFr beta-cre; Foxc1fl-fl mutant & PDGFr beta-cre; Foxc1fl-+ brains at E18.5. (I,K) PDGFr beta (green) & IB4 (red) co-immunofluorescence in the cortices of PDGFr beta-cre; Foxc1fl-fl mutant & PDGFr beta-cre; Foxc1fl-+ brains at E18.5. Arrowheads indicate PDGFr beta+ pericytes. (L) Graph depicts pericyte density (Zic1+ pericyte nuclei/vessel length) in the cerebral vasculature at E14.5 & E18.5 in PDGFr beta-cre; Foxc1fl-fl mutant & PDGFr beta-cre; Foxc1fl-+ animals. Asterisks indicate a statistically significance difference from PDGFr beta-cre; Foxc1fl-+ samples (P<0.05). Analysis of pericyte proliferation & density was performed on control & mutant brains from three separate litters at each time point (n = 3). Error bars depict ±SEM. Scale bars in A,C,E,F,H,J: 100 µm. Scale bars in B,D,I,K: 50 µm. Image collected & cropped by CiteAb from the following publication (https://journals.biologists.com/bio/article/2/7/647/845/Foxc1-is-required-by-pericytes-during-fetal-brain), licensed under a CC-BY license. Not internally tested by Novus Biologicals.
Immunocytochemistry/ Immunofluorescence: ZIC1 Antibody - BSA Free [NB600-488] -
Immunocytochemistry/ Immunofluorescence: ZIC1 Antibody - BSA Free [NB600-488] - Pericyte conditional Foxc1 mutants have increased pericyte proliferation & density in the cerebral vasculature.(A,C) Zic1 (green) & IB4 (red) co-immunofluorescence in the cortices of PDGFr beta-cre; Foxc1fl-fl mutant & PDGFr beta-cre; Foxc1fl-+ brains at E14.5. (B,D) PDGFr beta (green) & IB4 (red) co-immunofluorescence in the cortices of PDGFr beta-cre; Foxc1fl-fl mutant & PDGFr beta-cre; Foxc1fl-+ brains at E14.5. Arrowheads indicate PDGFr beta+ pericytes. (E,F) Zic1 (green), BrdU (red), & IB4 (blue) triple immunofluorescence of E14.5 PDGFr beta-cre; Foxc1fl-fl mutant & PDGFr beta-cre; Foxc1fl-+ cerebral cortex. Arrows indicate Zic1+/BrdU+ pericytes. (G) Graph depicts quantification of Zic1+ pericyte proliferation (labeling index) in the cerebral vasculature at E14.5. (H,J) Zic1 (green) & IB4 (red) co-immunofluorescence in the cortices of PDGFr beta-cre; Foxc1fl-fl mutant & PDGFr beta-cre; Foxc1fl-+ brains at E18.5. (I,K) PDGFr beta (green) & IB4 (red) co-immunofluorescence in the cortices of PDGFr beta-cre; Foxc1fl-fl mutant & PDGFr beta-cre; Foxc1fl-+ brains at E18.5. Arrowheads indicate PDGFr beta+ pericytes. (L) Graph depicts pericyte density (Zic1+ pericyte nuclei/vessel length) in the cerebral vasculature at E14.5 & E18.5 in PDGFr beta-cre; Foxc1fl-fl mutant & PDGFr beta-cre; Foxc1fl-+ animals. Asterisks indicate a statistically significance difference from PDGFr beta-cre; Foxc1fl-+ samples (P<0.05). Analysis of pericyte proliferation & density was performed on control & mutant brains from three separate litters at each time point (n = 3). Error bars depict ±SEM. Scale bars in A,C,E,F,H,J: 100 µm. Scale bars in B,D,I,K: 50 µm. Image collected & cropped by CiteAb from the following publication (https://journals.biologists.com/bio/article/2/7/647/845/Foxc1-is-required-by-pericytes-during-fetal-brain), licensed under a CC-BY license. Not internally tested by Novus Biologicals.
