Skip to main content

XPA Antibody (2E4) - Azide and BSA Free

Novus Biologicals, part of Bio-Techne | Catalog # H00007507-M01

Novus Biologicals, part of Bio-Techne
Catalog #
Availability
Size / Price
Qty
Loading...
H00007507-M01

Key Product Details

Species Reactivity

Human

Applications

Western Blot, ELISA, Sandwich ELISA, Immunocytochemistry/ Immunofluorescence

Label

Unconjugated

Antibody Source

Monoclonal Mouse IgG2a Kappa Clone # 2E4

Format

Azide and BSA Free

Concentration

Concentrations vary lot to lot. See vial label for concentration. If unlisted please contact technical services.

Product Specifications

Immunogen

XPA (NP_000371.1, 1 a.a. ~ 273 a.a) full-length recombinant protein with GST tag. MW of the GST tag alone is 26 KDa. MAAADGALPEAAALEQPAELPASVRASIERKRQRALMLRQARLAARPYSATAAAATGGMANVKAAPKIIDTGGGFILEEEEEEEQKIGKVVHQPGPVMEFDYVICEECGKEFMDSYLMNHFDLPTCDNCRDADDKHKLITKTEAKQEYLLKDCDLEKREPPLKFIVKKNPHHSQWGDMKLYLKLQIVKRSLEVWGSQEALEEAKEVRQENREKMKQKKFDKKVKELRRAVRSSVWKRETIVHQHEYGPEENLEDDMYRKTCTMCGHELTYEKM

Specificity

This product is specific for Human XPA monoclonal antibody (M01), clone 2E4 [Gene ID: 7507].

Clonality

Monoclonal

Host

Mouse

Isotype

IgG2a Kappa

Description

Quality control test: Antibody Reactive Against Recombinant Protein.

Scientific Data Images for XPA Antibody (2E4) - Azide and BSA Free

Western Blot: XPA Antibody (2E4) [H00007507-M01]

Western Blot: XPA Antibody (2E4) [H00007507-M01]

Western Blot: XPA Antibody (2E4) [H00007507-M01] - Analysis of XPA expression in transfected 293T cell line by XPA monoclonal antibody (M01), clone 2E4.Lane 1: XPA transfected lysate (Predicted MW: 31.4 KDa).Lane 2: Non-transfected lysate.
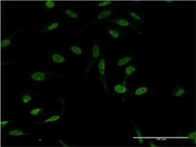
Immunocytochemistry/ Immunofluorescence: XPA Antibody (2E4) [H00007507-M01]

Immunocytochemistry/ Immunofluorescence: XPA Antibody (2E4) [H00007507-M01]

Immunocytochemistry/Immunofluorescence: XPA Antibody (2E4) [H00007507-M01] - Analysis of monoclonal antibody to XPA on HeLa cell . Antibody concentration 10 ug/ml.
Sandwich ELISA: XPA Antibody (2E4) [H00007507-M01] - Detection limit for recombinant GST tagged XPA is 0.3 ng/ml as a capture antibody.

Applications for XPA Antibody (2E4) - Azide and BSA Free

Application
Recommended Usage

ELISA

Optimal dilutions of this antibody should be experimentally determined.

Immunocytochemistry/ Immunofluorescence

Optimal dilutions of this antibody should be experimentally determined.

Sandwich ELISA

Optimal dilutions of this antibody should be experimentally determined.

Western Blot

Optimal dilutions of this antibody should be experimentally determined.

Formulation, Preparation, and Storage

Purification

IgG purified

Formulation

In 1x PBS, pH 7.4

Format

Azide and BSA Free

Preservative

No Preservative

Concentration

Concentrations vary lot to lot. See vial label for concentration. If unlisted please contact technical services.

Shipping

The product is shipped with polar packs. Upon receipt, store it immediately at the temperature recommended below.

Stability & Storage

Aliquot and store at -20C or -80C. Avoid freeze-thaw cycles.

Background: XPA

XPA encodes a zinc finger protein involved in DNA excision repair. The encoded protein is part of the NER (nucleotide excision repair) complext which is responsible for repair of UV radiation-induced photoproducts and DNA adducts induced by chemical carcinogens. Mutations in this gene are associated with xeroderma pigmentosum complementation group A. [provided by RefSeq]

Long Name

Xeroderma Pigmentosum, Complementation Group A

Alternate Names

XP1

Gene Symbol

XPA

Additional XPA Products

Product Documents for XPA Antibody (2E4) - Azide and BSA Free

Certificate of Analysis

To download a Certificate of Analysis, please enter a lot number in the search box below.

Product Specific Notices for XPA Antibody (2E4) - Azide and BSA Free

This product is produced by and distributed for Abnova, a company based in Taiwan.

This product is for research use only and is not approved for use in humans or in clinical diagnosis. Primary Antibodies are guaranteed for 1 year from date of receipt.

Loading...
Loading...
Loading...
Loading...