Skip to main content

Vitamin D BP Antibody - BSA Free

Novus Biologicals, part of Bio-Techne | Catalog # NBP1-88028

Novus Biologicals, part of Bio-Techne
Catalog #
Availability
Size / Price
Qty
Loading...
NBP1-88028
NBP1-88028-25ul

Key Product Details

Validated by

Independent Antibodies

Species Reactivity

Validated:

Human

Cited:

Human

Applications

Validated:

Immunohistochemistry, Immunohistochemistry-Paraffin, Western Blot

Cited:

IF/IHC

Label

Unconjugated

Antibody Source

Polyclonal Rabbit IgG

Format

BSA Free

Concentration

Concentrations vary lot to lot. See vial label for concentration. If unlisted please contact technical services.

Product Specifications

Immunogen

This antibody was developed against Recombinant Protein corresponding to amino acids: CESASEDCMAKELPEHTVKLCDNLSTKNSKFEDCCQEKTAMDVFVCTYFMPAAQLPELPDVELPTNKDVCDPGNTKVMDKYTFELSRRTHLPEVFLSKVLEPTLKSLGECCDVEDSTTCFNAKGPLLKKELSSFIDKGQELCAD

Reactivity Notes

Human reactivity reported in scientific literature (PMID: 24518592).

Clonality

Polyclonal

Host

Rabbit

Isotype

IgG

Description

Novus Biologicals Rabbit Vitamin D BP Antibody - BSA Free (NBP1-88028) is a polyclonal antibody validated for use in IHC and WB. Anti-Vitamin D BP Antibody: Cited in 1 publication. All Novus Biologicals antibodies are covered by our 100% guarantee.

Scientific Data Images for Vitamin D BP Antibody - BSA Free

Immunohistochemistry-Paraffin: Vitamin D BP Antibody [NBP1-88028]

Immunohistochemistry-Paraffin: Vitamin D BP Antibody [NBP1-88028]

Immunohistochemistry-Paraffin: Vitamin D BP Antibody [NBP1-88028] - Staining of human liver shows cytoplasmic positivity in hepatocytes.
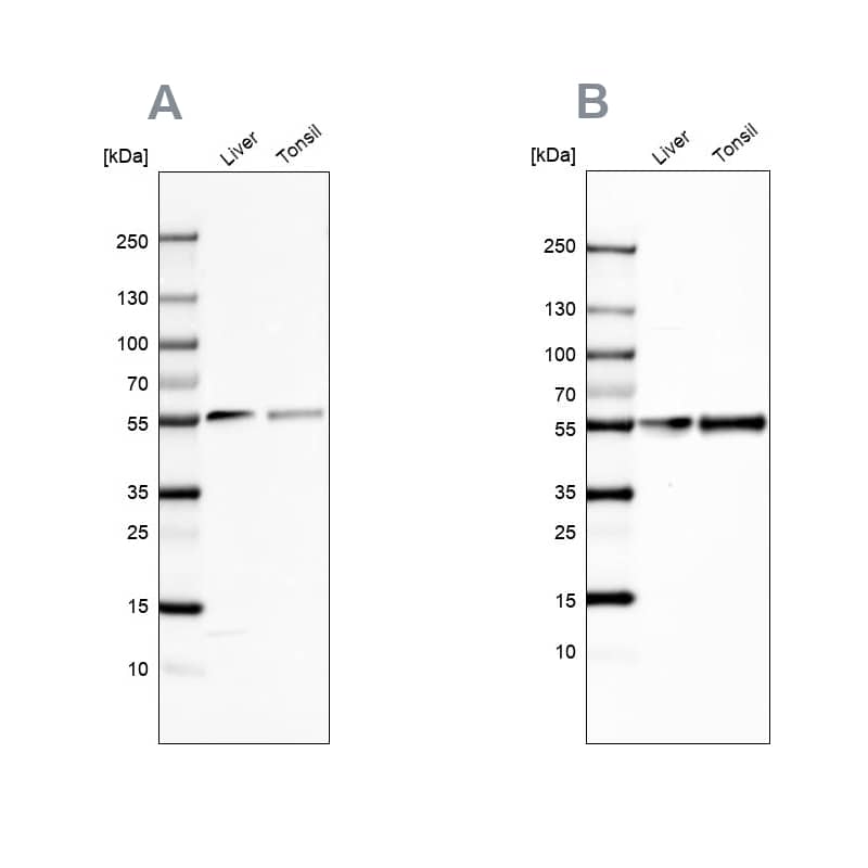
Vitamin D BP Antibody - BSA Free Western Blot: Vitamin D BP Antibody - BSA Free [NBP1-88028]

Western Blot: Vitamin D BP Antibody - BSA Free [NBP1-88028]

Analysis using Anti-GC antibody NBP1-88028 (A) shows similar pattern to independent antibody NBP1-88027 (B).

Applications for Vitamin D BP Antibody - BSA Free

Application
Recommended Usage

Immunohistochemistry

1:1000 - 1:2500

Immunohistochemistry-Paraffin

1:1000 - 1:2500

Western Blot

0.04-0.4 ug/ml
Application Notes
IHC reported in scientific literature (PMID: 24518592). For IHC-Paraffin, HIER pH 6 retrieval is recommended.

Formulation, Preparation, and Storage

Purification

Immunogen affinity purified

Formulation

PBS (pH 7.2) and 40% Glycerol

Format

BSA Free

Preservative

0.02% Sodium Azide

Concentration

Concentrations vary lot to lot. See vial label for concentration. If unlisted please contact technical services.

Shipping

The product is shipped with polar packs. Upon receipt, store it immediately at the temperature recommended below.

Stability & Storage

Store at 4C short term. Aliquot and store at -20C long term. Avoid freeze-thaw cycles.

Background: Vitamin D BP

Vitamin D Binding Protein is a secreted multifunctional protein found in plasma, ascitic fluid, cerebrospinal fluid and urine, and on the surface of many cell types. In plasma, it carries the vitamin D sterols and prevents polymerization of actin by binding its monomers. DBP associates with membrane bound immunoglobulin on the surface of B lymphocytes and with IgG fc receptor on the membranes of T lymphocytes.

Long Name

Vitamin D Binding Protein

Alternate Names

DBP, DBP-MAF, Gc, Gc-MAF, VDBG, VDBP

Gene Symbol

GC

Additional Vitamin D BP Products

Product Documents for Vitamin D BP Antibody - BSA Free

Certificate of Analysis

To download a Certificate of Analysis, please enter a lot number in the search box below.

Product Specific Notices for Vitamin D BP Antibody - BSA Free

This product is for research use only and is not approved for use in humans or in clinical diagnosis. Primary Antibodies are guaranteed for 1 year from date of receipt.

Loading...
Loading...
Loading...
Loading...