Immunocytochemistry/ Immunofluorescence: ZIC1 Antibody - BSA Free [NB600-488] -
Immunocytochemistry/ Immunofluorescence: ZIC1 Antibody - BSA Free [NB600-488] - Pericyte conditional Foxc1 mutants have increased pericyte proliferation & density in the cerebral vasculature.(A,C) Zic1 (green) & IB4 (red) co-immunofluorescence in the cortices of PDGFr beta-cre; Foxc1fl-fl mutant & PDGFr beta-cre; Foxc1fl-+ brains at E14.5. (B,D) PDGFr beta (green) & IB4 (red) co-immunofluorescence in the cortices of PDGFr beta-cre; Foxc1fl-fl mutant & PDGFr beta-cre; Foxc1fl-+ brains at E14.5. Arrowheads indicate PDGFr beta+ pericytes. (E,F) Zic1 (green), BrdU (red), & IB4 (blue) triple immunofluorescence of E14.5 PDGFr beta-cre; Foxc1fl-fl mutant & PDGFr beta-cre; Foxc1fl-+ cerebral cortex. Arrows indicate Zic1+/BrdU+ pericytes. (G) Graph depicts quantification of Zic1+ pericyte proliferation (labeling index) in the cerebral vasculature at E14.5. (H,J) Zic1 (green) & IB4 (red) co-immunofluorescence in the cortices of PDGFr beta-cre; Foxc1fl-fl mutant & PDGFr beta-cre; Foxc1fl-+ brains at E18.5. (I,K) PDGFr beta (green) & IB4 (red) co-immunofluorescence in the cortices of PDGFr beta-cre; Foxc1fl-fl mutant & PDGFr beta-cre; Foxc1fl-+ brains at E18.5. Arrowheads indicate PDGFr beta+ pericytes. (L) Graph depicts pericyte density (Zic1+ pericyte nuclei/vessel length) in the cerebral vasculature at E14.5 & E18.5 in PDGFr beta-cre; Foxc1fl-fl mutant & PDGFr beta-cre; Foxc1fl-+ animals. Asterisks indicate a statistically significance difference from PDGFr beta-cre; Foxc1fl-+ samples (P<0.05). Analysis of pericyte proliferation & density was performed on control & mutant brains from three separate litters at each time point (n = 3). Error bars depict ±SEM. Scale bars in A,C,E,F,H,J: 100 µm. Scale bars in B,D,I,K: 50 µm. Image collected & cropped by CiteAb from the following publication (https://journals.biologists.com/bio/article/2/7/647/845/Foxc1-is-required-by-pericytes-during-fetal-brain), licensed under a CC-BY license. Not internally tested by Novus Biologicals.
Immunocytochemistry/ Immunofluorescence: ZIC1 Antibody - BSA Free [NB600-488] -
Immunocytochemistry/ Immunofluorescence: ZIC1 Antibody - BSA Free [NB600-488] - Pericyte conditional Foxc1 mutants have increased pericyte proliferation & density in the cerebral vasculature.(A,C) Zic1 (green) & IB4 (red) co-immunofluorescence in the cortices of PDGFr beta-cre; Foxc1fl-fl mutant & PDGFr beta-cre; Foxc1fl-+ brains at E14.5. (B,D) PDGFr beta (green) & IB4 (red) co-immunofluorescence in the cortices of PDGFr beta-cre; Foxc1fl-fl mutant & PDGFr beta-cre; Foxc1fl-+ brains at E14.5. Arrowheads indicate PDGFr beta+ pericytes. (E,F) Zic1 (green), BrdU (red), & IB4 (blue) triple immunofluorescence of E14.5 PDGFr beta-cre; Foxc1fl-fl mutant & PDGFr beta-cre; Foxc1fl-+ cerebral cortex. Arrows indicate Zic1+/BrdU+ pericytes. (G) Graph depicts quantification of Zic1+ pericyte proliferation (labeling index) in the cerebral vasculature at E14.5. (H,J) Zic1 (green) & IB4 (red) co-immunofluorescence in the cortices of PDGFr beta-cre; Foxc1fl-fl mutant & PDGFr beta-cre; Foxc1fl-+ brains at E18.5. (I,K) PDGFr beta (green) & IB4 (red) co-immunofluorescence in the cortices of PDGFr beta-cre; Foxc1fl-fl mutant & PDGFr beta-cre; Foxc1fl-+ brains at E18.5. Arrowheads indicate PDGFr beta+ pericytes. (L) Graph depicts pericyte density (Zic1+ pericyte nuclei/vessel length) in the cerebral vasculature at E14.5 & E18.5 in PDGFr beta-cre; Foxc1fl-fl mutant & PDGFr beta-cre; Foxc1fl-+ animals. Asterisks indicate a statistically significance difference from PDGFr beta-cre; Foxc1fl-+ samples (P<0.05). Analysis of pericyte proliferation & density was performed on control & mutant brains from three separate litters at each time point (n = 3). Error bars depict ±SEM. Scale bars in A,C,E,F,H,J: 100 µm. Scale bars in B,D,I,K: 50 µm. Image collected & cropped by CiteAb from the following publication (https://journals.biologists.com/bio/article/2/7/647/845/Foxc1-is-required-by-pericytes-during-fetal-brain), licensed under a CC-BY license. Not internally tested by Novus Biologicals.
Immunocytochemistry/ Immunofluorescence: ZIC1 Antibody - BSA Free [NB600-488] -
Immunocytochemistry/ Immunofluorescence: ZIC1 Antibody - BSA Free [NB600-488] - Pericyte conditional Foxc1 mutants have increased pericyte proliferation & density in the cerebral vasculature.(A,C) Zic1 (green) & IB4 (red) co-immunofluorescence in the cortices of PDGFr beta-cre; Foxc1fl-fl mutant & PDGFr beta-cre; Foxc1fl-+ brains at E14.5. (B,D) PDGFr beta (green) & IB4 (red) co-immunofluorescence in the cortices of PDGFr beta-cre; Foxc1fl-fl mutant & PDGFr beta-cre; Foxc1fl-+ brains at E14.5. Arrowheads indicate PDGFr beta+ pericytes. (E,F) Zic1 (green), BrdU (red), & IB4 (blue) triple immunofluorescence of E14.5 PDGFr beta-cre; Foxc1fl-fl mutant & PDGFr beta-cre; Foxc1fl-+ cerebral cortex. Arrows indicate Zic1+/BrdU+ pericytes. (G) Graph depicts quantification of Zic1+ pericyte proliferation (labeling index) in the cerebral vasculature at E14.5. (H,J) Zic1 (green) & IB4 (red) co-immunofluorescence in the cortices of PDGFr beta-cre; Foxc1fl-fl mutant & PDGFr beta-cre; Foxc1fl-+ brains at E18.5. (I,K) PDGFr beta (green) & IB4 (red) co-immunofluorescence in the cortices of PDGFr beta-cre; Foxc1fl-fl mutant & PDGFr beta-cre; Foxc1fl-+ brains at E18.5. Arrowheads indicate PDGFr beta+ pericytes. (L) Graph depicts pericyte density (Zic1+ pericyte nuclei/vessel length) in the cerebral vasculature at E14.5 & E18.5 in PDGFr beta-cre; Foxc1fl-fl mutant & PDGFr beta-cre; Foxc1fl-+ animals. Asterisks indicate a statistically significance difference from PDGFr beta-cre; Foxc1fl-+ samples (P<0.05). Analysis of pericyte proliferation & density was performed on control & mutant brains from three separate litters at each time point (n = 3). Error bars depict ±SEM. Scale bars in A,C,E,F,H,J: 100 µm. Scale bars in B,D,I,K: 50 µm. Image collected & cropped by CiteAb from the following publication (https://journals.biologists.com/bio/article/2/7/647/845/Foxc1-is-required-by-pericytes-during-fetal-brain), licensed under a CC-BY license. Not internally tested by Novus Biologicals.
Immunocytochemistry/ Immunofluorescence: ZIC1 Antibody - BSA Free [NB600-488] -
Immunocytochemistry/ Immunofluorescence: ZIC1 Antibody - BSA Free [NB600-488] - Pericyte conditional Foxc1 mutants have increased pericyte proliferation & density in the cerebral vasculature.(A,C) Zic1 (green) & IB4 (red) co-immunofluorescence in the cortices of PDGFr beta-cre; Foxc1fl-fl mutant & PDGFr beta-cre; Foxc1fl-+ brains at E14.5. (B,D) PDGFr beta (green) & IB4 (red) co-immunofluorescence in the cortices of PDGFr beta-cre; Foxc1fl-fl mutant & PDGFr beta-cre; Foxc1fl-+ brains at E14.5. Arrowheads indicate PDGFr beta+ pericytes. (E,F) Zic1 (green), BrdU (red), & IB4 (blue) triple immunofluorescence of E14.5 PDGFr beta-cre; Foxc1fl-fl mutant & PDGFr beta-cre; Foxc1fl-+ cerebral cortex. Arrows indicate Zic1+/BrdU+ pericytes. (G) Graph depicts quantification of Zic1+ pericyte proliferation (labeling index) in the cerebral vasculature at E14.5. (H,J) Zic1 (green) & IB4 (red) co-immunofluorescence in the cortices of PDGFr beta-cre; Foxc1fl-fl mutant & PDGFr beta-cre; Foxc1fl-+ brains at E18.5. (I,K) PDGFr beta (green) & IB4 (red) co-immunofluorescence in the cortices of PDGFr beta-cre; Foxc1fl-fl mutant & PDGFr beta-cre; Foxc1fl-+ brains at E18.5. Arrowheads indicate PDGFr beta+ pericytes. (L) Graph depicts pericyte density (Zic1+ pericyte nuclei/vessel length) in the cerebral vasculature at E14.5 & E18.5 in PDGFr beta-cre; Foxc1fl-fl mutant & PDGFr beta-cre; Foxc1fl-+ animals. Asterisks indicate a statistically significance difference from PDGFr beta-cre; Foxc1fl-+ samples (P<0.05). Analysis of pericyte proliferation & density was performed on control & mutant brains from three separate litters at each time point (n = 3). Error bars depict ±SEM. Scale bars in A,C,E,F,H,J: 100 µm. Scale bars in B,D,I,K: 50 µm. Image collected & cropped by CiteAb from the following publication (https://journals.biologists.com/bio/article/2/7/647/845/Foxc1-is-required-by-pericytes-during-fetal-brain), licensed under a CC-BY license. Not internally tested by Novus Biologicals.
Immunocytochemistry/ Immunofluorescence: ZIC1 Antibody - BSA Free [NB600-488] -
Immunocytochemistry/ Immunofluorescence: ZIC1 Antibody - BSA Free [NB600-488] - Altered brain pericyte proliferation in Foxc1 mutants.(A–C) PDGFr beta (green) & IB4 (red) immunofluorescence highlight pericyte cell bodies in the cortices of E14.5 WT, Foxc1h/h & Foxc1l/l. (D–F) Triple immunofluorescence for Zic1 (pericyte nuclei; green), BrdU (red) & IB4 (blue) highlight proliferating (Zic1+/BrdU+; arrows) pericytes in the E14.5 cerebral vasculature of WT, Foxc1h/h & Foxc1l/l embryos. (G) Graph depicting quantification of Zic1+ pericyte nuclei/vessel length in all three genotypes at E14.5. (H) Graph depicting quantification of pericyte proliferation (labeling index) at E14.5. Scale bars: 100 µm. Means represent analysis of three independent litters for each mutant genotype (n = 3). Asterisks indicate a statistically significance difference from WT (P<0.05). Error bars depict ±SEM. Image collected & cropped by CiteAb from the following publication (https://journals.biologists.com/bio/article/2/7/647/845/Foxc1-is-required-by-pericytes-during-fetal-brain), licensed under a CC-BY license. Not internally tested by Novus Biologicals.